- 歯周外科
- 根管治療
- 詰め物・被せもの
- セラミック・ジルコニア
50代女性 進行した虫歯を歯周外科手術と精密根管治療で治療した症例
ご相談内容
「右下奥歯がうずいて痛むようになった」とご相談いただきました。
カウンセリング・診断結果
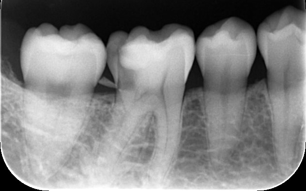
拝見したところ、右下奥歯には歯槽骨(歯を支える骨)の近くまで進行している虫歯が認められました。通常の虫歯治療では、治療が困難な状態です。
このまま治療を行うと被せ物と歯の境目が歯茎の中に埋もれてしまい、結果として細菌が侵入しやすい状態になり、虫歯や歯周病のリスクが高まってせっかくの治療が長持ちしないおそれがあります。
以上のことから、歯の境目を歯茎の上に出す処置を行ってから、虫歯を治療する必要があると診断しました。
行ったご提案・治療内容
歯茎を一時的に切開して健全な歯質を適切な位置に露出させ、歯茎の高さを調整して被せ物と歯の境目を歯茎の縁より上に出す「歯周外科手術」を提案しました。
この治療は歯周病の再発リスクを大幅に減らし、長期間安定した状態を保つことができる方法です。
その一方で、外科的な処置が必要になるため、治療期間が通常よりも長くなることも併せて説明し、治療に同意いただきました。
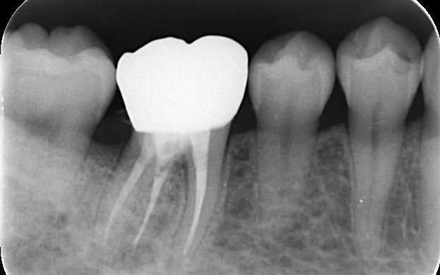
まずは歯周外科手術を行い、歯槽骨を必要な分だけ慎重に除去します。その後、健全な歯質が骨の縁から約3mm上に位置するよう精密に調整し、細菌の侵入を長期間防げる状態に整えました。
手術後は、歯茎と骨の状態が安定するまで経過観察を行い、十分に治癒したことが確認できたあと、顕微鏡を使用した「精密根管治療」を実施します。
精密根管治療とは、歯の神経が通っている根管という細い管の中を、顕微鏡で拡大しながら丁寧に清掃と消毒をする方法です。自費診療なのでやや費用がかかるものの、保険診療内の治療よりも精密で確実な処置が行えます。
感染源を丁寧に除去したあとは根管内を消毒し、薬剤でしっかりと封鎖しました。
続いて、歯の土台となるファイバー支台(ファイバーコア)を作製します。
ファイバーコアは金属の土台とは異なり、天然歯と似た柔軟性をもっているため、歯根が折れるリスクを軽減することが可能です。
土台が完成したあとは、被せ物を作製するための精密な型取りを行います。
被せ物(クラウン)の素材には、天然歯に近い透明感をもちながら、優れた耐久性を兼ね備えたジルコニアセラミックを採用しました。
最後に、完成したジルコニアセラミッククラウンを装着し、噛み合わせや見た目などに問題がないことを確認して、治療を終了しています。
この治療のリスクについて
・外科処置後に腫れ、出血が生じる場合があります
・外科処置後に痛みが長引く場合があります。必要に応じ痛み止めを併用します
・外科処置後のメンテナンスを怠ると、良好な結果が得られない可能性があります
・まれに根管治療後も再治療、外科手術、抜歯などの処置が必要となる場合があります
・治療中や治療後に不快症状が出たり、治療後に痛みや腫れなどが生じたりする可能性があります
・硬い素材の場合、他の天然歯を傷つけることがあります
- 年齢・性別 50代女性
- 診療種別 自由診療
- 治療期間の目安 約6ヶ月
- 治療回数の目安 -
-
治療費総額の目安
約305,000円
(歯周外科、精密根管治療、ファイバーコア、ジルコニアセラミッククラウン)
※掲載された情報は治療の効果を保証するものではありません。
ご利用により万一何らかの損害が発生したとしても、当サイトは一切責任を負いかねますのでご了承ください。
画像をクリックすると拡大・詳細コメントを確認いただけます
-
大塚歯科TEL:0359038467
-
大塚歯科TEL:0359038467
-
大塚歯科TEL:0359038467
-
大塚歯科TEL:0359038467
-
大塚歯科TEL:0359038467
-
大塚歯科TEL:0359038467
-
大塚歯科TEL:0359038467 -
大塚歯科TEL:0359038467
-
大塚歯科TEL:0359038467
歯周外科手術を行いました。
精密根管治療を行いました。
精密な型取りを行いました。
問題を報告する
掲載内容に問題がありますか?
こちらのフォームではココシカ!利用規約に違反している可能性のある情報や、
その他の問題がある内容について直接報告することができます。
この機能は、詐欺、スパム、虚偽、不正確であると思われる情報を報告するためのものです。
報告すべき情報の例
- ・差別的または不快感を与えるもの: 性別、年齢、人種、宗教、身体的特徴などに基づく差別が見られるものはこちらに該当します。過度な出血など過激な表現など不適切な内容が含まれる場合も対象です。
- ・虚偽の情報: 何らかの根拠により虚偽が認められる情報が対象です。
- ・不正確な情報: 治療名やリスク、金額、医院情報などに不正確な内容が含まれるものです。多くの場合、これらの問題はココシカ!の掲載基準違反ではありませんが、情報の更新が求められる場合があります。
- ・広告行為: 本サービスの趣旨に反する投稿です。サービス広告、企業やアプリの宣伝、その他問題があると確認された投稿が該当します。
- ・その他: これらのカテゴリーに当てはまらない問題については、[その他] を選択し詳しい情報をご提供ください。
ココシカ!の情報、技術的な問題、医院ページのレビュー、掲載情報に関する問い合わせ、検索結果などに関する一般的な質問、これらの問題に関するお問い合わせは、サポートチームまでご連絡下さい。
| 住所 | 〒177-0044 東京都練馬区上石神井4-7-27 |
|---|---|
| 診療時間 | 9:30~13:00 14:30~19:00 |
| 休診日 | 日曜 祝日 |
| 代表者 | 大塚 正行 |
※記載の内容は最新の情報と異なる場合がございます。正確な情報は歯科医院にご確認ください。
この歯科医院の他の症例
NEW CONTENT 新着コンテンツ
-
「第22回 一般社団法人 日本外傷歯学会・総会・学術大会」開幕、リハビリにフォーカスして歯の損失リスク軽減を目指す
2022.8.8 一般歯科
-
クラウド型歯科用レセコン「POWER5G」が口腔内シミュレーションサービス「DMFTシミュレーター」と提携
2022.6.28 予防歯科
-
豪発のブランド「ビーボックス」から歯固め発売、乳幼児でも持ちやすい設計に
2022.6.24 小児歯科
-
韓国発ライフスタイルケアブランド「ソルトレイン」日本初上陸、伊勢丹新宿でポップアップも
2022.6.22 その他
-
デントウェーブ運営の歯科衛生士向けコミュニティ「歯科衛生士のcoe」無料オンラインイベント開催
2022.3.2 その他
-
竹素材のオーガニック歯ブラシ、日本発サステナブランド「ミヨオーガニック」展開
2022.2.17 予防歯科
