- 虫歯
- 詰め物・被せもの
- インプラント
- ブリッジ
- 抜歯
50代女性 保存が難しい歯を抜いてインプラントの抜歯即時埋入で審美性と噛み合わせを回復した症例
ご相談内容
「前歯が揺れて、取れそうになっている」とご相談いただきました。患者様は数ヶ月前より当院に来院されていましたが、ほかの部位の治療が終了したころに症状が出始めました。
カウンセリング・診断結果
拝見したところ、欠損した左上前歯(側切歯)を補うために、両隣の歯を土台として人工歯を連結したブリッジが装着されていました。
しかし、レントゲン撮影をして詳しく検査を行うと、ブリッジの土台になっている2本の前歯(中切歯、犬歯)に虫歯が生じており、それにより歯がぐらぐらしていることが判明しました。
仮に虫歯を治療したとしても、残っている歯の部分が少ないため、再びブリッジを装着することは困難です。
また、このまま放置すると虫歯が進行し、周囲の歯や骨に細菌感染が広がるリスクもあるため、早急に治療をする必要があると診断しました。
行ったご提案・治療内容
患者様には、ブリッジの土台になっている前歯2本は保存が困難であり、抜歯する必要があることをお伝えし、同意いただきました。
抜歯後に左上3本の欠損をブリッジで補う場合、多くの歯を土台として使用する必要があります。
しかし、すでにほかの前歯には被せ物が装着されていることや、長く連結されたブリッジは土台に大きな負担がかかることを考慮すると、残っている歯を土台とするブリッジでの治療は適切ではありません。
そのため、抜歯後の治療として以下2つの方法を提案しました。
①インプラントを土台として、インプラントの上部にブリッジを装着する方法
インプラントは顎の骨に人工歯根となるネジを埋め込み、その上に人工歯を取り付ける治療です。
メリット:周囲の歯に負担をかけずに歯を補える。見た目や噛み心地が天然歯に近い
デメリット:治療期間が長い。自費診療なのでほかの治療方法に比べて費用がかかる
②欠損部位に取り外し可能な人工の歯を装着し、両隣の歯にバネをかけて固定する入れ歯
メリット:比較的治療期間が短く、保険適用なので費用が抑えられる(入れ歯の素材によっては自費診療の場合もある)
デメリット:インプラントに比べると耐久性に劣る。装着時に違和感を覚えて慣れるまで時間がかかることがある
それぞれの治療方法について丁寧に説明したところ、患者様は「入れ歯を避けたい」との理由から、①のインプラントを選択されました。
前歯のように審美性が重視される部位のインプラント治療には慎重な対応が不可欠なので、しっかりと計画を立てて進めていくこともお伝えしています。
【治療計画】
インプラントをしっかりと支えるためには十分な骨の高さや厚みが必要ですが、前歯は唇側の骨が薄く、抜歯後に骨が吸収されて骨量が失われやすい部位です。
必要な骨量を確保するためには、骨の厚みや高さを増やすGBR(骨造成)や、歯茎の厚みや形態を整えるCTG(結合組織移植術)などの処置が必要になる場合があるものの、これらの処置は大がかりなので、治療期間が延びたり患者様の身体的・経済的負担が大きくなったりするおそれがあります。
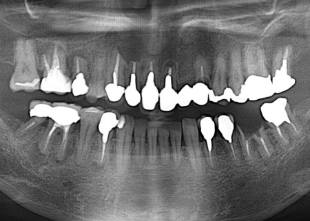
そこで今回は、抜歯と同時にインプラントを埋め込む抜歯即時埋入と、ご自身の歯質(歯を構成する成分)を唇側に残すソケットシールドテクニックを併用する治療を計画しました。
これは健全な歯質が存在する場合に限った治療方法ですが、左上前歯2本の歯質を意図的に少し残すことで、抜歯後に起こる骨や歯茎の吸収をできる限り抑え、自然なかたちでの骨量の維持が期待できます。
さらに、抜歯即時埋入と併用することで外科処置が1回ですむため、術後の腫れや痛みの軽減、治療期間の短縮、見た目や噛み合わせの早期回復も見込めます。
以上の治療計画について詳しく説明し、患者様に同意をいただいてから治療を開始しました。
【治療の流れ】
まず、左上前歯2本を唇側に健全な歯質をわずかに残しながら、慎重に抜きます。続いて、インプラントを適切な位置と角度で抜歯部位に埋入しました。
インプラントの埋入後は経過観察を行い、歯茎の治癒やインプラントと骨の結合を確認します。
その後、インプラントの上部に装着するブリッジを製作するため、精密な型取りを行いました。
ブリッジは耐久性と審美性に優れた白い素材を選択しています。
後日、完成したブリッジをインプラントに装着し、噛み合わせをしっかりと調整して、治療を終了しました。
この治療のリスクについて
・持病をお持ちの方や、服用中のお薬の種類によっては、外科処置ができない場合があります
・外科処置後に腫れ、出血が生じる場合があります
・外科処置後に痛みが長引く場合があります。必要に応じ痛み止めを併用します
・メンテナンスを怠ったり、喫煙したりすると、お口の中に大きな悪影響を及ぼし、インプラント周囲炎などにかかる可能性があります
・土台となる歯に負担がかかるため、将来的に歯が揺れたり、歯の根が割れたりする可能性があります
