- 詰め物・被せもの
- セラミック・ジルコニア
- インプラント
- 抜歯
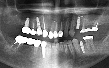
30代女性 歯根が割れた左上下奥歯を抜きインプラント治療で噛み合わせを回復した症例
ご相談内容
「歯が取れてしまった。また、下の歯は噛むと痛みがある」と、定期健診で通院中の患者様よりご相談いただきました。
カウンセリング・診断結果
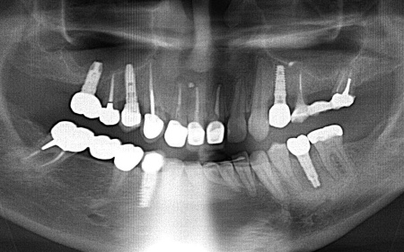
拝見したところ、左上奥歯(第1小臼歯)は歯の上の部分である歯冠が折れ、歯根のみ残っている状態でした。
また、左下奥歯(第2小臼歯)には被せ物が装着されています。
レントゲン撮影をして痛みの原因を詳しく検査したところ、左上下奥歯の歯根が割れており、その影響で痛みが出ていると考えられました。
歯根が割れた歯は温存が難しく、このまま放置すると炎症が広がって周囲の歯に悪影響を及ぼすおそれがあるため、抜歯せざるを得ない場合があります。
しかし、レントゲン検査だけでは確実に歯根が割れているかどうかを確定することができません。
以上のことから、温存が難しいと判明している左上奥歯は抜き、左下奥歯は被せ物を取り外して内部を確認したうえで、適切な処置を行うことが望ましいと診断しました。
行ったご提案・治療内容
診断結果をお伝えし、患者様の了承を得たうえで左下奥歯の被せ物を外したところ、レントゲン検査での診断どおり、歯根が割れていることが確認できました。
そのため、患者様には左上下奥歯とも温存が難しい旨を説明し、抜歯に同意いただきました。
患者様は、以前当院で人工歯根を顎の骨に埋入して歯を装着するインプラント治療を受けていたため、今回も左上下奥歯ともインプラント治療を希望されています。
メリット
・抜歯部位のみを治療できるため、周囲の歯に負担をかけずに治療を進められる
・自然な見た目と噛み心地が期待できる
デメリット
・自費診療なので費用がかかる
・治療期間が比較的長い
・外科処置を伴うため、身体的な負担がある
改めてメリットとデメリットをしっかりお伝えしたところ、インプラント治療に対する不安はないとのことで、治療に同意いただきました。
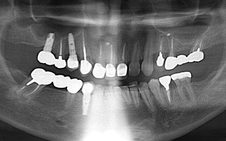
まず、左上下奥歯を慎重に抜きます。
続いてインプラント手術を実施し、インプラントを正しい位置と角度で顎の骨に埋め込みました。
インプラント手術後は経過観察を行い、インプラントが顎の骨に結合したことを確認したら、インプラント上部に取り付ける人工歯を作製するために精密な型取りを実施します。
後日、完成した人工歯をインプラントに装着し、使用感や見た目に問題がないことを確認して、治療を終了しました。
この治療のリスクについて
・外科手術のため、術後に痛みや腫れ、違和感を伴います
・メンテナンスを怠ったり、喫煙したりすると、お口の中に大きな悪影響を及ぼし、インプラント周囲炎等にかかる可能性があります
・糖尿病、肝硬変、心臓病などの持病をお持ちの場合、インプラント治療ができない可能性があります
・高血圧、貧血・不整脈などの持病をお持ちの場合、インプラント治療後に治癒不全を招く可能性があります
・装着に際し、天然歯を削る場合があります
・硬い素材の場合、他の天然歯を傷つけることがあります
- 年齢・性別 30代女性
- 診療種別 自由診療
- 治療期間の目安 約4ヶ月
- 治療回数の目安 -
- 治療費総額の目安 約840,000円
※掲載された情報は治療の効果を保証するものではありません。
ご利用により万一何らかの損害が発生したとしても、当サイトは一切責任を負いかねますのでご了承ください。
画像をクリックすると拡大・詳細コメントを確認いただけます
-
海谷歯科医院TEL:0352611515
-
海谷歯科医院TEL:0352611515
-
海谷歯科医院TEL:0352611515
-
海谷歯科医院TEL:0352611515
-
海谷歯科医院TEL:0352611515
-
海谷歯科医院TEL:0352611515
-
海谷歯科医院TEL:0352611515
-
海谷歯科医院TEL:0352611515
-
海谷歯科医院TEL:0352611515
-
海谷歯科医院TEL:0352611515
-
海谷歯科医院TEL:0352611515
-
海谷歯科医院TEL:0352611515
-
海谷歯科医院TEL:0352611515
-
海谷歯科医院TEL:0352611515
-
海谷歯科医院TEL:0352611515
-
海谷歯科医院TEL:0352611515 -
海谷歯科医院TEL:0352611515
-
海谷歯科医院TEL:0352611515 -
海谷歯科医院TEL:0352611515 -
海谷歯科医院TEL:0352611515
-
海谷歯科医院TEL:0352611515
問題を報告する
掲載内容に問題がありますか?
