- 虫歯
- コンポジットレジン
- 骨再生
- 根管治療
- 詰め物・被せもの
- セラミック・ジルコニア
- インプラント
- 歯科口腔外科
- 抜歯
40代男性 長年放置していた虫歯や根尖性歯周炎などの口腔トラブルを全体的に治療した症例
ご相談内容
「虫歯を長年放置してしまったので治療をしたい。また、見た目や噛み合わせの改善などを含めた、全体的な治療も行いたい」とご相談いただきました。
患者様は、10年ぶりに歯科医院を受診したとのことです。
カウンセリング・診断結果
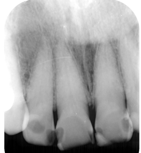
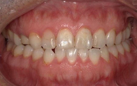
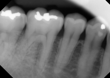
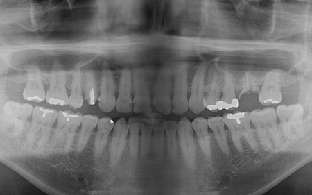
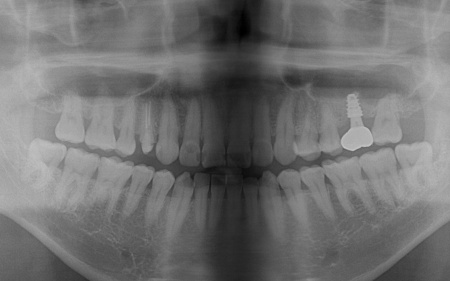
レントゲン撮影をして詳しく検査したところ、複数の小さな虫歯が見られました。
また右上奥歯には、歯根の先に炎症が起きて膿が溜まる根尖性(こんせんせい)歯周炎が認められます。
さらに、左上奥歯(第1大臼歯)は温存が難しい状態でした。
このまま放置した場合は以下のリスクがあります。
虫歯
・虫歯が進行して象牙質や神経にまで達し、痛みや感染を引き起こす
・悪化した場合、抜歯が必要になるケースがある
根尖性歯周炎
・歯を支える骨が溶ける
・隣の歯に悪影響が出る
・口腔内だけでなく、全身に感染が広がる
保存が難しい左上奥歯
・噛む力が低下する
・歯が安定せずぐらぐらすることにより隣の歯が動き、噛み合わせが乱れる
以上のことから、口腔内を全体的に治療する必要があると診断しました。
行ったご提案・治療内容
口腔内の健康状態を改善しつつ、歯磨きなどのケアをしやすくするために、以下の治療方法を提案して同意いただきました。
①小さな虫歯を発症している部位には、虫歯の除去後に保険診療のプラスチック材料「コンポジットレジン(CR)」を充填する治療を行います。
メリット:歯を削る量が少なくてすむ。CRは白い素材のため、自然な見た目に仕上がる。保険適用で費用負担が少ない
デメリット:金属素材に比べると強度がやや劣り、経年劣化による摩耗や変色のリスクがある
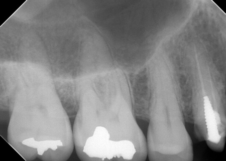
②根尖性歯周炎を発症している右上奥歯には、歯根内の細菌を除去して薬を詰める「根管治療」を実施し、歯の温存を図ります。患者様は、以前同じ歯に根管治療を行った経験があったため「再根管治療」となります。
メリット:抜歯せずにすむ可能性が高まる
デメリット:治療が複数回に及ぶことがある。治療の成功率は、歯の状態に左右される
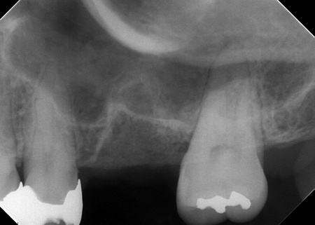
③温存が難しい左上奥歯(第1大臼歯)は抜き、骨を再生させる処置「GBR(骨造成)」を行ったのち、人工歯根を埋め込む「インプラント治療」により噛む機能を回復させます。
メリット:噛む力や見た目を、自分の歯に近い形で回復することができる。長期的な安定性が期待できる
デメリット:外科的処置が必要になるため、治療期間が長い。自費診療なので費用が高額になる
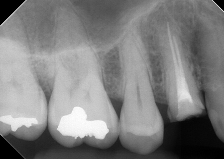
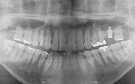
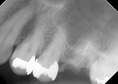
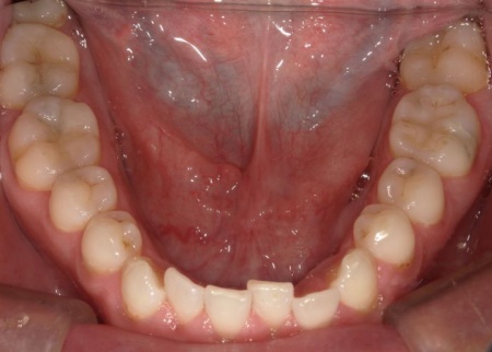
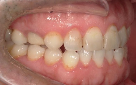
