- 部分入れ歯
80代女性 部分入れ歯の金属バネを修理して再び使えるようにした症例
ご相談内容
「入れ歯の金属バネが折れて、ちゃんと使えなくなってしまった」とご相談いただきました。
カウンセリング・診断結果
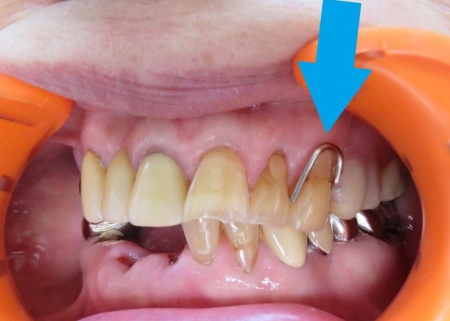
拝見したところ、左上前歯にかかっていた金属バネ(クラスプ)が折れており、入れ歯をしっかりと固定することができなくなっていました。
クラスプが折れたままでは、入れ歯の安定性が低下して外れやすくなる、残っている歯や歯茎に負担がかかる、食べ物を噛んだり会話をしたりすることが難しくなるなどのリスクがあります。
以上のことから、クラスプを修理する必要があると診断しました。
行ったご提案・治療内容
今回はクラスプの破損以外に大きな問題がなかったため、入れ歯全体を新しく作り替えるのではなく、クラスプのみ修理する方法を提案しました。
この方法なら保険診療なので費用を抑えられるうえ、修理も約1時間で完了します。
一方で、今後入れ歯自体の劣化や適合の変化がある場合には調整や作り替えが必要になること、新しく作製したクラスプも長期の使用や強い力が加わるなどで変形や破損が生じるリスクがあることも併せてお伝えしています。
これらのメリットとデメリットをご理解いただいたうえで、クラスプの修理に同意いただきました。
まず、現在の入れ歯と歯の位置関係を正確に再現するため、入れ歯を装着した状態で型取りを行います。
出来上がった型をもとに、口腔内の状態を再現した模型を作製しました。
続いて、模型上の歯に合わせ、金属ワイヤーを1本ずつ手で曲げながら形を整えて新しいクラスプを製作します。
その後、完成したクラスプを既存の入れ歯に組み込み、入れ歯がしっかり歯にかかるよう慎重に調整しました。
最後に入れ歯を装着し、安定して使用できるか、痛みや違和感がないか、見た目や噛み合わせに問題がないかを確認し、治療を終了しています。
この治療のリスクについて
・着脱式のため、食後の清掃が必要です
・最初のうちは異物感があり、慣れるまで時間がかかる場合があります
・慣れるまでは、入れ歯の裏側の粘膜に傷ができる場合があります
- 年齢・性別 80代女性
- 診療種別 保険診療
- 治療期間の目安 -
- 治療回数の目安 1回
-
治療費総額の目安
約1,000円
(保険診療1割負担)
※掲載された情報は治療の効果を保証するものではありません。
ご利用により万一何らかの損害が発生したとしても、当サイトは一切責任を負いかねますのでご了承ください。
画像をクリックすると拡大・詳細コメントを確認いただけます
-
いとう歯科医院TEL:0333335389
-
いとう歯科医院TEL:0333335389
-
いとう歯科医院TEL:0333335389
-
いとう歯科医院TEL:0333335389
-
いとう歯科医院TEL:0333335389
-
いとう歯科医院TEL:0333335389
-
いとう歯科医院TEL:0333335389 -
いとう歯科医院TEL:0333335389
-
いとう歯科医院TEL:0333335389
問題を報告する
掲載内容に問題がありますか?
こちらのフォームではココシカ!利用規約に違反している可能性のある情報や、
その他の問題がある内容について直接報告することができます。
この機能は、詐欺、スパム、虚偽、不正確であると思われる情報を報告するためのものです。
報告すべき情報の例
- ・差別的または不快感を与えるもの: 性別、年齢、人種、宗教、身体的特徴などに基づく差別が見られるものはこちらに該当します。過度な出血など過激な表現など不適切な内容が含まれる場合も対象です。
- ・虚偽の情報: 何らかの根拠により虚偽が認められる情報が対象です。
- ・不正確な情報: 治療名やリスク、金額、医院情報などに不正確な内容が含まれるものです。多くの場合、これらの問題はココシカ!の掲載基準違反ではありませんが、情報の更新が求められる場合があります。
- ・広告行為: 本サービスの趣旨に反する投稿です。サービス広告、企業やアプリの宣伝、その他問題があると確認された投稿が該当します。
- ・その他: これらのカテゴリーに当てはまらない問題については、[その他] を選択し詳しい情報をご提供ください。
ココシカ!の情報、技術的な問題、医院ページのレビュー、掲載情報に関する問い合わせ、検索結果などに関する一般的な質問、これらの問題に関するお問い合わせは、サポートチームまでご連絡下さい。
| 診療科目 | 一般歯科 |
|---|---|
| 住所 | 〒167-0054 東京都杉並区松庵3-6-3 |
| アクセス | JR中央線 「西荻窪」駅南口から徒歩7分 ※駐車場1台分完備 |
| 診療時間 | 08:30~11:00 |
| 休診日 | 木曜、日曜、祝祭日 |
| 代表者 | 伊藤 高史 |
※記載の内容は最新の情報と異なる場合がございます。正確な情報は歯科医院にご確認ください。
この歯科医院の他の症例
NEW CONTENT 新着コンテンツ
-
「第22回 一般社団法人 日本外傷歯学会・総会・学術大会」開幕、リハビリにフォーカスして歯の損失リスク軽減を目指す
2022.8.8 一般歯科
-
クラウド型歯科用レセコン「POWER5G」が口腔内シミュレーションサービス「DMFTシミュレーター」と提携
2022.6.28 予防歯科
-
豪発のブランド「ビーボックス」から歯固め発売、乳幼児でも持ちやすい設計に
2022.6.24 小児歯科
-
韓国発ライフスタイルケアブランド「ソルトレイン」日本初上陸、伊勢丹新宿でポップアップも
2022.6.22 その他
-
デントウェーブ運営の歯科衛生士向けコミュニティ「歯科衛生士のcoe」無料オンラインイベント開催
2022.3.2 その他
-
竹素材のオーガニック歯ブラシ、日本発サステナブランド「ミヨオーガニック」展開
2022.2.17 予防歯科
