- 根管治療
- 詰め物・被せもの
- セラミック・ジルコニア
50代女性 被せ物が外れた歯にマイクロスコープを用いた精密根管治療を行いジルコニアクラウンで修復した症例


ご相談内容
「前歯の被せ物が外れたため他院で治療したが、すぐにまた外れてしまったのでセカンドオピニオンとして受診した」とご相談いただきました。
カウンセリング・診断結果
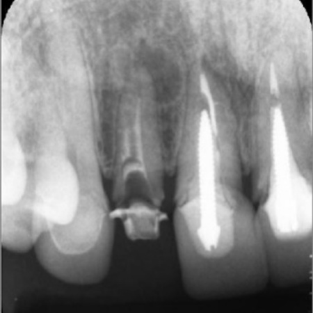
レントゲン撮影をして詳しく拝見したところ、右上前歯は神経や血管が通る根管に清掃と消毒を行う「根管治療」が施されていましたが、本来根管がある部位とは違う場所を削り、誤って穴を開けてしまう「パーフォレーション」が起きていました。
このパーフォレーションが原因で、間違った方向に違う根管を作ってしまっている状態です。
さらに歯の内部に細菌が侵入して炎症を起こし、歯根の先に膿が溜まる根尖病巣(こんせんびょうそう)も認められます。
このまま放置すると、歯根の周辺組織にまで感染が広がって歯を支える骨が溶け、将来的に歯を失うリスクがあるため、早急に治療をする必要があると診断しました。
行ったご提案・治療内容
歯の内部に侵入した細菌を除去して新しい被せ物を作製するため、以下の治療方法を提案し、同意いただきました。
①歯科用顕微鏡であるマイクロスコープを用いて、徹底的な感染除去が可能な精密根管治療を行う
精密根管治療は自費診療なので、比較的費用がかかる点がデメリットです。
その反面、マイクロスコープなら肉眼では見にくい部分まで正確に確認しながら処置ができるため、保険診療の根管治療と比べて精度の高い治療が可能であり、再び炎症を起こすリスクを軽減することもできます。
②天然歯のような色味を再現できる被せ物、ジルコニアクラウンを装着する
被せ物の素材に使用するジルコニアは人工ダイヤモンドと呼ばれるほど硬く、噛み合わせの調整を適切に行わないと噛み合う歯を傷つけるおそれがあります。
一方で、審美性が高い、経年劣化しにくい、虫歯の再発リスクが低い点が大きなメリットです。
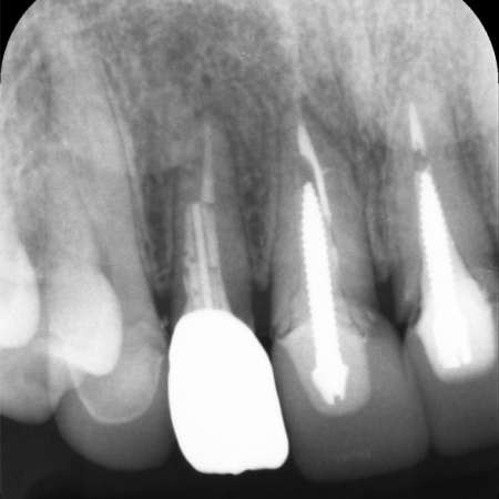
まず、装着されていた古い被せ物を外し、唾液に含まれる細菌や血が根管内に入るのを防ぐため、患部周辺をラバーダム(ゴム製のシート)で覆って治療部位だけを露出させます。
次に、マイクロスコープで確認しながら感染した部位を丁寧に除去し、根管内が清潔になったことを確認したのち、再び細菌が入り込まないようしっかりと薬を詰めました。
レントゲン撮影で根尖病巣の治癒を確認後、最終的な被せ物を作製するために歯の形を整えてから型取りを行います。
当院は歯科技工士と連携しているので、精度が高い被せ物を作製することが可能です。
後日、完成したジルコニアクラウンを装着し、噛み合わせに問題がないかをしっかりと確認して、治療を終了しました。
この治療のリスクについて
・まれに根管治療後も再治療、外科手術、抜歯などの処置が必要となる場合があります
・治療中まれに器具の破折、被せ物や詰め物など修復物の損傷、歯の破折が起こる場合があります
・治療中や治療後に不快症状が出たり、治療後に痛みや腫れなどが生じたりする可能性があります
・装着に際し、天然歯を削る場合があります
・硬い素材の場合、他の天然歯を傷つけることがあります
・一部の治療を除き、自費診療(保険適用外治療)です
- 年齢・性別 50代女性
- 診療種別 自由診療
- 治療期間の目安 6ヶ月
- 治療回数の目安 -
- 治療費総額の目安 200,000円
※掲載された情報は治療の効果を保証するものではありません。
ご利用により万一何らかの損害が発生したとしても、当サイトは一切責任を負いかねますのでご了承ください。
画像をクリックすると拡大・詳細コメントを確認いただけます


問題を報告する
掲載内容に問題がありますか?