・噛み合わせや歯ぎしりが強い場合、被せ物が破損する可能性があります
- 年齢・性別 50代女性
- 診療種別 自由診療
- 治療期間の目安 約5ヶ月
- 治療回数の目安 -
- 治療費総額の目安 約1,091,000円
※掲載された情報は治療の効果を保証するものではありません。
ご利用により万一何らかの損害が発生したとしても、当サイトは一切責任を負いかねますのでご了承ください。
画像をクリックすると拡大・詳細コメントを確認いただけます
-
海谷歯科医院TEL:0352611515
-
海谷歯科医院TEL:0352611515
-
海谷歯科医院TEL:0352611515
-
海谷歯科医院TEL:0352611515
-
海谷歯科医院TEL:0352611515
-
海谷歯科医院TEL:0352611515
-
海谷歯科医院TEL:0352611515
-
海谷歯科医院TEL:0352611515
-
海谷歯科医院TEL:0352611515 -
海谷歯科医院TEL:0352611515 -
海谷歯科医院TEL:0352611515
-
海谷歯科医院TEL:0352611515 -
海谷歯科医院TEL:0352611515 -
海谷歯科医院TEL:0352611515
-
海谷歯科医院TEL:0352611515 -
海谷歯科医院TEL:0352611515 -
海谷歯科医院TEL:0352611515
-
海谷歯科医院TEL:0352611515 -
海谷歯科医院TEL:0352611515 -
海谷歯科医院TEL:0352611515
-
海谷歯科医院TEL:0352611515 -
海谷歯科医院TEL:0352611515 -
海谷歯科医院TEL:0352611515
-
海谷歯科医院TEL:0352611515
歯の一部(矢印部分)を残してインプラントを埋入
問題を報告する
掲載内容に問題がありますか?
こちらのフォームではココシカ!利用規約に違反している可能性のある情報や、
その他の問題がある内容について直接報告することができます。
この機能は、詐欺、スパム、虚偽、不正確であると思われる情報を報告するためのものです。
報告すべき情報の例
- ・差別的または不快感を与えるもの: 性別、年齢、人種、宗教、身体的特徴などに基づく差別が見られるものはこちらに該当します。過度な出血など過激な表現など不適切な内容が含まれる場合も対象です。
- ・虚偽の情報: 何らかの根拠により虚偽が認められる情報が対象です。
- ・不正確な情報: 治療名やリスク、金額、医院情報などに不正確な内容が含まれるものです。多くの場合、これらの問題はココシカ!の掲載基準違反ではありませんが、情報の更新が求められる場合があります。
- ・広告行為: 本サービスの趣旨に反する投稿です。サービス広告、企業やアプリの宣伝、その他問題があると確認された投稿が該当します。
- ・その他: これらのカテゴリーに当てはまらない問題については、[その他] を選択し詳しい情報をご提供ください。
ココシカ!の情報、技術的な問題、医院ページのレビュー、掲載情報に関する問い合わせ、検索結果などに関する一般的な質問、これらの問題に関するお問い合わせは、サポートチームまでご連絡下さい。
| 診療科目 | 一般歯科、矯正歯科、インプラント、詰め物・被せ物、歯科口腔外科、精密根管治療、歯周病治療、審美治療 |
|---|---|
| 自由診療 | 虫歯治療、精密根管治療、ワイヤー矯正、セラミック・ジルコニア、ブリッジ |
| 住所 | 〒162-0841 東京都新宿区払方町15番地 小暮ビル2F |
| アクセス | ●JR総武線市ヶ谷駅より 徒歩8分 ●地下鉄有楽町線市ヶ谷駅より 徒歩4分 ●大江戸線牛込神楽坂駅より 徒歩4分 ●JR総武線飯田橋駅より 徒歩14分 |
| 診療時間 | 10:00~13:00 14:30~19:30 |
| 休診日 | 土曜 日曜 祝日 |
| 代表者 | 海谷 幸利 |
※記載の内容は最新の情報と異なる場合がございます。正確な情報は歯科医院にご確認ください。
この歯科医院の他の症例
NEW CONTENT 新着コンテンツ
-
「第22回 一般社団法人 日本外傷歯学会・総会・学術大会」開幕、リハビリにフォーカスして歯の損失リスク軽減を目指す
2022.8.8 一般歯科
-
クラウド型歯科用レセコン「POWER5G」が口腔内シミュレーションサービス「DMFTシミュレーター」と提携
2022.6.28 予防歯科
-
豪発のブランド「ビーボックス」から歯固め発売、乳幼児でも持ちやすい設計に
2022.6.24 小児歯科
-
韓国発ライフスタイルケアブランド「ソルトレイン」日本初上陸、伊勢丹新宿でポップアップも
2022.6.22 その他
-
デントウェーブ運営の歯科衛生士向けコミュニティ「歯科衛生士のcoe」無料オンラインイベント開催
2022.3.2 その他
-
竹素材のオーガニック歯ブラシ、日本発サステナブランド「ミヨオーガニック」展開
2022.2.17 予防歯科
