- 歯石除去
- 歯周病
30代女性 重度の歯周病に対して歯周内科治療を行った症例
ご相談内容
「左下のブリッジが外れてしまった」とご相談いただきました。
カウンセリング・診断結果
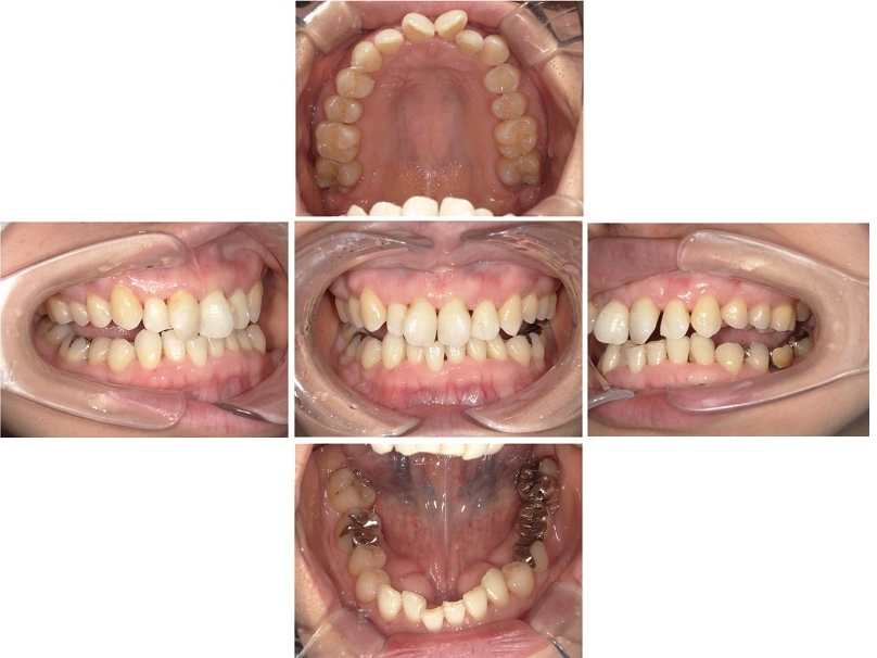
拝見したところ、左下の奥歯が1本欠損しており、その部分は前後の歯を支えにしたブリッジで治療されていました。
しかし、ブリッジが外れてしまったことで左側ではしっかりと噛めない状態です。
さらに詳しくお口の状態を把握するため、歯ぐきの検査を行いました。
患者様ご自身には痛みや違和感などの自覚症状はありませんでしたが、全体的に歯ぐきの赤みや腫れが強くみられます。
歯と歯ぐきの境目にある溝の深さである歯周ポケットを測定したところ、健康な状態では2〜3ミリ程度であるのに対し、今回は4〜8ミリです。
加えてレントゲン検査では、上前歯を中心に歯を支える骨が減少していることも確認できました。
これらの検査結果から、お口全体に中等度から重度の歯周病があると考えられました。
歯周病は歯を支えている歯ぐきや骨に炎症が起こる病気です。
特に、外れてしまったブリッジの土台となっている手前の歯は、歯周病の影響で揺れていました。
さらに奥の歯には8ミリほどの深い歯周ポケットも認められました。
このような状態でブリッジだけを作り直してしまうと、土台となる歯に大きな負担がかかり、結果として長持ちしない可能性があります。
そのため、まずは歯周病の治療を優先する必要があると診断しました。
行ったご提案・治療内容
診断結果を丁寧に説明したうえで、まずは歯周病の治療を行い、その後に左下のブリッジ治療を進める方針を提案し、同意いただきました。
歯周病の治療方法には、以下2つの選択肢があります。
保険診療内で行う歯周病基本治療
メリット:保険診療の範囲内で、歯周病の原因となるプラークや歯石をしっかり取り除くことが可能
デメリット:治療の進め方や、使用できる材料・器具が保険診療のルールに制限される
自由診療による歯周内科治療
メリット:歯周病の原因となる細菌に応じた抗生物質を使用し、内科的なアプローチで細菌そのものに働きかける。症状に合わせて治療の順序や内容を柔軟に組み立てることが可能
デメリット:自由診療のため費用がかかる
それぞれのメリット・デメリットを説明したところ、患者様は自由診療による歯周内科治療を選択されました。
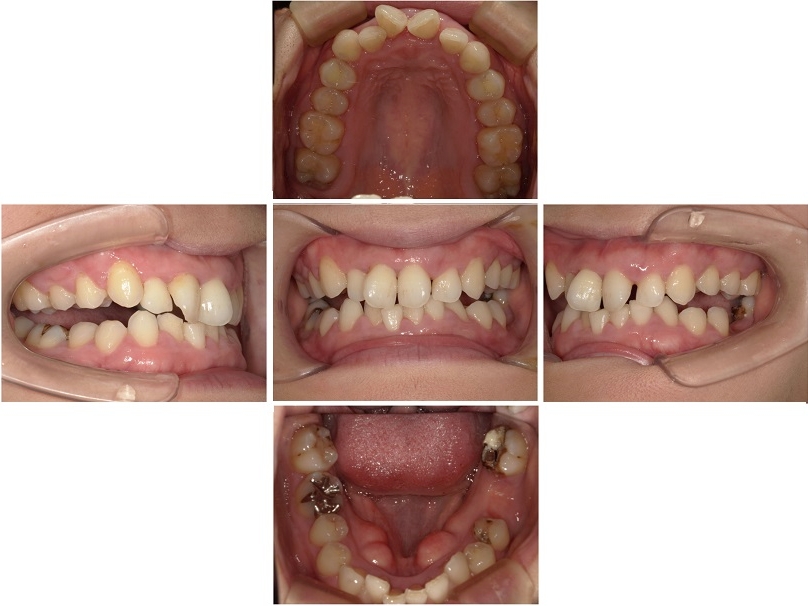
まず歯周内科治療として、歯周病の原因となる菌を抑えるための抗生物質を3日間服用していただきます。
併せて抗真菌剤(カビの一種に作用する薬剤)を含んだ歯みがき剤を使用し、ご自宅でのセルフケアを約1ヶ月間継続していただきました。
上記の治療と並行して2回ご来院いただき、局所麻酔を行ったうえで歯ぐきの中に付着している歯石を丁寧に除去しました。
歯石は歯ブラシでは落とすことができない硬い汚れで、歯周病を進行させる大きな原因のひとつです。
内科的な治療だけで十分な改善がみられない場合には、歯ぐきを切開して感染した組織を取り除く外科的な処置を検討することもあります。
しかし今回は、歯周内科治療によって十分な改善が確認できたため、外科処置は行わず左下のブリッジ治療へと進むことができました。
歯周内科治療から左下ブリッジの治療まで、全体の治療期間は約6ヶ月で終了しています。
この治療のリスクについて
・病状、症状、患者様のお口の環境によって、複数回にわたる施術が必要となる場合があります
・治療が終わった後も、十分なセルフケアが必要です
・正しいブラッシングやメンテナンスを行わない場合、歯石の付着や虫歯が生じる可能性があります
- 年齢・性別 30代女性
- 診療種別 自由診療
- 治療期間の目安 -
-
治療回数の目安
2回
※保険診療回数・ブリッジ治療は含まれない -
治療費総額の目安
55,000円(歯周内科治療)