こちらのフォームではココシカ!利用規約に違反している可能性のある情報や、
その他の問題がある内容について直接報告することができます。
この機能は、詐欺、スパム、虚偽、不正確であると思われる情報を報告するためのものです。
報告すべき情報の例
- ・差別的または不快感を与えるもの: 性別、年齢、人種、宗教、身体的特徴などに基づく差別が見られるものはこちらに該当します。過度な出血など過激な表現など不適切な内容が含まれる場合も対象です。
- ・虚偽の情報: 何らかの根拠により虚偽が認められる情報が対象です。
- ・不正確な情報: 治療名やリスク、金額、医院情報などに不正確な内容が含まれるものです。多くの場合、これらの問題はココシカ!の掲載基準違反ではありませんが、情報の更新が求められる場合があります。
- ・広告行為: 本サービスの趣旨に反する投稿です。サービス広告、企業やアプリの宣伝、その他問題があると確認された投稿が該当します。
- ・その他: これらのカテゴリーに当てはまらない問題については、[その他] を選択し詳しい情報をご提供ください。
ココシカ!の情報、技術的な問題、医院ページのレビュー、掲載情報に関する問い合わせ、検索結果などに関する一般的な質問、これらの問題に関するお問い合わせは、サポートチームまでご連絡下さい。
診療科目 | 一般歯科、矯正歯科、小児矯正、ホワイトニング、インプラント、詰め物・被せ物、根管治療、顎関節症治療 |
---|---|
自由診療 | ワイヤー矯正、マウスピース矯正、インプラント、根管治療、セラミック・ジルコニア、ブリッジ、顎関節症 |
住所 | 〒235-0023 神奈川県横浜市磯子区森1-11-4 パシフィック磯子マンション101 |
アクセス | JR根岸線 磯子駅 西口より徒歩3分 |
診療時間 | 9:00~13:00 14:30~18:00 |
休診日 | 月曜 日曜 祝日 |
代表者 | 武内 清隆 |
※記載の内容は最新の情報と異なる場合がございます。正確な情報は歯科医院にご確認ください。
この歯科医院の他の症例
NEW CONTENT 新着コンテンツ
-
「第22回 一般社団法人 日本外傷歯学会・総会・学術大会」開幕、リハビリにフォーカスして歯の損失リスク軽減を目指す
2022.8.8 一般歯科
-
クラウド型歯科用レセコン「POWER5G」が口腔内シミュレーションサービス「DMFTシミュレーター」と提携
2022.6.28 予防歯科
-
豪発のブランド「ビーボックス」から歯固め発売、乳幼児でも持ちやすい設計に
2022.6.24 小児歯科
-
韓国発ライフスタイルケアブランド「ソルトレイン」日本初上陸、伊勢丹新宿でポップアップも
2022.6.22 その他
-
デントウェーブ運営の歯科衛生士向けコミュニティ「歯科衛生士のcoe」無料オンラインイベント開催
2022.3.2 その他
-
竹素材のオーガニック歯ブラシ、日本発サステナブランド「ミヨオーガニック」展開
2022.2.17 予防歯科