- 歯周外科
- 矯正歯科
- ワイヤー矯正
- 歯科口腔外科
- 抜歯
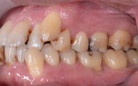
40代男性 乱れた歯並びと重度歯周病をワイヤー矯正と歯周再生療法で治療した症例
ご相談内容
「歯並びと噛み合わせについて長年悩んでいるので、しっかりと治したい」とご相談いただきました。
カウンセリング・診断結果
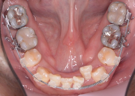
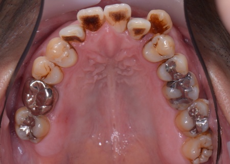
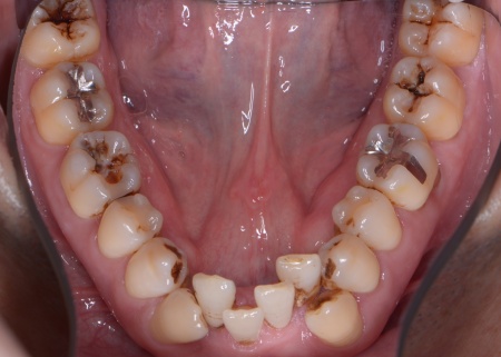
拝見したところ、上下の歯は、ずれたりねじれたりしてデコボコに生えており、著しく歯並びが乱れていました。
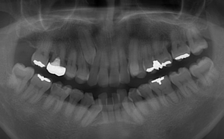
またレントゲン撮影をして確認すると、右上前歯は顎の骨の中に埋まっている骨性埋伏(こっせいまいふく)の状態でした。
本来、骨性埋伏の歯は、歯茎を切開して中の歯を引っ張る開窓牽引(かいそうけんいん)を行うのが一般的ですが、患者様の歯は骨の中に深く埋まっていたため、開窓牽引は難しいと考えられます。
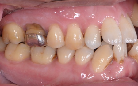
さらに、左下奥歯は重度の歯周病であり、歯を支えている骨が一部溶けていることが判明しました。
このまま放置すると骨がさらに溶け、歯を残すことが難しくなるおそれがあります。
以上のことから、歯並びを整える矯正治療と歯周病の治療を併せて行う必要があると診断しました。
行ったご提案・治療内容
患者様はまだお若く「先の人生を考えて、歯を失うリスクを最小限にしたい」と希望されていたため、以下の治療計画を提案し、同意いただきました。
①抜歯をしてから歯並びを整える「抜歯矯正」
メリット:抜歯をすることで、歯が正しく並ぶスペースを確保することができる
デメリット:健康な歯を抜く必要がある
今回のケースでは、左上下の奥歯各1本(第3大臼歯)、右下の奥歯1本(第3大臼歯)、左上下と右下の奥歯各1本(第1小臼歯)の計6本の抜歯が必要です。
骨に埋まっている右上前歯は引っ張り出すことができないため、隣の歯である右上奥歯(第1小臼歯)を代用歯として機能させる方法を選択しました。
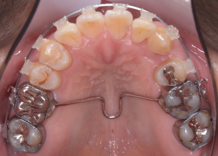
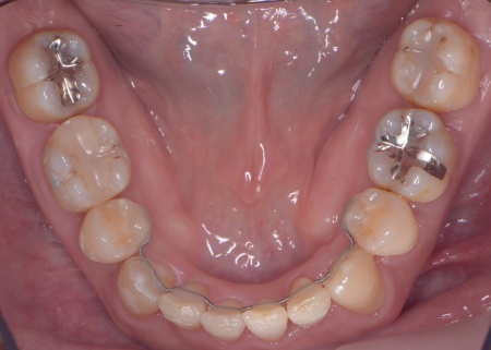
また、奥歯の噛み合わせは正常だったことから、それを維持しながら歯並びを整えるために以下の方法を採用します。
・上顎には歯の裏側に固定装置「トランスパラタルアーチ」を装着する
・下顎には小さな矯正用のネジ「ミニインプラント」を埋め込み、歯をしっかり動かすための支えにする
・歯の表面に小さなボタン状の装置であるブラケットを接着し、そこにワイヤーを通して歯を動かす「マルチブラケット矯正」を行う
②矯正治療後、歯周病を発症している左下奥歯(第1大臼歯)を温存するために、失われた骨や歯茎を再生する「歯周再生療法」を行う
メリット:歯を残せる可能性が高まる
デメリット:自費診療なので比較的費用がかかる
まずは歯の移動スペースを確保するために、計6本の歯を抜きます。
その後、上下の歯の表面にブラケットを接着し、上顎にはトランスパラタルアーチを、下顎にはミニインプラントを使用しながら、マルチブラケット矯正を開始しました。
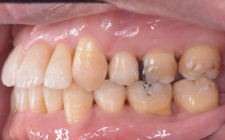
矯正治療終了後、歯の後戻りを防ぐため、上下前歯の裏側にワイヤーを接着して固定させる「フィックスリテーナー」を装着しています。
その後、左下奥歯に歯周再生療法を行って歯周病が改善したことを確認し、治療を終了しました。
この治療のリスクについて
・治療中、発音しにくい場合があります
・歯の移動に伴って、違和感や痛みを感じる場合があります
・冷たいものを飲んだときに歯がしみる「知覚過敏」の症状が出る場合があります
・持病をお持ちの方や、服用中のお薬の種類によっては、外科処置ができない場合があります
