- 根管治療
- インプラント
- インプラントオーバーデンチャー
- 抜歯
- 総入れ歯
- 部分入れ歯
70代男性 温存が難しい歯を抜きインプラントオーバーデンチャーで全体的な噛み合わせを改善した症例
ご相談内容
「ブリッジが壊れてしまってちゃんと噛めなくなった。これを機に、口腔内全体を治療したい」とご相談いただきました。
カウンセリング・診断結果
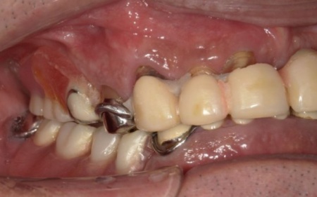
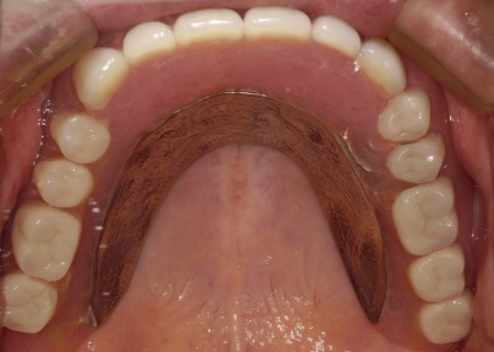
拝見したところ、すでに複数の歯が欠損しており、上下顎には入れ歯が装着されていました。
上前歯は、装着していたブリッジ(複数の人工歯を連結した被せ物)が外れてしまっているため、食事や会話に大きな支障をきたしています。
残っている歯についても、長期間の負担により状態が悪く温存が困難な歯や、細菌感染した神経を取り除いてから薬を詰める根管治療が必要な歯がありました。
このような状態では、ブリッジの壊れた部分だけを直す応急的な治療では根本的な解決にはならず、むしろ残っている歯にさらに大きな負担をかけてしまうおそれがあります。
また、従来の入れ歯は残っている歯にバネをかけて支えるため、その歯に過度な力がかかり続け、将来的にはその歯も失ってしまうリスクが高い状況です。
以上のことから、残っている歯を保護しながら、全体的にバランスよく噛める状態を長期間維持するために、口腔内全体の治療が必要であると診断しました。
行ったご提案・治療内容
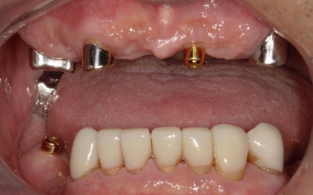
噛む機能の回復と自然な見た目の両方を実現するため、インプラントオーバーデンチャーによる治療を提案しました。
インプラントオーバーデンチャーとは、顎の骨に埋め込んだインプラント(人工歯根)を支えとして、取り外し可能な義歯を装着する治療法です。
従来の義歯と比べてしっかりと固定できるためずれにくく、噛む力の向上が期待できる一方で、外科処置が必要である点、治療期間がやや長期になる点がデメリットといえます。
患者様にメリットとデメリットを丁寧にお伝えしたところ、インプラントオーバーデンチャーでの治療に同意いただきました。
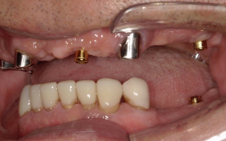
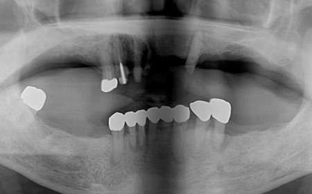
まずは、歯根を支える骨が溶けてなくなる歯周病が進行しており、長期的な維持が難しいと判断した左下奥歯(第2小臼歯)を丁寧に抜きます。
次に、上下左右の奥歯部に1本ずつ、左上前歯に1本、計5本のインプラントを埋入する手術を行いました。
インプラントは、長年多くの症例で使用実績があり、噛む力に耐える強さと骨へのなじみやすさが評価されているオステム社の製品を使用しています。
手術は、周囲組織への影響を最小限に抑えるよう慎重に進めました。
続いて、残存している上の歯に対しては根管治療を行いました。
根管内の感染源を慎重に除去したうえで、再感染を防いで歯を長く使用するために、薬剤でしっかりと密閉しています。
ただ、右上前歯(犬歯)は状態が十分に改善せず、温存が困難であると判断したため、抜歯を行いました。
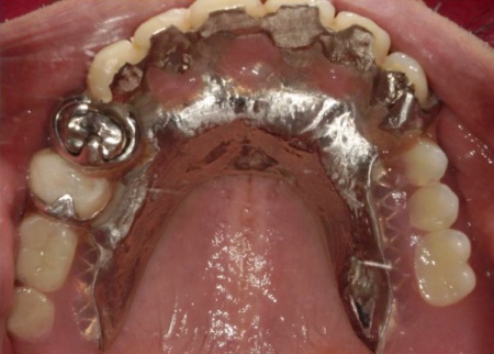
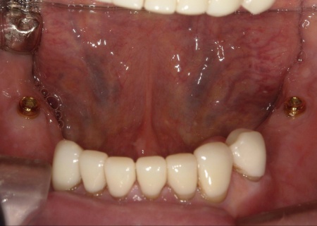
