- 虫歯
- 根管治療
- 詰め物・被せもの
- セラミック・ジルコニア
60代女性 歯根の炎症を根管治療で改善した症例
ご相談内容
「噛むと痛みがあり、違和感もある」とご相談いただきました。
カウンセリング・診断結果
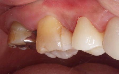
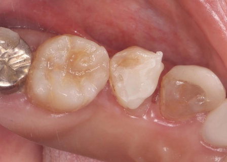
拝見したところ、右上の歯に深い虫歯が見つかりました。
レントゲン撮影で詳しく検査した結果、虫歯が神経まで進行しており、歯根の先に黒い影が確認できます。
この影は慢性歯根膜炎と呼ばれ、虫歯による感染が神経にまで及び、歯根の先にある歯根膜という組織に炎症が起きている状態です。
このまま放置すると、炎症が広がって歯を支える骨が溶けるおそれがあるため、早急に治療をする必要があると診断しました。
行ったご提案・治療内容
患者様は、歯をできるだけ残したいと希望されています。
そのため、感染した神経を取り除いて歯根内部を清掃・消毒する「根管治療」を行い、歯全体を覆う被せ物を装着する方法を提案し、同意いただきました。
メリット
・抜歯せずに治療ができる
・痛みや違和感の原因になっている感染源を除去できる
デメリット
・複数回の通院が必要になる
・治療後の歯がややもろくなるため、定期的なメンテナンスが大切
まず、根管治療で神経を慎重に取り除き、根管内の清掃と消毒を行います。
その後、細菌の侵入を防止するために、歯や体になじみやすいセメント材料「MTA」を用いて、根の内部を密封しました。
次に、歯を保護するための被せ物「ジルコニアクラウン」を装着します。
ジルコニアは強度が高く、自然な白さが特徴です。
最後に、痛みや違和感がないか、問題なく噛むことができるかを確認し、治療を終了しています。
この治療のリスクについて
・まれに根管治療後も再治療、外科手術、抜歯などの処置が必要となる場合があります
・治療中まれに器具の破折、被せ物や詰め物など修復物の損傷、歯の破折が起こる場合があります
・治療中や治療後に不快症状が出たり、治療後に痛みや腫れなどが生じたりする可能性があります
・硬い素材の場合、他の天然歯を傷つけることがあります
- 年齢・性別 60代女性
- 診療種別 自由診療
- 治療期間の目安 約1ヶ月
- 治療回数の目安 -
-
治療費総額の目安
約260,000円
(根管治療、ジルコニアクラウン)
※掲載された情報は治療の効果を保証するものではありません。
ご利用により万一何らかの損害が発生したとしても、当サイトは一切責任を負いかねますのでご了承ください。
画像をクリックすると拡大・詳細コメントを確認いただけます
-
海谷歯科医院TEL:0352611515 -
海谷歯科医院TEL:0352611515
-
海谷歯科医院TEL:0352611515
-
海谷歯科医院TEL:0352611515 -
海谷歯科医院TEL:0352611515
-
海谷歯科医院TEL:0352611515 -
海谷歯科医院TEL:0352611515 -
海谷歯科医院TEL:0352611515
-
海谷歯科医院TEL:0352611515
問題を報告する
掲載内容に問題がありますか?
こちらのフォームではココシカ!利用規約に違反している可能性のある情報や、
その他の問題がある内容について直接報告することができます。
この機能は、詐欺、スパム、虚偽、不正確であると思われる情報を報告するためのものです。
報告すべき情報の例
- ・差別的または不快感を与えるもの: 性別、年齢、人種、宗教、身体的特徴などに基づく差別が見られるものはこちらに該当します。過度な出血など過激な表現など不適切な内容が含まれる場合も対象です。
- ・虚偽の情報: 何らかの根拠により虚偽が認められる情報が対象です。
- ・不正確な情報: 治療名やリスク、金額、医院情報などに不正確な内容が含まれるものです。多くの場合、これらの問題はココシカ!の掲載基準違反ではありませんが、情報の更新が求められる場合があります。
- ・広告行為: 本サービスの趣旨に反する投稿です。サービス広告、企業やアプリの宣伝、その他問題があると確認された投稿が該当します。
- ・その他: これらのカテゴリーに当てはまらない問題については、[その他] を選択し詳しい情報をご提供ください。
ココシカ!の情報、技術的な問題、医院ページのレビュー、掲載情報に関する問い合わせ、検索結果などに関する一般的な質問、これらの問題に関するお問い合わせは、サポートチームまでご連絡下さい。
| 診療科目 | 一般歯科、矯正歯科、インプラント、詰め物・被せ物、歯科口腔外科、精密根管治療、歯周病治療、審美治療 |
|---|---|
| 自由診療 | 虫歯治療、精密根管治療、ワイヤー矯正、セラミック・ジルコニア、ブリッジ |
| 住所 | 〒162-0841 東京都新宿区払方町15番地 小暮ビル2F |
| アクセス | ●JR総武線市ヶ谷駅より 徒歩8分 ●地下鉄有楽町線市ヶ谷駅より 徒歩4分 ●大江戸線牛込神楽坂駅より 徒歩4分 ●JR総武線飯田橋駅より 徒歩14分 |
| 診療時間 | 10:00~13:00 14:30~19:30 |
| 休診日 | 土曜 日曜 祝日 |
| 代表者 | 海谷 幸利 |
※記載の内容は最新の情報と異なる場合がございます。正確な情報は歯科医院にご確認ください。
この歯科医院の他の症例
NEW CONTENT 新着コンテンツ
-
「第22回 一般社団法人 日本外傷歯学会・総会・学術大会」開幕、リハビリにフォーカスして歯の損失リスク軽減を目指す
2022.8.8 一般歯科
-
クラウド型歯科用レセコン「POWER5G」が口腔内シミュレーションサービス「DMFTシミュレーター」と提携
2022.6.28 予防歯科
-
豪発のブランド「ビーボックス」から歯固め発売、乳幼児でも持ちやすい設計に
2022.6.24 小児歯科
-
韓国発ライフスタイルケアブランド「ソルトレイン」日本初上陸、伊勢丹新宿でポップアップも
2022.6.22 その他
-
デントウェーブ運営の歯科衛生士向けコミュニティ「歯科衛生士のcoe」無料オンラインイベント開催
2022.3.2 その他
-
竹素材のオーガニック歯ブラシ、日本発サステナブランド「ミヨオーガニック」展開
2022.2.17 予防歯科
