- インプラント
- 入れ歯・義歯
- 抜歯
60代男性 破損した上下の入れ歯を作り直して噛み合わせを改善した症例
ご相談内容
「他院で作製した入れ歯を使っていたが、折れて使えなくなってしまった。日常生活に支障があるので診てほしい」とご相談いただきました。
カウンセリング・診断結果
拝見したところ、上下の顎には入れ歯が装着されていましたが、破損して使えなくなっていました。
現在は、食事や会話などの日常生活に大きな支障が出ている状態です。
破損した入れ歯をチェックした結果、修理は困難であったため、入れ歯を新しく作り直す必要があると診断しました。
行ったご提案・治療内容
当初は、上顎に残存歯(残根)を残したまま装着する「残根上義歯(オーバーデンチャー)」にて治療することを提案し、治療を進めていました。
しかし、患者様は「より安定して、もっとしっかり噛めるような入れ歯がいい」と希望されました。
そのため、顎の骨に埋め込んだ人工歯根を支えとして、取り外し可能な義歯を装着する「インプラント義歯」へ変更することを再提案し、同意いただいています。
インプラント義歯のメリット
・従来の義歯と比べて、しっかりと固定できる
・噛む力の向上が期待できる
インプラント義歯のデメリット
・外科処置が必要なので、治療期間が長くなる
また、治療時に上顎の残存歯が温存できるかどうか判断し、必要に応じて抜歯を行うこともお伝えしています。
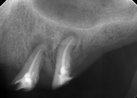
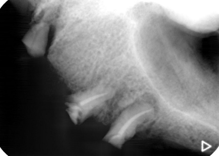
まず、上顎の状態や残存歯について詳しく検査し、温存が難しいと判断した左上の歯3本(犬歯、第1小臼歯、第2小臼歯)を抜きました。
抜歯後は、即時インプラント埋入手術を実施しています。
インプラント埋入後は経過観察を行い、歯茎と顎の骨が治癒するのを待ちます。
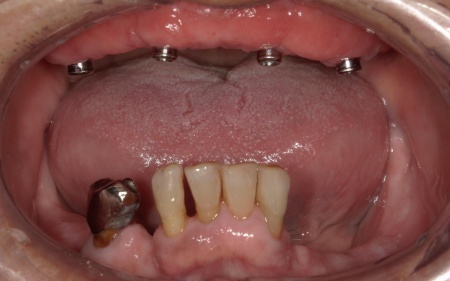
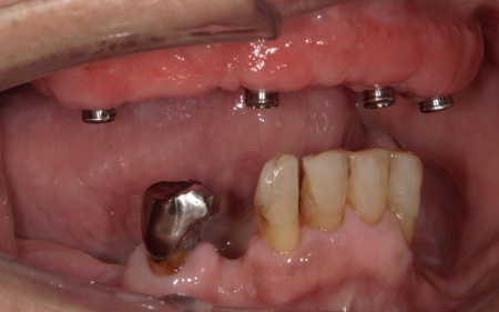
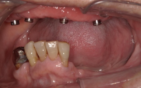
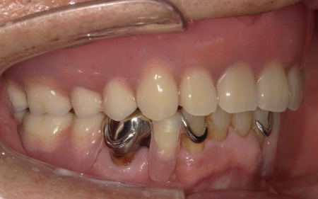
傷が治り、インプラントが顎の骨にしっかりと結合したことを確認したら、インプラントの頭部分に入れ歯と連結するための部分となる「アタッチメント」を装着しました。
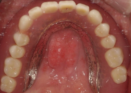
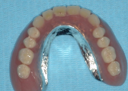
次に、上顎には「インプラント支持型義歯(インプラントオーバーデンチャー)」を金属床義歯で作製します。
金属床にすることで、従来の樹脂製義歯と比べて薄く作ることが可能になり、装着による違和感の軽減が見込めます。
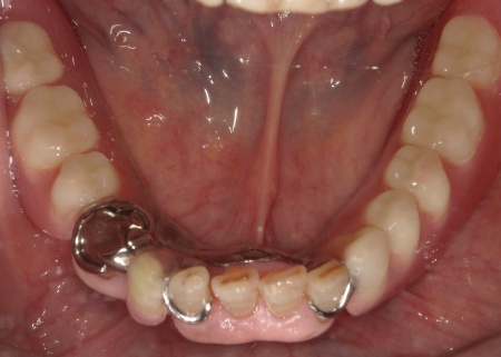
また、下顎は保険診療の部分入れ歯を再作製し、上下の噛み合わせの回復を図りました。
最後に、完成した入れ歯を装着し、噛み合わせや使用感に問題がないことを確認して、治療を終了しています。
この治療のリスクについて
・持病をお持ちの方や、服用中のお薬の種類によっては、外科処置ができない場合があります
・メンテナンスを怠ったり、喫煙したりすると、お口の中に大きな悪影響を及ぼし、インプラント周囲炎などにかかる可能性があります
・糖尿病、肝硬変、心臓病などの持病をお持ちの場合、インプラント治療ができない可能性があります
・自費診療(保険適用外治療)です
・着脱式のため、食後の清掃が必要です
・最初のうちは異物感があり、慣れるまで時間がかかる場合があります
- 年齢・性別 60代男性
- 診療種別 自由診療
- 治療期間の目安 約8ヶ月
- 治療回数の目安 -
- 治療費総額の目安 約1,300,000円
※掲載された情報は治療の効果を保証するものではありません。
ご利用により万一何らかの損害が発生したとしても、当サイトは一切責任を負いかねますのでご了承ください。
画像をクリックすると拡大・詳細コメントを確認いただけます
-
すえいし歯科矯正歯科TEL:0471325652
-