根管治療が終了した上の歯には、オーバーデンチャーの支えとなる内冠(入れ歯を安定させるための土台)を、インプラント部分にはロケーター(義歯をしっかり固定するための連結装置)を装着しました。
この仕組みにより、必要に応じて入れ歯の取り外しを可能にしながら、日常生活では安定した状態を保つことができます。
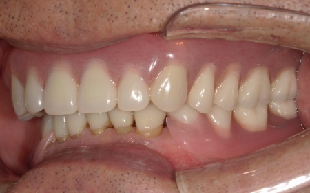
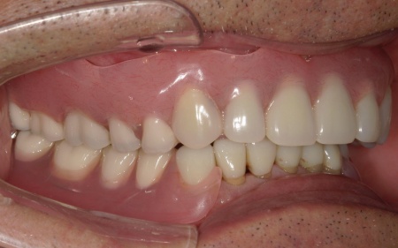
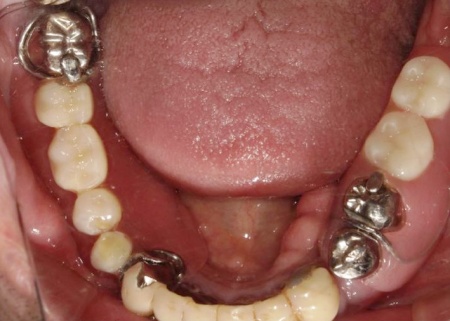
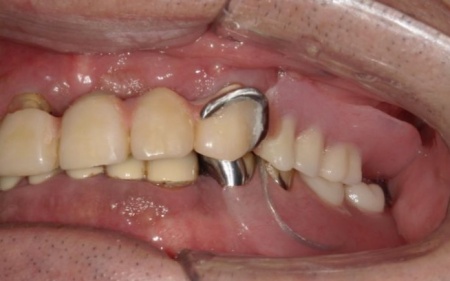
次に上下顎に装着するため、チタン床を使用した金属床義歯を作製しました。
チタンは軽量でありながら強度が高く、体になじみやすい特徴をもつ素材です。また、金属床にすることで従来の樹脂製義歯と比べて薄く作ることが可能になり、装着による違和感の軽減も見込めます。
また、上顎は残存歯が少ないためすべてを覆う総入れ歯で、下顎は前歯がしっかり残っているため部分入れ歯の形で作製しました。
完成した入れ歯を装着していただき、噛み合わせや義歯の安定性、見た目の仕上がりに問題がないことを確認して、治療を終了しています。
この治療のリスクについて
・根管治療中や治療後に不快症状が出たり、治療後に痛みや腫れなどが生じたりする可能性があります
・外科処置後に腫れ、出血が生じる場合があります
・外科処置後に痛みが長引く場合があります。必要に応じ痛み止めを併用します
・糖尿病、肝硬変、心臓病などの持病をお持ちの場合、インプラント治療ができない可能性があります
・高血圧、貧血・不整脈などの持病をお持ちの場合、インプラント治療後に治癒不全を招く可能性があります
・慣れるまでは、入れ歯の裏側の粘膜に傷ができる場合があります
- 年齢・性別 70代男性
-
診療種別
自由診療
一部保険診療
- 治療期間の目安 約8ヶ月
- 治療回数の目安 -
- 治療費総額の目安 2,299,000円
※掲載された情報は治療の効果を保証するものではありません。
ご利用により万一何らかの損害が発生したとしても、当サイトは一切責任を負いかねますのでご了承ください。
画像をクリックすると拡大・詳細コメントを確認いただけます
-
すえいし歯科矯正歯科TEL:0471325652
-
すえいし歯科矯正歯科TEL:0471325652
-
すえいし歯科矯正歯科TEL:0471325652
-
すえいし歯科矯正歯科TEL:0471325652
-
すえいし歯科矯正歯科TEL:0471325652
-
すえいし歯科矯正歯科TEL:0471325652
-
すえいし歯科矯正歯科TEL:0471325652
-
すえいし歯科矯正歯科TEL:0471325652
-
すえいし歯科矯正歯科TEL:0471325652
-
すえいし歯科矯正歯科TEL:0471325652
-
すえいし歯科矯正歯科TEL:0471325652
-
すえいし歯科矯正歯科TEL:0471325652
-
すえいし歯科矯正歯科TEL:0471325652
-
すえいし歯科矯正歯科TEL:0471325652
-
すえいし歯科矯正歯科TEL:0471325652
-
すえいし歯科矯正歯科TEL:0471325652
-
すえいし歯科矯正歯科TEL:0471325652
-
すえいし歯科矯正歯科TEL:0471325652
問題を報告する
掲載内容に問題がありますか?
