- 詰め物・被せもの
- セラミック・ジルコニア
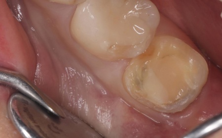
40代女性 欠けたセラミックインレーを除去してオンレータイプの被せ物で修復した症例
ご相談内容
「歯間部分が欠けてしまった」とご相談いただきました。
カウンセリング・診断結果
拝見したところ、左下の一番奥の歯には歯の一部を覆う白い詰め物であるセラミックインレーが装着されていましたが、日常的に力が加わったことで、右上奥歯と接触する部分のセラミックが欠けていました。
このまま放置すると、欠けた部分から細菌が侵入して虫歯の原因になったり、さらに大きな破折につながったりするリスクがあります。
以上のことから、適切な修復治療が必要であると診断しました。
行ったご提案・治療内容
患者様は審美性と長期間使用できる耐久性を重視されていたため、従来の小さなインレータイプではなく、より広い範囲で歯の噛む面全体を覆うオンレータイプでの修復治療を提案しました。
メリット:被せ物の面積が広く、噛む力によって生じる負担を分散できるため、欠けや破折を予防できる
デメリット:健康な歯をより多く削る必要がある
メリットとデメリットを丁寧にお伝えしたところ、オンレータイプの被せ物による治療に同意いただきました。
まず、破折した既存のセラミックインレーを慎重に除去します。
続いてオンレーが適切に装着できるよう、精密に歯の形を整えました。歯を削る際は、健康な歯質をできるだけ残せるよう配慮しています。
その後、精密な型取りを行ってオンレーを製作しました。
オンレーに用いる素材は、強度と自然な見た目を兼ね備えたE-MAX(イーマックス)を選択しました。
E-MAXは高い透明性と耐久性を持つセラミック素材で、天然歯に近い仕上がりが期待できます。
後日、完成したオンレーを装着して噛み合わせを丁寧に整え、見た目や使用感に問題がないことを確認し、治療を終了しました。
この治療のリスクについて
・装着に際し、天然歯を削る場合があります
・硬い素材の場合、他の天然歯を傷つけることがあります
・噛み合わせや歯ぎしりが強い場合、セラミックが割れる可能性があります
・一部の治療を除き、自費診療(保険適用外治療)です
- 年齢・性別 40代女性
- 診療種別 自由診療
- 治療期間の目安 約2週間
- 治療回数の目安 -
- 治療費総額の目安 約110,000円
※掲載された情報は治療の効果を保証するものではありません。
ご利用により万一何らかの損害が発生したとしても、当サイトは一切責任を負いかねますのでご了承ください。
画像をクリックすると拡大・詳細コメントを確認いただけます
問題を報告する
掲載内容に問題がありますか?
こちらのフォームではココシカ!利用規約に違反している可能性のある情報や、
その他の問題がある内容について直接報告することができます。
この機能は、詐欺、スパム、虚偽、不正確であると思われる情報を報告するためのものです。
報告すべき情報の例
- ・差別的または不快感を与えるもの: 性別、年齢、人種、宗教、身体的特徴などに基づく差別が見られるものはこちらに該当します。過度な出血など過激な表現など不適切な内容が含まれる場合も対象です。
- ・虚偽の情報: 何らかの根拠により虚偽が認められる情報が対象です。
- ・不正確な情報: 治療名やリスク、金額、医院情報などに不正確な内容が含まれるものです。多くの場合、これらの問題はココシカ!の掲載基準違反ではありませんが、情報の更新が求められる場合があります。
- ・広告行為: 本サービスの趣旨に反する投稿です。サービス広告、企業やアプリの宣伝、その他問題があると確認された投稿が該当します。
- ・その他: これらのカテゴリーに当てはまらない問題については、[その他] を選択し詳しい情報をご提供ください。
ココシカ!の情報、技術的な問題、医院ページのレビュー、掲載情報に関する問い合わせ、検索結果などに関する一般的な質問、これらの問題に関するお問い合わせは、サポートチームまでご連絡下さい。
| 診療科目 | 一般歯科、矯正歯科、インプラント、詰め物・被せ物、歯科口腔外科、精密根管治療、歯周病治療、審美治療 |
|---|---|
| 自由診療 | 虫歯治療、精密根管治療、ワイヤー矯正、セラミック・ジルコニア、ブリッジ |
| 住所 | 〒162-0841 東京都新宿区払方町15番地 小暮ビル2F |
| アクセス | ●JR総武線市ヶ谷駅より 徒歩8分 ●地下鉄有楽町線市ヶ谷駅より 徒歩4分 ●大江戸線牛込神楽坂駅より 徒歩4分 ●JR総武線飯田橋駅より 徒歩14分 |
| 診療時間 | 10:00~13:00 14:30~19:30 |
| 休診日 | 土曜 日曜 祝日 |
| 代表者 | 海谷 幸利 |
※記載の内容は最新の情報と異なる場合がございます。正確な情報は歯科医院にご確認ください。
この歯科医院の他の症例
NEW CONTENT 新着コンテンツ
-
「第22回 一般社団法人 日本外傷歯学会・総会・学術大会」開幕、リハビリにフォーカスして歯の損失リスク軽減を目指す
2022.8.8 一般歯科
-
クラウド型歯科用レセコン「POWER5G」が口腔内シミュレーションサービス「DMFTシミュレーター」と提携
2022.6.28 予防歯科
-
豪発のブランド「ビーボックス」から歯固め発売、乳幼児でも持ちやすい設計に
2022.6.24 小児歯科
-
韓国発ライフスタイルケアブランド「ソルトレイン」日本初上陸、伊勢丹新宿でポップアップも
2022.6.22 その他
-
デントウェーブ運営の歯科衛生士向けコミュニティ「歯科衛生士のcoe」無料オンラインイベント開催
2022.3.2 その他
-
竹素材のオーガニック歯ブラシ、日本発サステナブランド「ミヨオーガニック」展開
2022.2.17 予防歯科
