- 骨再生
- 詰め物・被せもの
- インプラント
- 抜歯
70代女性 折れた歯を抜いてインプラント治療で噛み合わせを回復した症例
ご相談内容
「歯が抜けてしまった。できればインプラントで治療をしたい」とご相談いただきました。
カウンセリング・診断結果
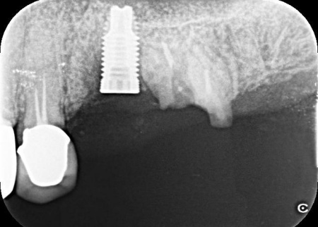
拝見したところ、左上奥歯(第2小臼歯)1本が折れ、歯根だけの状態になっていました。
レントゲン撮影をして詳しく検査した結果、治療して温存することは困難な状態だったため、残っている歯根を抜き、欠損部分を補う治療が必要だと判断しました。
患者様は、人工歯根であるインプラントによる治療を希望されていましたが、レントゲン撮影の結果では、インプラントを入れるために必要な骨の量が足りていません。
また、患者様は骨粗鬆症の治療を受けている最中で、骨粗鬆症の薬を服用している場合、骨密度が低いことでインプラントがしっかりと顎の骨に固定されなかったり、顎の骨が壊死したりするリスクがあります。
以上のことから、まずは慎重に治療方法を検討する必要があると診断しました。
行ったご提案・治療内容
患者様には、折れた左上奥歯は温存ができず、歯根を抜く必要があることをお伝えしました。
そのうえで、希望されているインプラント治療を行うために必要な点を説明しています。
・インプラント治療に必要な骨の量を確保するための「骨補填」を行う
・顎の骨の治癒を促しながら、顎の骨が壊死するリスクを減らすため、骨粗鬆症の薬を3ヶ月停止する
こちらに同意いただき、3ヶ月後からインプラント治療を始めることになりました。
まず、左上奥歯を抜きます。
続いて、不足している骨を補強しつつ、インプラントを埋入した土台を安定させるための骨補填を行いました。
3ヶ月後、顎の骨の状態が良好であることを確認し、インプラントを埋入する手術を実施しました。
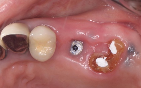
後日、インプラントが顎の骨にしっかりと結合したため、被せ物を作製します。
完成した被せ物を装着し、噛み合わせや使用感に問題がないことを確認して治療を終了しています。
この治療のリスクについて
・持病をお持ちの方や、服用中のお薬の種類によっては、外科処置ができない場合があります
・外科処置後のメンテナンスを怠ると、良好な結果が得られない可能性があります
・外科手術のため、術後に痛みや腫れ、違和感を伴います
・メンテナンスを怠ったり、喫煙したりすると、お口の中に大きな悪影響を及ぼし、インプラント周囲炎などにかかる可能性があります
・糖尿病、肝硬変、心臓病などの持病をお持ちの場合、インプラント治療ができない可能性があります
・自費診療(保険適用外治療)です
- 年齢・性別 70代女性
- 診療種別 自由診療
- 治療期間の目安 約8ヶ月
- 治療回数の目安 -
- 治療費総額の目安 約450,000円
※掲載された情報は治療の効果を保証するものではありません。
ご利用により万一何らかの損害が発生したとしても、当サイトは一切責任を負いかねますのでご了承ください。
画像をクリックすると拡大・詳細コメントを確認いただけます
-
海谷歯科医院TEL:0352611515
-
海谷歯科医院TEL:0352611515
-
海谷歯科医院TEL:0352611515
-
海谷歯科医院TEL:0352611515 -
海谷歯科医院TEL:0352611515
-
海谷歯科医院TEL:0352611515 -
海谷歯科医院TEL:0352611515 -
海谷歯科医院TEL:0352611515
-
海谷歯科医院TEL:0352611515 -
海谷歯科医院TEL:0352611515 -
海谷歯科医院TEL:0352611515
-
海谷歯科医院TEL:0352611515 -
海谷歯科医院TEL:0352611515 -
海谷歯科医院TEL:0352611515
-
海谷歯科医院TEL:0352611515
問題を報告する
掲載内容に問題がありますか?
こちらのフォームではココシカ!利用規約に違反している可能性のある情報や、
その他の問題がある内容について直接報告することができます。
この機能は、詐欺、スパム、虚偽、不正確であると思われる情報を報告するためのものです。
報告すべき情報の例
- ・差別的または不快感を与えるもの: 性別、年齢、人種、宗教、身体的特徴などに基づく差別が見られるものはこちらに該当します。過度な出血など過激な表現など不適切な内容が含まれる場合も対象です。
- ・虚偽の情報: 何らかの根拠により虚偽が認められる情報が対象です。
- ・不正確な情報: 治療名やリスク、金額、医院情報などに不正確な内容が含まれるものです。多くの場合、これらの問題はココシカ!の掲載基準違反ではありませんが、情報の更新が求められる場合があります。
- ・広告行為: 本サービスの趣旨に反する投稿です。サービス広告、企業やアプリの宣伝、その他問題があると確認された投稿が該当します。
- ・その他: これらのカテゴリーに当てはまらない問題については、[その他] を選択し詳しい情報をご提供ください。
ココシカ!の情報、技術的な問題、医院ページのレビュー、掲載情報に関する問い合わせ、検索結果などに関する一般的な質問、これらの問題に関するお問い合わせは、サポートチームまでご連絡下さい。
| 診療科目 | 一般歯科、矯正歯科、インプラント、詰め物・被せ物、歯科口腔外科、精密根管治療、歯周病治療、審美治療 |
|---|---|
| 自由診療 | 虫歯治療、精密根管治療、ワイヤー矯正、セラミック・ジルコニア、ブリッジ |
| 住所 | 〒162-0841 東京都新宿区払方町15番地 小暮ビル2F |
| アクセス | ●JR総武線市ヶ谷駅より 徒歩8分 ●地下鉄有楽町線市ヶ谷駅より 徒歩4分 ●大江戸線牛込神楽坂駅より 徒歩4分 ●JR総武線飯田橋駅より 徒歩14分 |
| 診療時間 | 10:00~13:00 14:30~19:30 |
| 休診日 | 土曜 日曜 祝日 |
| 代表者 | 海谷 幸利 |
※記載の内容は最新の情報と異なる場合がございます。正確な情報は歯科医院にご確認ください。
この歯科医院の他の症例
NEW CONTENT 新着コンテンツ
-
「第22回 一般社団法人 日本外傷歯学会・総会・学術大会」開幕、リハビリにフォーカスして歯の損失リスク軽減を目指す
2022.8.8 一般歯科
-
クラウド型歯科用レセコン「POWER5G」が口腔内シミュレーションサービス「DMFTシミュレーター」と提携
2022.6.28 予防歯科
-
豪発のブランド「ビーボックス」から歯固め発売、乳幼児でも持ちやすい設計に
2022.6.24 小児歯科
-
韓国発ライフスタイルケアブランド「ソルトレイン」日本初上陸、伊勢丹新宿でポップアップも
2022.6.22 その他
-
デントウェーブ運営の歯科衛生士向けコミュニティ「歯科衛生士のcoe」無料オンラインイベント開催
2022.3.2 その他
-
竹素材のオーガニック歯ブラシ、日本発サステナブランド「ミヨオーガニック」展開
2022.2.17 予防歯科