こちらのフォームではココシカ!利用規約に違反している可能性のある情報や、
その他の問題がある内容について直接報告することができます。
この機能は、詐欺、スパム、虚偽、不正確であると思われる情報を報告するためのものです。
報告すべき情報の例
- ・差別的または不快感を与えるもの: 性別、年齢、人種、宗教、身体的特徴などに基づく差別が見られるものはこちらに該当します。過度な出血など過激な表現など不適切な内容が含まれる場合も対象です。
- ・虚偽の情報: 何らかの根拠により虚偽が認められる情報が対象です。
- ・不正確な情報: 治療名やリスク、金額、医院情報などに不正確な内容が含まれるものです。多くの場合、これらの問題はココシカ!の掲載基準違反ではありませんが、情報の更新が求められる場合があります。
- ・広告行為: 本サービスの趣旨に反する投稿です。サービス広告、企業やアプリの宣伝、その他問題があると確認された投稿が該当します。
- ・その他: これらのカテゴリーに当てはまらない問題については、[その他] を選択し詳しい情報をご提供ください。
ココシカ!の情報、技術的な問題、医院ページのレビュー、掲載情報に関する問い合わせ、検索結果などに関する一般的な質問、これらの問題に関するお問い合わせは、サポートチームまでご連絡下さい。
| 診療科目 | 一般歯科、矯正歯科、インプラント、詰め物・被せ物、歯科口腔外科、精密根管治療、歯周病治療、審美治療 |
|---|---|
| 自由診療 | 虫歯治療、精密根管治療、ワイヤー矯正、セラミック・ジルコニア、ブリッジ |
| 住所 | 〒162-0841 東京都新宿区払方町15番地 小暮ビル2F |
| アクセス | ●JR総武線市ヶ谷駅より 徒歩8分 ●地下鉄有楽町線市ヶ谷駅より 徒歩4分 ●大江戸線牛込神楽坂駅より 徒歩4分 ●JR総武線飯田橋駅より 徒歩14分 |
| 診療時間 | 10:00~13:00 14:30~19:30 |
| 休診日 | 土曜 日曜 祝日 |
| 代表者 | 海谷 幸利 |
※記載の内容は最新の情報と異なる場合がございます。正確な情報は歯科医院にご確認ください。
この歯科医院の他の症例
NEW CONTENT 新着コンテンツ
-
「第22回 一般社団法人 日本外傷歯学会・総会・学術大会」開幕、リハビリにフォーカスして歯の損失リスク軽減を目指す
2022.8.8 一般歯科
-
クラウド型歯科用レセコン「POWER5G」が口腔内シミュレーションサービス「DMFTシミュレーター」と提携
2022.6.28 予防歯科
-
豪発のブランド「ビーボックス」から歯固め発売、乳幼児でも持ちやすい設計に
2022.6.24 小児歯科
-
韓国発ライフスタイルケアブランド「ソルトレイン」日本初上陸、伊勢丹新宿でポップアップも
2022.6.22 その他
-
デントウェーブ運営の歯科衛生士向けコミュニティ「歯科衛生士のcoe」無料オンラインイベント開催
2022.3.2 その他
-
竹素材のオーガニック歯ブラシ、日本発サステナブランド「ミヨオーガニック」展開
2022.2.17 予防歯科
