- 虫歯
- 根管治療
- 詰め物・被せもの
- インプラント
- ブリッジ
- 抜歯
- 親知らず
40代男性 温存が難しい複数の歯を抜いてインプラントブリッジで修復した症例
ご相談内容
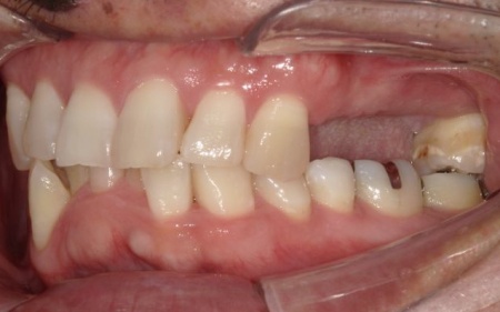
「ブリッジが外れたまま放置していた。また、前歯が欠けているのが気になる」とご相談いただきました。
カウンセリング・診断結果
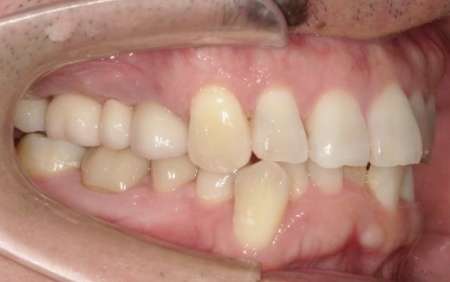
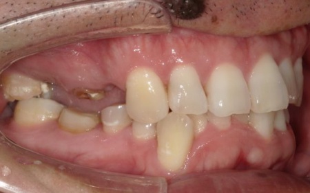
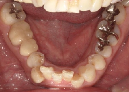
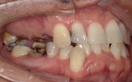
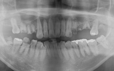
拝見したところ、上左右の奥歯には、歯が失われていたり欠けたりしている部位が複数確認されました。
患者様によると、以前上顎にはブリッジ(両隣の歯を支えとして欠損部を補う装置)が装着されていましたが、10年前に外れたきりそのままの状態で過ごしていたとのことでした。
痛みがなかったため、とくに治療は受けていなかったようですが、以前から前歯の一部が欠けていることが気になっており、見た目や将来のお口の健康に不安を感じていたそうです。
そこで、詳しく検査を行った結果、欠けたり傷んだりしている歯が複数見つかり、さらに歯茎や歯を支える骨にも問題が生じていました。
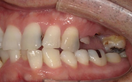
とくに、右上奥歯は前から4番目と6番目の歯、左上奥歯は前から4番目・5番目・6番目・8番目の歯が著しく傷んでおり、温存が難しいと考えられます。
また、右下の一番奥の歯(親知らず)は歯の根だけが残り、細菌感染が広がるリスクが高い状態です。
その一方で、上前歯や右下奥歯は、適切な処置を行うことで温存できる歯も複数確認できました。
以上のことから、口腔内の状態を改善するためにも必要に応じて抜歯を行い、欠損部位を補う治療が必要だと診断しました。
行ったご提案・治療内容
口腔内の状態を改善するため、欠損部位を補う治療として以下の2つを提案しました。
①入れ歯(部分義歯)
欠損部位に、取り外し式の人工歯を装着する治療方法です。
メリット
・外科手術をせずに使用できる
・比較的短期間で治療が進められる
デメリット
・取り外して管理する手間がある
・天然歯よりも、噛む力が弱くなる場合がある
・クラスプ(留め金)を隣の歯にかけるため、健康な歯に負担がかかるリスクがある
②インプラントブリッジ
顎の骨にインプラント(人工歯根)を埋め込み、その上に複数の人工歯を連結した固定式の被せ物を装着する治療方法です。
メリット
・固定式なので、取り外して管理をする必要がない
・天然歯のような感覚で噛むことができる
デメリット
・外科手術が必要になる
・骨の状態によっては、治療期間が長くなる場合がある
・自費診療なので、治療費が高額になりやすい
患者様は「可能な限り自分の歯を残したい」と希望されており、長期的な安定と清掃のしやすさを考慮して、②のインプラントブリッジによる治療を選択されました。
まずは、温存が難しいと判断した以下の歯を抜きます。
右上
・4番目(第1小臼歯)
・6番目(第1大臼歯)
左上
・4番目(第1小臼歯)
・5番目(第2小臼歯)
・6番目(第1大臼歯)
・8番目(第3大臼歯)
右下
・8番目(親知らず)
感染が周囲に広がらないよう配慮しながら、慎重に抜歯を行いました。
抜歯後は骨や歯茎の回復を待ち、口腔内の状態が安定した段階で、インプラント埋入手術へ進みました。
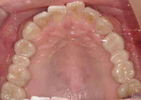
インプラントは、右上4番目と6番目の位置、左上4番目と6番目の位置に埋め込みます。
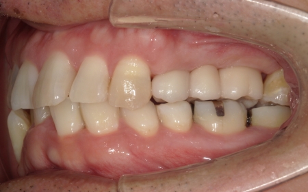
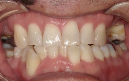
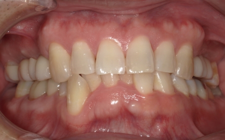
インプラントがしっかりと骨に定着したことを確認したら、精密な型取りを行い、ブリッジを作製して装着しました。
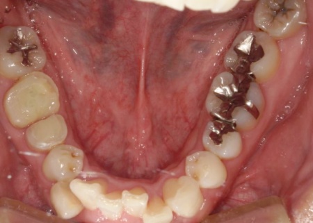
インプラント治療と併せて保存可能な歯の治療も進め、右上の一番奥の歯と右下の奥歯(前から5番目と6番目)に対して、細菌感染した神経を取り除いてから薬を詰める根管治療を行い、CAD/CAM冠という白い被せ物で修復しました。
さらに、上前歯(右上の犬歯から左上の犬歯まで)、右下の4番目の歯に対しては、虫歯治療を行っています。
最後に、痛みや違和感がないか、見た目や噛み合わせに問題がないかを確認し、治療を終了しました。
この治療のリスクについて
