- 虫歯
- 詰め物・被せもの
- セラミック・ジルコニア
60代女性 進行した虫歯を除去し審美性に優れたオールジルコニアアンレーで修復した症例
ご相談内容
「最近歯がしみるようになった。また、歯に穴が開いているような気がするので診てほしい」とご相談いただきました。
カウンセリング・診断結果
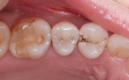
レントゲン撮影をして詳しく検査したところ、右上奥歯2本と、歯間部分の内部に進行した虫歯が認められました。
虫歯は、歯の中心にある神経「歯髄」の近くまで達していたため、このまま放置すると強い痛みを起こし、最終的には神経を除去しなければならなくなるおそれがあります。
以上のことから、早急に治療する必要があると診断しました。
行ったご提案・治療内容
患者様は噛む力が強く、その影響で歯の外側を覆っている組織(エナメル質)が破折していました。
虫歯治療後の修復方法として、保険診療の金属素材を使用する方法もあります。
しかし、金属は力を加えるとしなる性質があり、噛む力が強いとその力が歯の内部にまで伝わって歯がさらに割れてしまうリスクがあります。
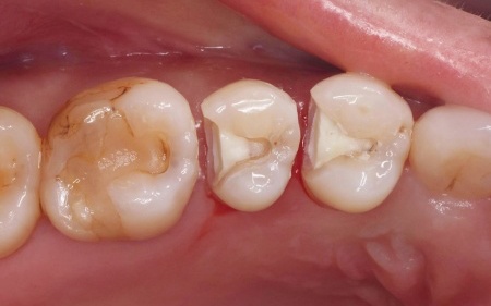
そのため、金属素材での修復は避けて金属よりも強度が優れているジルコニアを提案し、同意いただきました。
ジルコニアは審美性に優れた白い素材であるセラミックの一種です。
人工ダイヤモンドと呼ばれるほど高い強度をもち、金属と違って変形しないため、強い力がかかってもその衝撃が歯の内部に伝わりにくく、歯を保護する働きが期待できます。
一方で、自費診療のためやや費用がかかる点がデメリットです。
まず、虫歯を丁寧に除去してから歯の形を整え、精密な型取りを行います。
後日、完成したジルコニアの詰め物「オールジルコニアアンレー」を装着し、見た目や使用感に問題がないことを確認して、治療を終了しました。
この治療のリスクについて
・装着に際し、天然歯を削る場合があります
・硬い素材の場合、他の天然歯を傷つけることがあります
・噛み合わせや歯ぎしりが強い場合、セラミックが割れる可能性があります
・一部の治療を除き、自費診療(保険適用外治療)です
・治療後に正しい歯磨きやメンテナンスを怠ると、虫歯が再発する場合があります
・治療後は神経が過敏になっているため、痛みが生じる場合があります
- 年齢・性別 60代女性
- 診療種別 自由診療
- 治療期間の目安 約2週間
- 治療回数の目安 -
-
治療費総額の目安
約229,000円
(詰め物治療)
※掲載された情報は治療の効果を保証するものではありません。
ご利用により万一何らかの損害が発生したとしても、当サイトは一切責任を負いかねますのでご了承ください。
画像をクリックすると拡大・詳細コメントを確認いただけます
問題を報告する
掲載内容に問題がありますか?
こちらのフォームではココシカ!利用規約に違反している可能性のある情報や、
その他の問題がある内容について直接報告することができます。
この機能は、詐欺、スパム、虚偽、不正確であると思われる情報を報告するためのものです。
報告すべき情報の例
- ・差別的または不快感を与えるもの: 性別、年齢、人種、宗教、身体的特徴などに基づく差別が見られるものはこちらに該当します。過度な出血など過激な表現など不適切な内容が含まれる場合も対象です。
- ・虚偽の情報: 何らかの根拠により虚偽が認められる情報が対象です。
- ・不正確な情報: 治療名やリスク、金額、医院情報などに不正確な内容が含まれるものです。多くの場合、これらの問題はココシカ!の掲載基準違反ではありませんが、情報の更新が求められる場合があります。
- ・広告行為: 本サービスの趣旨に反する投稿です。サービス広告、企業やアプリの宣伝、その他問題があると確認された投稿が該当します。
- ・その他: これらのカテゴリーに当てはまらない問題については、[その他] を選択し詳しい情報をご提供ください。
ココシカ!の情報、技術的な問題、医院ページのレビュー、掲載情報に関する問い合わせ、検索結果などに関する一般的な質問、これらの問題に関するお問い合わせは、サポートチームまでご連絡下さい。
| 診療科目 | 一般歯科、矯正歯科、インプラント、詰め物・被せ物、歯科口腔外科、精密根管治療、歯周病治療、審美治療 |
|---|---|
| 自由診療 | 虫歯治療、精密根管治療、ワイヤー矯正、セラミック・ジルコニア、ブリッジ |
| 住所 | 〒162-0841 東京都新宿区払方町15番地 小暮ビル2F |
| アクセス | ●JR総武線市ヶ谷駅より 徒歩8分 ●地下鉄有楽町線市ヶ谷駅より 徒歩4分 ●大江戸線牛込神楽坂駅より 徒歩4分 ●JR総武線飯田橋駅より 徒歩14分 |
| 診療時間 | 10:00~13:00 14:30~19:30 |
| 休診日 | 土曜 日曜 祝日 |
| 代表者 | 海谷 幸利 |
※記載の内容は最新の情報と異なる場合がございます。正確な情報は歯科医院にご確認ください。
この歯科医院の他の症例
NEW CONTENT 新着コンテンツ
-
「第22回 一般社団法人 日本外傷歯学会・総会・学術大会」開幕、リハビリにフォーカスして歯の損失リスク軽減を目指す
2022.8.8 一般歯科
-
クラウド型歯科用レセコン「POWER5G」が口腔内シミュレーションサービス「DMFTシミュレーター」と提携
2022.6.28 予防歯科
-
豪発のブランド「ビーボックス」から歯固め発売、乳幼児でも持ちやすい設計に
2022.6.24 小児歯科
-
韓国発ライフスタイルケアブランド「ソルトレイン」日本初上陸、伊勢丹新宿でポップアップも
2022.6.22 その他
-
デントウェーブ運営の歯科衛生士向けコミュニティ「歯科衛生士のcoe」無料オンラインイベント開催
2022.3.2 その他
-
竹素材のオーガニック歯ブラシ、日本発サステナブランド「ミヨオーガニック」展開
2022.2.17 予防歯科