④上下左右の奥歯には、銀合金の古い詰め物「アマルガム」が装着されていました。今回は保険診療の範囲内で、CRと金属の詰め物「インレー」による修復を行い、全体的な噛み合わせと審美性を改善します。
メリット:銀色の詰め物より自然な見た目になる。保険診療なので費用が抑えられる
デメリット:CRは金属素材に比べると耐久性がやや劣るため、強い力がかかる部位では破損するリスクがある
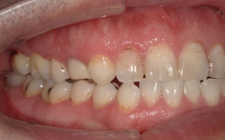
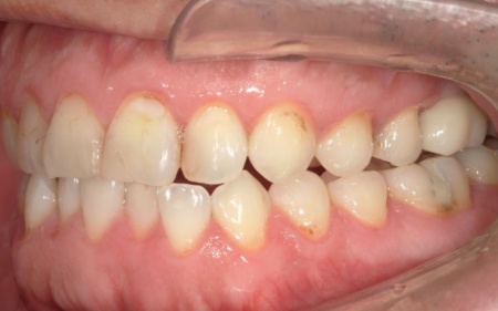
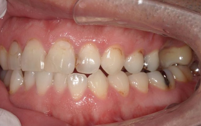
まず、虫歯部分を丁寧に取り除いてから歯の形を整え、CRを詰めてしっかりと研磨します。
次に、右上奥歯の古い材料(以前の根管治療に使用したもの)を除去し、歯根内部の洗浄と消毒をしてから新しい材料で密封し、被せ物を作製して装着しました。
左上奥歯1本は抜き、GBRで骨を再生させたのち、インプラントを埋入します。
インプラントに装着する人工歯の素材には、自費診療の白いセラミックを選択しました。
最後に、古いアマルガムを除去した部分は保険診療の範囲で治療を行い、見た目や噛み合わせなどに問題がないことを確認して、治療を終了しています。
この治療のリスクについて
・外科手術のため、術後に痛みや腫れ、違和感を伴います
・メンテナンスを怠ったり、喫煙したりすると、お口の中に大きな悪影響を及ぼし、インプラント周囲炎などにかかる可能性があります
・糖尿病、肝硬変、心臓病などの持病をお持ちの場合、インプラント治療ができない可能性があります
・高血圧、貧血・不整脈などの持病をお持ちの場合、インプラント治療後に治癒不全を招く可能性があります
・自費診療(保険適用外治療)です
・装着に際し、天然歯を削る場合があります
- 年齢・性別 40代男性
-
診療種別
自由診療
一部保険診療
- 治療期間の目安 1年7ヶ月
- 治療回数の目安 -
- 治療費総額の目安 約480,000円
※掲載された情報は治療の効果を保証するものではありません。
ご利用により万一何らかの損害が発生したとしても、当サイトは一切責任を負いかねますのでご了承ください。
画像をクリックすると拡大・詳細コメントを確認いただけます
-
すえいし歯科矯正歯科TEL:0471325652
-
すえいし歯科矯正歯科TEL:0471325652
-
すえいし歯科矯正歯科TEL:0471325652
-
すえいし歯科矯正歯科TEL:0471325652
-
すえいし歯科矯正歯科TEL:0471325652
-
すえいし歯科矯正歯科TEL:0471325652
-
すえいし歯科矯正歯科TEL:0471325652
-
すえいし歯科矯正歯科TEL:0471325652
-
すえいし歯科矯正歯科TEL:0471325652
-
すえいし歯科矯正歯科TEL:0471325652
-
すえいし歯科矯正歯科TEL:0471325652
-
すえいし歯科矯正歯科TEL:0471325652
-
すえいし歯科矯正歯科TEL:0471325652
-
すえいし歯科矯正歯科TEL:0471325652
-
すえいし歯科矯正歯科TEL:0471325652
-
すえいし歯科矯正歯科TEL:0471325652 -
すえいし歯科矯正歯科TEL:0471325652
-
すえいし歯科矯正歯科TEL:0471325652 -
すえいし歯科矯正歯科TEL:0471325652 -
すえいし歯科矯正歯科TEL:0471325652
-
すえいし歯科矯正歯科TEL:0471325652
画像をクリックすると拡大・詳細コメントを確認いただけます
問題を報告する
掲載内容に問題がありますか?