・持病をお持ちの方や、服用中のお薬の種類によっては、外科処置ができない場合があります
・治療中に痛みを伴う場合があります
・まれに根管治療後も再治療、外科手術、抜歯などの処置が必要となる場合があります
・一部の治療を除き、自費診療(保険適用外)です
・ブリッジの装着に際し、天然歯を削る必要があります
・噛み合わせや歯ぎしりが強い場合、被せ物が破損する可能性があります
- 年齢・性別 40代男性
-
診療種別
保険診療
自由診療
- 治療期間の目安 約10ヶ月
- 治療回数の目安 -
- 治療費総額の目安 約2,000,000円
※掲載された情報は治療の効果を保証するものではありません。
ご利用により万一何らかの損害が発生したとしても、当サイトは一切責任を負いかねますのでご了承ください。
画像をクリックすると拡大・詳細コメントを確認いただけます
-
すえいし歯科矯正歯科TEL:0471325652
-
すえいし歯科矯正歯科TEL:0471325652
-
すえいし歯科矯正歯科TEL:0471325652
-
すえいし歯科矯正歯科TEL:0471325652
-
すえいし歯科矯正歯科TEL:0471325652
-
すえいし歯科矯正歯科TEL:0471325652
-
すえいし歯科矯正歯科TEL:0471325652
-
すえいし歯科矯正歯科TEL:0471325652
-
すえいし歯科矯正歯科TEL:0471325652
-
すえいし歯科矯正歯科TEL:0471325652
-
すえいし歯科矯正歯科TEL:0471325652
-
すえいし歯科矯正歯科TEL:0471325652
-
すえいし歯科矯正歯科TEL:0471325652
-
すえいし歯科矯正歯科TEL:0471325652
-
すえいし歯科矯正歯科TEL:0471325652
-
すえいし歯科矯正歯科TEL:0471325652
-
すえいし歯科矯正歯科TEL:0471325652 -
すえいし歯科矯正歯科TEL:0471325652
問題を報告する
掲載内容に問題がありますか?
こちらのフォームではココシカ!利用規約に違反している可能性のある情報や、
その他の問題がある内容について直接報告することができます。
この機能は、詐欺、スパム、虚偽、不正確であると思われる情報を報告するためのものです。
報告すべき情報の例
- ・差別的または不快感を与えるもの: 性別、年齢、人種、宗教、身体的特徴などに基づく差別が見られるものはこちらに該当します。過度な出血など過激な表現など不適切な内容が含まれる場合も対象です。
- ・虚偽の情報: 何らかの根拠により虚偽が認められる情報が対象です。
- ・不正確な情報: 治療名やリスク、金額、医院情報などに不正確な内容が含まれるものです。多くの場合、これらの問題はココシカ!の掲載基準違反ではありませんが、情報の更新が求められる場合があります。
- ・広告行為: 本サービスの趣旨に反する投稿です。サービス広告、企業やアプリの宣伝、その他問題があると確認された投稿が該当します。
- ・その他: これらのカテゴリーに当てはまらない問題については、[その他] を選択し詳しい情報をご提供ください。
ココシカ!の情報、技術的な問題、医院ページのレビュー、掲載情報に関する問い合わせ、検索結果などに関する一般的な質問、これらの問題に関するお問い合わせは、サポートチームまでご連絡下さい。
| 診療科目 | 一般歯科、インプラント、矯正歯科、小児歯科、小児矯正、虫歯、歯周病治療、予防歯科、口腔外科、入れ歯、ホワイトニング、訪問診療 |
|---|---|
| 自由診療 | インプラント、矯正歯科、審美補綴、小児歯科、小児矯正、親知らず、口腔外科 |
| 住所 | 〒277-0827 千葉県柏市松葉町2-1-21 |
| アクセス | 北柏駅 徒歩15分 |
| 診療時間 | 9:00~13:00 14:00~18:00 |
| 休診日 | 木曜 祝日 隔週日曜 |
| 代表者 | 末石 哲之 |
※記載の内容は最新の情報と異なる場合がございます。正確な情報は歯科医院にご確認ください。
この歯科医院の他の症例
NEW CONTENT 新着コンテンツ
-
「第22回 一般社団法人 日本外傷歯学会・総会・学術大会」開幕、リハビリにフォーカスして歯の損失リスク軽減を目指す
2022.8.8 一般歯科
-
クラウド型歯科用レセコン「POWER5G」が口腔内シミュレーションサービス「DMFTシミュレーター」と提携
2022.6.28 予防歯科
-
豪発のブランド「ビーボックス」から歯固め発売、乳幼児でも持ちやすい設計に
2022.6.24 小児歯科
-
韓国発ライフスタイルケアブランド「ソルトレイン」日本初上陸、伊勢丹新宿でポップアップも
2022.6.22 その他
-
デントウェーブ運営の歯科衛生士向けコミュニティ「歯科衛生士のcoe」無料オンラインイベント開催
2022.3.2 その他
-
竹素材のオーガニック歯ブラシ、日本発サステナブランド「ミヨオーガニック」展開
2022.2.17 予防歯科