・外科処置後に腫れ、出血が生じる場合があります
・外科処置後のメンテナンスを怠ると、良好な結果が得られない可能性があります
- 年齢・性別 40代男性
- 診療種別 自由診療
- 治療期間の目安 約2年
- 治療回数の目安 -
-
治療費総額の目安
約1,150,000円
(矯正治療・歯周再生療法)
※掲載された情報は治療の効果を保証するものではありません。
ご利用により万一何らかの損害が発生したとしても、当サイトは一切責任を負いかねますのでご了承ください。
画像をクリックすると拡大・詳細コメントを確認いただけます
-
大塚歯科TEL:0359038467
-
大塚歯科TEL:0359038467
-
大塚歯科TEL:0359038467
-
大塚歯科TEL:0359038467
-
大塚歯科TEL:0359038467
-
大塚歯科TEL:0359038467
-
大塚歯科TEL:0359038467
-
大塚歯科TEL:0359038467
-
大塚歯科TEL:0359038467
-
大塚歯科TEL:0359038467
-
大塚歯科TEL:0359038467
-
大塚歯科TEL:0359038467
-
大塚歯科TEL:0359038467
-
大塚歯科TEL:0359038467 -
大塚歯科TEL:0359038467
-
大塚歯科TEL:0359038467
-
大塚歯科TEL:0359038467 -
大塚歯科TEL:0359038467
問題を報告する
掲載内容に問題がありますか?
こちらのフォームではココシカ!利用規約に違反している可能性のある情報や、
その他の問題がある内容について直接報告することができます。
この機能は、詐欺、スパム、虚偽、不正確であると思われる情報を報告するためのものです。
報告すべき情報の例
- ・差別的または不快感を与えるもの: 性別、年齢、人種、宗教、身体的特徴などに基づく差別が見られるものはこちらに該当します。過度な出血など過激な表現など不適切な内容が含まれる場合も対象です。
- ・虚偽の情報: 何らかの根拠により虚偽が認められる情報が対象です。
- ・不正確な情報: 治療名やリスク、金額、医院情報などに不正確な内容が含まれるものです。多くの場合、これらの問題はココシカ!の掲載基準違反ではありませんが、情報の更新が求められる場合があります。
- ・広告行為: 本サービスの趣旨に反する投稿です。サービス広告、企業やアプリの宣伝、その他問題があると確認された投稿が該当します。
- ・その他: これらのカテゴリーに当てはまらない問題については、[その他] を選択し詳しい情報をご提供ください。
ココシカ!の情報、技術的な問題、医院ページのレビュー、掲載情報に関する問い合わせ、検索結果などに関する一般的な質問、これらの問題に関するお問い合わせは、サポートチームまでご連絡下さい。
| 住所 | 〒177-0044 東京都練馬区上石神井4-7-27 |
|---|---|
| 診療時間 | 9:30~13:00 14:30~19:00 |
| 休診日 | 日曜 祝日 |
| 代表者 | 大塚 正行 |
※記載の内容は最新の情報と異なる場合がございます。正確な情報は歯科医院にご確認ください。
この歯科医院の他の症例
NEW CONTENT 新着コンテンツ
-
「第22回 一般社団法人 日本外傷歯学会・総会・学術大会」開幕、リハビリにフォーカスして歯の損失リスク軽減を目指す
2022.8.8 一般歯科
-
クラウド型歯科用レセコン「POWER5G」が口腔内シミュレーションサービス「DMFTシミュレーター」と提携
2022.6.28 予防歯科
-
豪発のブランド「ビーボックス」から歯固め発売、乳幼児でも持ちやすい設計に
2022.6.24 小児歯科
-
韓国発ライフスタイルケアブランド「ソルトレイン」日本初上陸、伊勢丹新宿でポップアップも
2022.6.22 その他
-
デントウェーブ運営の歯科衛生士向けコミュニティ「歯科衛生士のcoe」無料オンラインイベント開催
2022.3.2 その他
-
竹素材のオーガニック歯ブラシ、日本発サステナブランド「ミヨオーガニック」展開
2022.2.17 予防歯科
