- 詰め物・被せもの
- セラミック・ジルコニア
60代男性 歯に合わなくなった被せ物をジルコニアクラウンに交換した症例
ご相談内容
「被せ物の根元が黒くなっているのが気になる」とご相談いただきました。
カウンセリング・診断結果
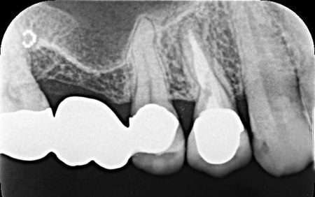
拝見したところ、右上4番目の歯には白い被せ物が入っていましたが、加齢により歯ぐきが下がったことで被せ物が合わなくなり、土台が見えて黒くなっていました。
この歯は笑ったときに見えやすい部分のため審美性に影響が出ており、さらにこのまま放置すると隙間から細菌が入り込んで虫歯が再発するリスクもあります。
以上のことから、被せ物を取り外し新しい被せ物に交換する必要があると診断しました。
行ったご提案・治療内容
診断結果を丁寧に説明したうえで、古い被せ物を外し歯に合った新しい被せ物を作製する治療を提案し、同意いただきました。
この歯は過去の治療で被せ物を装着する際に歯の神経を取る根管治療を行っていました。
根管治療後の歯は時間が経過すると根の周りに炎症を起こすことがあります。
炎症が起きた際には根管治療からやり直す必要があるものの、今回は特に問題は認められなかったため被せ物の交換のみで対応できることも併せて説明しました。
患者様は「見た目がきれいで長持ちする被せ物がいい」と希望され、被せ物の種類は自由診療のセラミックであるジルコニアクラウンを選択しています。
ジルコニアクラウンのメリット・デメリット
メリット:劣化や変色がしにくく自然な見た目を長く維持することが期待できる。保険適用の被せ物に比べて汚れが付着しにくいため、虫歯の再発リスクが低減する
デメリット:自由診療のため費用がかかる。被せ物を装着するためにご自身の歯を削る必要がある
まず古い被せ物を除去して土台の形を整え、精密な型取りを行いました。
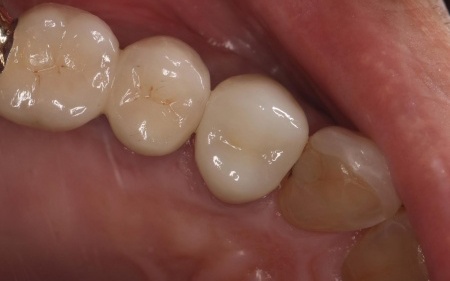
その後、周りの歯と色調や形を合わせた被せ物を作製・装着し、見た目や噛み合わせに問題がないことを確認して治療を終了しました。
この治療のリスクについて
・装着に際し、天然歯を削る必要があります
・硬い素材の場合、他の天然歯を傷つけることがあります
・噛み合わせや歯ぎしりが強い場合、被せ物が割れる可能性があります
・一部の治療を除き、自費診療(保険適用外治療)です
- 年齢・性別 60代男性
- 診療種別 自由診療
- 治療期間の目安 約2週間
- 治療回数の目安 -
-
治療費総額の目安
ジルコニアクラウン
約130,000円
※掲載された情報は治療の効果を保証するものではありません。
ご利用により万一何らかの損害が発生したとしても、当サイトは一切責任を負いかねますのでご了承ください。
画像をクリックすると拡大・詳細コメントを確認いただけます
問題を報告する
掲載内容に問題がありますか?
こちらのフォームではココシカ!利用規約に違反している可能性のある情報や、
その他の問題がある内容について直接報告することができます。
この機能は、詐欺、スパム、虚偽、不正確であると思われる情報を報告するためのものです。
報告すべき情報の例
- ・差別的または不快感を与えるもの: 性別、年齢、人種、宗教、身体的特徴などに基づく差別が見られるものはこちらに該当します。過度な出血など過激な表現など不適切な内容が含まれる場合も対象です。
- ・虚偽の情報: 何らかの根拠により虚偽が認められる情報が対象です。
- ・不正確な情報: 治療名やリスク、金額、医院情報などに不正確な内容が含まれるものです。多くの場合、これらの問題はココシカ!の掲載基準違反ではありませんが、情報の更新が求められる場合があります。
- ・広告行為: 本サービスの趣旨に反する投稿です。サービス広告、企業やアプリの宣伝、その他問題があると確認された投稿が該当します。
- ・その他: これらのカテゴリーに当てはまらない問題については、[その他] を選択し詳しい情報をご提供ください。
ココシカ!の情報、技術的な問題、医院ページのレビュー、掲載情報に関する問い合わせ、検索結果などに関する一般的な質問、これらの問題に関するお問い合わせは、サポートチームまでご連絡下さい。
| 診療科目 | 一般歯科、矯正歯科、インプラント、詰め物・被せ物、歯科口腔外科、精密根管治療、歯周病治療、審美治療 |
|---|---|
| 自由診療 | 虫歯治療、精密根管治療、ワイヤー矯正、セラミック・ジルコニア、ブリッジ |
| 住所 | 〒162-0841 東京都新宿区払方町15番地 小暮ビル2F |
| アクセス | ●JR総武線市ヶ谷駅より 徒歩8分 ●地下鉄有楽町線市ヶ谷駅より 徒歩4分 ●大江戸線牛込神楽坂駅より 徒歩4分 ●JR総武線飯田橋駅より 徒歩14分 |
| 診療時間 | 10:00~13:00 14:30~19:30 |
| 休診日 | 土曜 日曜 祝日 |
| 代表者 | 海谷 幸利 |
※記載の内容は最新の情報と異なる場合がございます。正確な情報は歯科医院にご確認ください。
この歯科医院の他の症例
NEW CONTENT 新着コンテンツ
-
「第22回 一般社団法人 日本外傷歯学会・総会・学術大会」開幕、リハビリにフォーカスして歯の損失リスク軽減を目指す
2022.8.8 一般歯科
-
クラウド型歯科用レセコン「POWER5G」が口腔内シミュレーションサービス「DMFTシミュレーター」と提携
2022.6.28 予防歯科
-
豪発のブランド「ビーボックス」から歯固め発売、乳幼児でも持ちやすい設計に
2022.6.24 小児歯科
-
韓国発ライフスタイルケアブランド「ソルトレイン」日本初上陸、伊勢丹新宿でポップアップも
2022.6.22 その他
-
デントウェーブ運営の歯科衛生士向けコミュニティ「歯科衛生士のcoe」無料オンラインイベント開催
2022.3.2 その他
-
竹素材のオーガニック歯ブラシ、日本発サステナブランド「ミヨオーガニック」展開
2022.2.17 予防歯科