※保険治療費・ブリッジ治療費は含まれない
※掲載された情報は治療の効果を保証するものではありません。
ご利用により万一何らかの損害が発生したとしても、当サイトは一切責任を負いかねますのでご了承ください。
画像をクリックすると拡大・詳細コメントを確認いただけます
-
すえいし歯科矯正歯科TEL:0471325652
-
すえいし歯科矯正歯科TEL:0471325652 -
すえいし歯科矯正歯科TEL:0471325652
-
すえいし歯科矯正歯科TEL:0471325652
-
すえいし歯科矯正歯科TEL:0471325652 -
すえいし歯科矯正歯科TEL:0471325652
-
すえいし歯科矯正歯科TEL:0471325652
-
すえいし歯科矯正歯科TEL:0471325652 -
すえいし歯科矯正歯科TEL:0471325652
問題を報告する
掲載内容に問題がありますか?
こちらのフォームではココシカ!利用規約に違反している可能性のある情報や、
その他の問題がある内容について直接報告することができます。
この機能は、詐欺、スパム、虚偽、不正確であると思われる情報を報告するためのものです。
報告すべき情報の例
- ・差別的または不快感を与えるもの: 性別、年齢、人種、宗教、身体的特徴などに基づく差別が見られるものはこちらに該当します。過度な出血など過激な表現など不適切な内容が含まれる場合も対象です。
- ・虚偽の情報: 何らかの根拠により虚偽が認められる情報が対象です。
- ・不正確な情報: 治療名やリスク、金額、医院情報などに不正確な内容が含まれるものです。多くの場合、これらの問題はココシカ!の掲載基準違反ではありませんが、情報の更新が求められる場合があります。
- ・広告行為: 本サービスの趣旨に反する投稿です。サービス広告、企業やアプリの宣伝、その他問題があると確認された投稿が該当します。
- ・その他: これらのカテゴリーに当てはまらない問題については、[その他] を選択し詳しい情報をご提供ください。
ココシカ!の情報、技術的な問題、医院ページのレビュー、掲載情報に関する問い合わせ、検索結果などに関する一般的な質問、これらの問題に関するお問い合わせは、サポートチームまでご連絡下さい。
| 診療科目 | 一般歯科、インプラント、矯正歯科、小児歯科、小児矯正、虫歯、歯周病治療、予防歯科、口腔外科、入れ歯、ホワイトニング、訪問診療 |
|---|---|
| 自由診療 | インプラント、矯正歯科、審美補綴、小児歯科、小児矯正、親知らず、口腔外科 |
| 住所 | 〒277-0827 千葉県柏市松葉町2-1-21 |
| アクセス | 北柏駅 徒歩15分 |
| 診療時間 | 9:00~13:00 14:00~18:00 |
| 休診日 | 木曜 祝日 隔週日曜 |
| 代表者 | 末石 哲之 |
※記載の内容は最新の情報と異なる場合がございます。正確な情報は歯科医院にご確認ください。
この歯科医院の他の症例
NEW CONTENT 新着コンテンツ
-
「第22回 一般社団法人 日本外傷歯学会・総会・学術大会」開幕、リハビリにフォーカスして歯の損失リスク軽減を目指す
2022.8.8 一般歯科
-
クラウド型歯科用レセコン「POWER5G」が口腔内シミュレーションサービス「DMFTシミュレーター」と提携
2022.6.28 予防歯科
-
豪発のブランド「ビーボックス」から歯固め発売、乳幼児でも持ちやすい設計に
2022.6.24 小児歯科
-
韓国発ライフスタイルケアブランド「ソルトレイン」日本初上陸、伊勢丹新宿でポップアップも
2022.6.22 その他
-
デントウェーブ運営の歯科衛生士向けコミュニティ「歯科衛生士のcoe」無料オンラインイベント開催
2022.3.2 その他
-
竹素材のオーガニック歯ブラシ、日本発サステナブランド「ミヨオーガニック」展開
2022.2.17 予防歯科
