- 総入れ歯
70代女性 ヒビが入った入れ歯に補強線を埋め込む修理をした症例
ご相談内容
「ナッツを食べたら、入れ歯にヒビが入ってしまった」とご相談いただきました。
お持ちいただいた入れ歯は、患者さんが10年以上使用されているものです。
カウンセリング・診断結果
拝見したところ、入れ歯にヒビが入っていることが確認できました。
これまでは不自由なく使用していたとのことで、詳しく検査したところ、歯茎へのなじみや噛み合わせに大きな問題は見られません。
この入れ歯は患者さんが長年使用されており、装着感や使い心地に慣れているとのことでしたが、ヒビが入った状態を放置すると、使用中にヒビが広がったり突然割れて使用できなくなったりするおそれがあります。
以上のことから、新しく作り直すのではなく、既存の入れ歯を修理する必要があると診断しました。
行ったご提案・治療内容
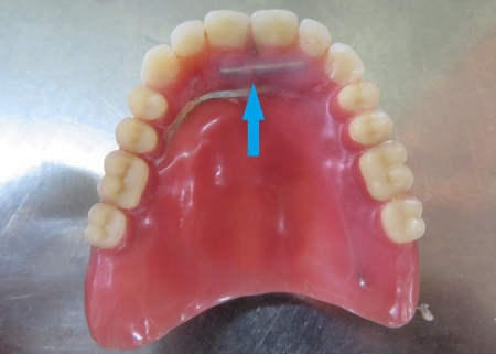
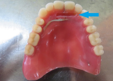
入れ歯の修理方法として、ヒビが入った部分に金属のワイヤー「補強線」を埋め込む方法を提案し、同意いただきました。
補強線を埋め込むことでヒビが入った部分の強度を高め、再び割れにくくすることができます。
また、午前中に入れ歯をお預かりして修理すれば午後にはお渡しできることと、保険診療で対応可能であることもお伝えしました。
まず、修理作業中に入れ歯が変形したり破損したりしないよう、模型を作る際に使用する材料「石膏」で入れ歯をしっかりと固定します。
次に、ヒビの向きに対して横切るような方向に補強線を配置しました。
これにより、噛む力が加わった際にヒビが広がりにくくなる効果が期待できます。
その後、歯科用プラスチック「レジン」を用いて補強線を丁寧に埋め込み、強度と形態のバランスに配慮しながら慎重に修理を進めました。
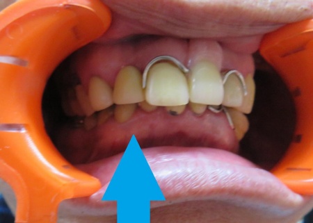
入れ歯の修理が完了したら装着していただき、見た目や噛み合わせに問題がないことを確認します。
最後に、今後繰り返し破損が起こる場合は、噛み合わせや歯茎との適合状態を改めて詳しく検査する必要があることをお伝えし、治療を終了しました。
この治療のリスクについて
・着脱式のため、食後の清掃が必要です
・最初のうちは異物感があり、慣れるまで時間がかかる場合があります
・慣れるまでは、入れ歯の裏側の粘膜に傷ができる場合があります
- 年齢・性別 70代女性
- 診療種別 保険診療
- 治療期間の目安 -
- 治療回数の目安 1回
-
治療費総額の目安
約2,000円
(保険診療2割負担)
※掲載された情報は治療の効果を保証するものではありません。
ご利用により万一何らかの損害が発生したとしても、当サイトは一切責任を負いかねますのでご了承ください。
画像をクリックすると拡大・詳細コメントを確認いただけます
-
いとう歯科医院TEL:0333335389
-
いとう歯科医院TEL:0333335389
-
いとう歯科医院TEL:0333335389
-
いとう歯科医院TEL:0333335389
-
いとう歯科医院TEL:0333335389
-
いとう歯科医院TEL:0333335389
-
いとう歯科医院TEL:0333335389 -
いとう歯科医院TEL:0333335389
-
いとう歯科医院TEL:0333335389
-
いとう歯科医院TEL:0333335389 -
いとう歯科医院TEL:0333335389
-
いとう歯科医院TEL:0333335389
-
いとう歯科医院TEL:0333335389 -
いとう歯科医院TEL:0333335389
-
いとう歯科医院TEL:0333335389 -
いとう歯科医院TEL:0333335389 -
いとう歯科医院TEL:0333335389
-
いとう歯科医院TEL:0333335389
問題を報告する
掲載内容に問題がありますか?
こちらのフォームではココシカ!利用規約に違反している可能性のある情報や、
その他の問題がある内容について直接報告することができます。
この機能は、詐欺、スパム、虚偽、不正確であると思われる情報を報告するためのものです。
報告すべき情報の例
- ・差別的または不快感を与えるもの: 性別、年齢、人種、宗教、身体的特徴などに基づく差別が見られるものはこちらに該当します。過度な出血など過激な表現など不適切な内容が含まれる場合も対象です。
- ・虚偽の情報: 何らかの根拠により虚偽が認められる情報が対象です。
- ・不正確な情報: 治療名やリスク、金額、医院情報などに不正確な内容が含まれるものです。多くの場合、これらの問題はココシカ!の掲載基準違反ではありませんが、情報の更新が求められる場合があります。
- ・広告行為: 本サービスの趣旨に反する投稿です。サービス広告、企業やアプリの宣伝、その他問題があると確認された投稿が該当します。
- ・その他: これらのカテゴリーに当てはまらない問題については、[その他] を選択し詳しい情報をご提供ください。
ココシカ!の情報、技術的な問題、医院ページのレビュー、掲載情報に関する問い合わせ、検索結果などに関する一般的な質問、これらの問題に関するお問い合わせは、サポートチームまでご連絡下さい。
| 診療科目 | 一般歯科 |
|---|---|
| 住所 | 〒167-0054 東京都杉並区松庵3-6-3 |
| アクセス | JR中央線 「西荻窪」駅南口から徒歩7分 ※駐車場1台分完備 |
| 診療時間 | 08:30~11:00 |
| 休診日 | 木曜、日曜、祝祭日 |
| 代表者 | 伊藤 高史 |
※記載の内容は最新の情報と異なる場合がございます。正確な情報は歯科医院にご確認ください。
この歯科医院の他の症例
NEW CONTENT 新着コンテンツ
-
「第22回 一般社団法人 日本外傷歯学会・総会・学術大会」開幕、リハビリにフォーカスして歯の損失リスク軽減を目指す
2022.8.8 一般歯科
-
クラウド型歯科用レセコン「POWER5G」が口腔内シミュレーションサービス「DMFTシミュレーター」と提携
2022.6.28 予防歯科
-
豪発のブランド「ビーボックス」から歯固め発売、乳幼児でも持ちやすい設計に
2022.6.24 小児歯科
-
韓国発ライフスタイルケアブランド「ソルトレイン」日本初上陸、伊勢丹新宿でポップアップも
2022.6.22 その他
-
デントウェーブ運営の歯科衛生士向けコミュニティ「歯科衛生士のcoe」無料オンラインイベント開催
2022.3.2 その他
-
竹素材のオーガニック歯ブラシ、日本発サステナブランド「ミヨオーガニック」展開
2022.2.17 予防歯科