すえいし歯科矯正歯科TEL:0471325652
-
すえいし歯科矯正歯科TEL:0471325652
-
すえいし歯科矯正歯科TEL:0471325652
-
すえいし歯科矯正歯科TEL:0471325652
-
すえいし歯科矯正歯科TEL:0471325652
-
すえいし歯科矯正歯科TEL:0471325652
-
すえいし歯科矯正歯科TEL:0471325652
-
すえいし歯科矯正歯科TEL:0471325652
-
すえいし歯科矯正歯科TEL:0471325652
-
すえいし歯科矯正歯科TEL:0471325652
-
すえいし歯科矯正歯科TEL:0471325652
-
すえいし歯科矯正歯科TEL:0471325652 -
すえいし歯科矯正歯科TEL:0471325652
-
すえいし歯科矯正歯科TEL:0471325652
-
すえいし歯科矯正歯科TEL:0471325652 -
すえいし歯科矯正歯科TEL:0471325652
-
すえいし歯科矯正歯科TEL:0471325652
-
すえいし歯科矯正歯科TEL:0471325652 -
すえいし歯科矯正歯科TEL:0471325652 -
すえいし歯科矯正歯科TEL:0471325652
問題を報告する
掲載内容に問題がありますか?
こちらのフォームではココシカ!利用規約に違反している可能性のある情報や、
その他の問題がある内容について直接報告することができます。
この機能は、詐欺、スパム、虚偽、不正確であると思われる情報を報告するためのものです。
報告すべき情報の例
- ・差別的または不快感を与えるもの: 性別、年齢、人種、宗教、身体的特徴などに基づく差別が見られるものはこちらに該当します。過度な出血など過激な表現など不適切な内容が含まれる場合も対象です。
- ・虚偽の情報: 何らかの根拠により虚偽が認められる情報が対象です。
- ・不正確な情報: 治療名やリスク、金額、医院情報などに不正確な内容が含まれるものです。多くの場合、これらの問題はココシカ!の掲載基準違反ではありませんが、情報の更新が求められる場合があります。
- ・広告行為: 本サービスの趣旨に反する投稿です。サービス広告、企業やアプリの宣伝、その他問題があると確認された投稿が該当します。
- ・その他: これらのカテゴリーに当てはまらない問題については、[その他] を選択し詳しい情報をご提供ください。
ココシカ!の情報、技術的な問題、医院ページのレビュー、掲載情報に関する問い合わせ、検索結果などに関する一般的な質問、これらの問題に関するお問い合わせは、サポートチームまでご連絡下さい。
| 診療科目 | 一般歯科、インプラント、矯正歯科、小児歯科、小児矯正、虫歯、歯周病治療、予防歯科、口腔外科、入れ歯、ホワイトニング、訪問診療 |
|---|---|
| 自由診療 | インプラント、矯正歯科、審美補綴、小児歯科、小児矯正、親知らず、口腔外科 |
| 住所 | 〒277-0827 千葉県柏市松葉町2-1-21 |
| アクセス | 北柏駅 徒歩15分 |
| 診療時間 | 9:00~13:00 14:00~18:00 |
| 休診日 | 木曜 祝日 隔週日曜 |
| 代表者 | 末石 哲之 |
※記載の内容は最新の情報と異なる場合がございます。正確な情報は歯科医院にご確認ください。
この歯科医院の他の症例
NEW CONTENT 新着コンテンツ
-
「第22回 一般社団法人 日本外傷歯学会・総会・学術大会」開幕、リハビリにフォーカスして歯の損失リスク軽減を目指す
2022.8.8 一般歯科
-
クラウド型歯科用レセコン「POWER5G」が口腔内シミュレーションサービス「DMFTシミュレーター」と提携
2022.6.28 予防歯科
-
豪発のブランド「ビーボックス」から歯固め発売、乳幼児でも持ちやすい設計に
2022.6.24 小児歯科
-
韓国発ライフスタイルケアブランド「ソルトレイン」日本初上陸、伊勢丹新宿でポップアップも
2022.6.22 その他
-
デントウェーブ運営の歯科衛生士向けコミュニティ「歯科衛生士のcoe」無料オンラインイベント開催
2022.3.2 その他
-
竹素材のオーガニック歯ブラシ、日本発サステナブランド「ミヨオーガニック」展開
2022.2.17 予防歯科
