- 部分入れ歯
70代男性 歯が折れて使えなくなった入れ歯を修理して再び使えるようにした症例
ご相談内容
「歯が折れて、入れ歯がうまく使えなくなってしまった」とご相談いただきました。
カウンセリング・診断結果
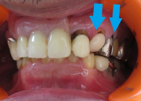
拝見したところ、左上の歯が折れて歯根だけが残っている状態でした。
これが原因で、入れ歯を固定する金属のバネ「クラスプ」をかける歯の土台が失われ、入れ歯が安定しなくなっています。
このまま放置すると入れ歯が使用できないだけでなく、噛み合わせのバランスが崩れたり、ほかの歯に過度な負担がかかったりするおそれがあります。
以上のことから、入れ歯の修理を行う必要があると診断しました。
行ったご提案・治療内容
患者さんは1年前にクラスプの修理をされており、歯が折れるまでは問題なく使用していました。
そのため、入れ歯の作り直しではなく、以下2つを併用した修理の提案を行い、同意いただきました。
①増歯:入れ歯にプラスチック製の人工歯を加え、折れた歯を補う処置
②新たなクラスプの製作:入れ歯の安定を図るため、左上の前歯から4番目の歯にかけるバネを追加する
この方法では既存の入れ歯を修理するため、今後も使い慣れた入れ歯を使用し続けることができます。また、どちらの治療も保険適用である点もメリットです。
ただ、長期的な使用状況によっては、再度調整や修理が必要になることがあります。
通常、入れ歯の修理は歯科技工所へ依頼するため、入れ歯をお預かりしてから1週間ほどかかります。しかし、当院では歯科医師がその場で修理するため、1時間程度で入れ歯をお渡しすることが可能です。
まず、現在使用している入れ歯をお口に装着した状態で、歯や顎の形を型取り材で写し取る印象採得を行います。
その後、出来上がった型をもとに石こう模型を製作しました。
次に、模型上で人工歯を追加する処置を行います。
折れた部分に合う人工歯を慎重に選び、入れ歯に丁寧に取り付けました。
続いて、左上の前から4番目の歯に合わせて金属ワイヤーを成形し、新しいクラスプを作製します。
歯の形にぴったり沿うよう細かく調整し、入れ歯をしっかり支えられる強さに仕上げました。
最後に入れ歯を装着し、痛みや違和感がないか、見た目や噛み合わせに問題がないかを確認し、治療を終了しています。
この治療のリスクについて
・着脱式のため、食後の清掃が必要です
・最初のうちは異物感があり、慣れるまで時間がかかる場合があります
・慣れるまでは、入れ歯の裏側の粘膜に傷ができる場合があります
- 年齢・性別 70代男性
- 診療種別 保険診療
- 治療期間の目安 -
- 治療回数の目安 1回
-
治療費総額の目安
約1,500円
(保険診療1割負担)
※掲載された情報は治療の効果を保証するものではありません。
ご利用により万一何らかの損害が発生したとしても、当サイトは一切責任を負いかねますのでご了承ください。
画像をクリックすると拡大・詳細コメントを確認いただけます
-
いとう歯科医院TEL:0333335389
-
いとう歯科医院TEL:0333335389
-
いとう歯科医院TEL:0333335389
-
いとう歯科医院TEL:0333335389
-
いとう歯科医院TEL:0333335389
-
いとう歯科医院TEL:0333335389
-
いとう歯科医院TEL:0333335389 -
いとう歯科医院TEL:0333335389
-
いとう歯科医院TEL:0333335389
-
いとう歯科医院TEL:0333335389 -
いとう歯科医院TEL:0333335389 -
いとう歯科医院TEL:0333335389
画像をクリックすると拡大・詳細コメントを確認いただけます
1年前にクラスプの修理をした際の画像です。
問題を報告する
掲載内容に問題がありますか?
こちらのフォームではココシカ!利用規約に違反している可能性のある情報や、
その他の問題がある内容について直接報告することができます。
この機能は、詐欺、スパム、虚偽、不正確であると思われる情報を報告するためのものです。
報告すべき情報の例
- ・差別的または不快感を与えるもの: 性別、年齢、人種、宗教、身体的特徴などに基づく差別が見られるものはこちらに該当します。過度な出血など過激な表現など不適切な内容が含まれる場合も対象です。
- ・虚偽の情報: 何らかの根拠により虚偽が認められる情報が対象です。
- ・不正確な情報: 治療名やリスク、金額、医院情報などに不正確な内容が含まれるものです。多くの場合、これらの問題はココシカ!の掲載基準違反ではありませんが、情報の更新が求められる場合があります。
- ・広告行為: 本サービスの趣旨に反する投稿です。サービス広告、企業やアプリの宣伝、その他問題があると確認された投稿が該当します。
- ・その他: これらのカテゴリーに当てはまらない問題については、[その他] を選択し詳しい情報をご提供ください。
ココシカ!の情報、技術的な問題、医院ページのレビュー、掲載情報に関する問い合わせ、検索結果などに関する一般的な質問、これらの問題に関するお問い合わせは、サポートチームまでご連絡下さい。
| 診療科目 | 一般歯科 |
|---|---|
| 住所 | 〒167-0054 東京都杉並区松庵3-6-3 |
| アクセス | JR中央線 「西荻窪」駅南口から徒歩7分 ※駐車場1台分完備 |
| 診療時間 | 08:30~11:00 |
| 休診日 | 木曜、日曜、祝祭日 |
| 代表者 | 伊藤 高史 |
※記載の内容は最新の情報と異なる場合がございます。正確な情報は歯科医院にご確認ください。
この歯科医院の他の症例
NEW CONTENT 新着コンテンツ
-
「第22回 一般社団法人 日本外傷歯学会・総会・学術大会」開幕、リハビリにフォーカスして歯の損失リスク軽減を目指す
2022.8.8 一般歯科
-
クラウド型歯科用レセコン「POWER5G」が口腔内シミュレーションサービス「DMFTシミュレーター」と提携
2022.6.28 予防歯科
-
豪発のブランド「ビーボックス」から歯固め発売、乳幼児でも持ちやすい設計に
2022.6.24 小児歯科
-
韓国発ライフスタイルケアブランド「ソルトレイン」日本初上陸、伊勢丹新宿でポップアップも
2022.6.22 その他
-
デントウェーブ運営の歯科衛生士向けコミュニティ「歯科衛生士のcoe」無料オンラインイベント開催
2022.3.2 その他
-
竹素材のオーガニック歯ブラシ、日本発サステナブランド「ミヨオーガニック」展開
2022.2.17 予防歯科