こちらのフォームではココシカ!利用規約に違反している可能性のある情報や、
その他の問題がある内容について直接報告することができます。
この機能は、詐欺、スパム、虚偽、不正確であると思われる情報を報告するためのものです。
報告すべき情報の例
- ・差別的または不快感を与えるもの: 性別、年齢、人種、宗教、身体的特徴などに基づく差別が見られるものはこちらに該当します。過度な出血など過激な表現など不適切な内容が含まれる場合も対象です。
- ・虚偽の情報: 何らかの根拠により虚偽が認められる情報が対象です。
- ・不正確な情報: 治療名やリスク、金額、医院情報などに不正確な内容が含まれるものです。多くの場合、これらの問題はココシカ!の掲載基準違反ではありませんが、情報の更新が求められる場合があります。
- ・広告行為: 本サービスの趣旨に反する投稿です。サービス広告、企業やアプリの宣伝、その他問題があると確認された投稿が該当します。
- ・その他: これらのカテゴリーに当てはまらない問題については、[その他] を選択し詳しい情報をご提供ください。
ココシカ!の情報、技術的な問題、医院ページのレビュー、掲載情報に関する問い合わせ、検索結果などに関する一般的な質問、これらの問題に関するお問い合わせは、サポートチームまでご連絡下さい。
| 診療科目 | 一般歯科、インプラント、矯正歯科、小児歯科、小児矯正、虫歯、歯周病治療、予防歯科、口腔外科、入れ歯、ホワイトニング、訪問診療 |
|---|---|
| 自由診療 | インプラント、矯正歯科、審美補綴、小児歯科、小児矯正、親知らず、口腔外科 |
| 住所 | 〒277-0827 千葉県柏市松葉町2-1-21 |
| アクセス | 北柏駅 徒歩15分 |
| 診療時間 | 9:00~13:00 14:00~18:00 |
| 休診日 | 木曜 祝日 隔週日曜 |
| 代表者 | 末石 哲之 |
※記載の内容は最新の情報と異なる場合がございます。正確な情報は歯科医院にご確認ください。
この歯科医院の他の症例
NEW CONTENT 新着コンテンツ
-
「第22回 一般社団法人 日本外傷歯学会・総会・学術大会」開幕、リハビリにフォーカスして歯の損失リスク軽減を目指す
2022.8.8 一般歯科
-
クラウド型歯科用レセコン「POWER5G」が口腔内シミュレーションサービス「DMFTシミュレーター」と提携
2022.6.28 予防歯科
-
豪発のブランド「ビーボックス」から歯固め発売、乳幼児でも持ちやすい設計に
2022.6.24 小児歯科
-
韓国発ライフスタイルケアブランド「ソルトレイン」日本初上陸、伊勢丹新宿でポップアップも
2022.6.22 その他
-
デントウェーブ運営の歯科衛生士向けコミュニティ「歯科衛生士のcoe」無料オンラインイベント開催
2022.3.2 その他
-
竹素材のオーガニック歯ブラシ、日本発サステナブランド「ミヨオーガニック」展開
2022.2.17 予防歯科
