- 詰め物・被せもの
- ラミネートベニア
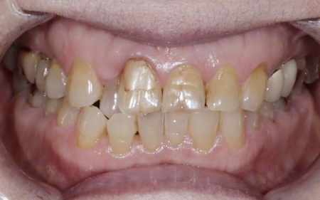
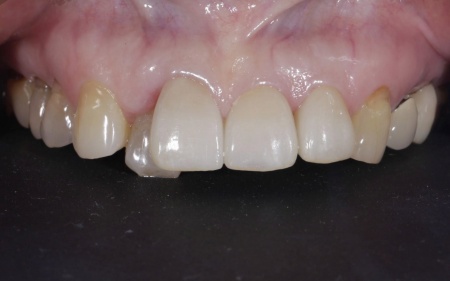
70代女性 経年劣化した上前歯の詰め物を外しラミネートベニアで修復した症例


ご相談内容
「前歯の見た目が気になるので、きれいに治したい」とご相談いただきました。
カウンセリング・診断結果
拝見したところ、上前歯には保険診療の白いプラスチック素材「コンポジットレジン」を用いた詰め物の治療がされていましたが、経年劣化により一部が変色し、歯との間に隙間が生じている状態です。
このまま放置すると、隙間から汚れが入って虫歯を発症するリスクが高まるため、詰め物を作り直す必要があると診断しました。
行ったご提案・治療内容
患者様は長年当院に通院されており、詰め物が外れたり割れたりするたびに、一部を修復する処置である「補修」を受けていました。
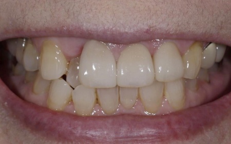
しかし、今回は根本的に前歯の審美性を改善したいと希望されたため、セラミックの薄い板を貼り付ける「ラミネートベニア」による修復を提案し、同意いただきました。
メリット:歯を削る量が少なく、短期間で治療が終わる
デメリット:健康な歯を削る必要がある。自費診療のため、やや費用がかかる
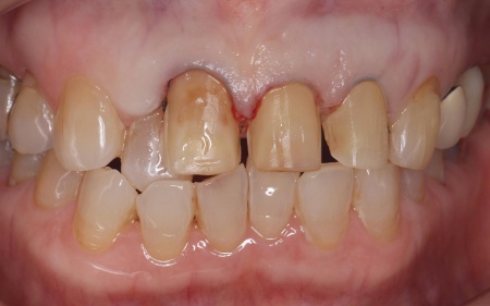
まずは、前歯に装着されていたコンポジットレジンを外します。
続いて歯の表面をわずかに削り、色や形にこだわったセラミックの板を接着しました。
最後に、見た目や使用感に問題がないことをしっかりと確認して、治療を終了しています。
この治療のリスクについて
・非常に薄いセラミックのため、強度は弱くなります
・中の歯の色の影響を受けやすいため、変色が強い歯には適さない場合があります
・ご使用状況により、割れたり欠けたりする場合があります
・自費診療(保険適用外治療)です
- 年齢・性別 70代女性
- 診療種別 自由診療
- 治療期間の目安 約4週間
- 治療回数の目安 -
- 治療費総額の目安 約330,000円
※掲載された情報は治療の効果を保証するものではありません。
ご利用により万一何らかの損害が発生したとしても、当サイトは一切責任を負いかねますのでご了承ください。
画像をクリックすると拡大・詳細コメントを確認いただけます
-
海谷歯科医院TEL:0352611515
-
海谷歯科医院TEL:0352611515
-
海谷歯科医院TEL:0352611515
-
海谷歯科医院TEL:0352611515
-
海谷歯科医院TEL:0352611515
-
海谷歯科医院TEL:0352611515





問題を報告する
掲載内容に問題がありますか?
こちらのフォームではココシカ!利用規約に違反している可能性のある情報や、
その他の問題がある内容について直接報告することができます。
この機能は、詐欺、スパム、虚偽、不正確であると思われる情報を報告するためのものです。
報告すべき情報の例
- ・差別的または不快感を与えるもの: 性別、年齢、人種、宗教、身体的特徴などに基づく差別が見られるものはこちらに該当します。過度な出血など過激な表現など不適切な内容が含まれる場合も対象です。
- ・虚偽の情報: 何らかの根拠により虚偽が認められる情報が対象です。
- ・不正確な情報: 治療名やリスク、金額、医院情報などに不正確な内容が含まれるものです。多くの場合、これらの問題はココシカ!の掲載基準違反ではありませんが、情報の更新が求められる場合があります。
- ・広告行為: 本サービスの趣旨に反する投稿です。サービス広告、企業やアプリの宣伝、その他問題があると確認された投稿が該当します。
- ・その他: これらのカテゴリーに当てはまらない問題については、[その他] を選択し詳しい情報をご提供ください。
ココシカ!の情報、技術的な問題、医院ページのレビュー、掲載情報に関する問い合わせ、検索結果などに関する一般的な質問、これらの問題に関するお問い合わせは、サポートチームまでご連絡下さい。
診療科目 | 一般歯科、矯正歯科、インプラント、詰め物・被せ物、歯科口腔外科、精密根管治療、歯周病治療、審美治療 |
---|---|
自由診療 | 虫歯治療、精密根管治療、ワイヤー矯正、セラミック・ジルコニア、ブリッジ |
住所 | 〒162-0841 東京都新宿区払方町15番地 小暮ビル2F |
アクセス | ●JR総武線市ヶ谷駅より 徒歩8分 ●地下鉄有楽町線市ヶ谷駅より 徒歩4分 ●大江戸線牛込神楽坂駅より 徒歩4分 ●JR総武線飯田橋駅より 徒歩14分 |
診療時間 | 10:00~13:00 14:30~19:30 |
休診日 | 土曜 日曜 祝日 |
代表者 | 海谷 幸利 |
※記載の内容は最新の情報と異なる場合がございます。正確な情報は歯科医院にご確認ください。
この歯科医院の他の症例
NEW CONTENT 新着コンテンツ
-
「第22回 一般社団法人 日本外傷歯学会・総会・学術大会」開幕、リハビリにフォーカスして歯の損失リスク軽減を目指す
2022.8.8 一般歯科
-
クラウド型歯科用レセコン「POWER5G」が口腔内シミュレーションサービス「DMFTシミュレーター」と提携
2022.6.28 予防歯科
-
豪発のブランド「ビーボックス」から歯固め発売、乳幼児でも持ちやすい設計に
2022.6.24 小児歯科
-
韓国発ライフスタイルケアブランド「ソルトレイン」日本初上陸、伊勢丹新宿でポップアップも
2022.6.22 その他
-
デントウェーブ運営の歯科衛生士向けコミュニティ「歯科衛生士のcoe」無料オンラインイベント開催
2022.3.2 その他
-
竹素材のオーガニック歯ブラシ、日本発サステナブランド「ミヨオーガニック」展開
2022.2.17 予防歯科