こちらのフォームではココシカ!利用規約に違反している可能性のある情報や、
その他の問題がある内容について直接報告することができます。
この機能は、詐欺、スパム、虚偽、不正確であると思われる情報を報告するためのものです。
報告すべき情報の例
- ・差別的または不快感を与えるもの: 性別、年齢、人種、宗教、身体的特徴などに基づく差別が見られるものはこちらに該当します。過度な出血など過激な表現など不適切な内容が含まれる場合も対象です。
- ・虚偽の情報: 何らかの根拠により虚偽が認められる情報が対象です。
- ・不正確な情報: 治療名やリスク、金額、医院情報などに不正確な内容が含まれるものです。多くの場合、これらの問題はココシカ!の掲載基準違反ではありませんが、情報の更新が求められる場合があります。
- ・広告行為: 本サービスの趣旨に反する投稿です。サービス広告、企業やアプリの宣伝、その他問題があると確認された投稿が該当します。
- ・その他: これらのカテゴリーに当てはまらない問題については、[その他] を選択し詳しい情報をご提供ください。
ココシカ!の情報、技術的な問題、医院ページのレビュー、掲載情報に関する問い合わせ、検索結果などに関する一般的な質問、これらの問題に関するお問い合わせは、サポートチームまでご連絡下さい。
| 診療科目 | 一般歯科、インプラント、矯正歯科、小児歯科、小児矯正、虫歯、歯周病治療、予防歯科、口腔外科、入れ歯、ホワイトニング、訪問診療 |
|---|---|
| 自由診療 | インプラント、矯正歯科、審美補綴、小児歯科、小児矯正、親知らず、口腔外科 |
| 住所 | 〒277-0827 千葉県柏市松葉町2-1-21 |
| アクセス | 北柏駅 徒歩15分 |
| 診療時間 | 9:00~13:00 14:00~18:00 |
| 休診日 | 木曜 祝日 隔週日曜 |
| 代表者 | 末石 哲之 |
※記載の内容は最新の情報と異なる場合がございます。正確な情報は歯科医院にご確認ください。
この歯科医院の他の症例
NEW CONTENT 新着コンテンツ
-
「第22回 一般社団法人 日本外傷歯学会・総会・学術大会」開幕、リハビリにフォーカスして歯の損失リスク軽減を目指す
2022.8.8 一般歯科
-
クラウド型歯科用レセコン「POWER5G」が口腔内シミュレーションサービス「DMFTシミュレーター」と提携
2022.6.28 予防歯科
-
豪発のブランド「ビーボックス」から歯固め発売、乳幼児でも持ちやすい設計に
2022.6.24 小児歯科
-
韓国発ライフスタイルケアブランド「ソルトレイン」日本初上陸、伊勢丹新宿でポップアップも
2022.6.22 その他
-
デントウェーブ運営の歯科衛生士向けコミュニティ「歯科衛生士のcoe」無料オンラインイベント開催
2022.3.2 その他
-
竹素材のオーガニック歯ブラシ、日本発サステナブランド「ミヨオーガニック」展開
2022.2.17 予防歯科
