- 総入れ歯
80代男性 経年劣化ですり減った総入れ歯の噛み合わせを調整した症例
ご相談内容
「前回の受診から3ヶ月ほど経ったので、入れ歯の調整をしたい」と来院いただきました。
介助者の方と一緒に来院される患者さんで、当院で製作した上下の総入れ歯を10年以上、定期的に調整しながら使用されています。
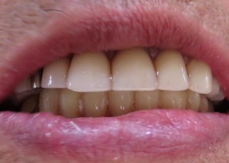
カウンセリング・診断結果
拝見したところ、上の入れ歯の奥歯部分が経年劣化ですり減り、左右とも噛み合う面が平たくなっていました。
そのため、全体的に噛み合わせが低くなっています。
現時点では食事や生活に大きな不自由はないとのことでしたが、このまま放置するとさらにすり減りが進行し、噛みにくくなったり入れ歯が動いて歯茎に痛みが出たりするおそれがあります。
以上のことから、入れ歯を調整する必要があると診断しました。
行ったご提案・治療内容
治療の方針として、以下2つを提案しました。
①入れ歯のすり減った部分を修理して補う方法
メリット:即日で修理が終了する
デメリット:新しく入れ歯を作った場合と比べると、フィット感がやや劣る
②新しい総入れ歯の作製
メリット:現在の口腔状態に合わせて作製するため、よりよいフィット感が期待できる
デメリット:複数回の通院が必要で、入れ歯の完成まで時間がかかる
患者さんの年齢や通院のご負担を考えると、①の修理による対応が適していること、また患者さんは今まで同じような修理を行ってきた経緯があり、現在の入れ歯の状態や今後必要となる処置について改めてお伝えしたところ、修理による治療に同意いただきました。
まず、すり減って低くなっていた奥歯部分に歯科用プラスチックを盛り足します。
使用した歯科用プラスチックは粉と液を混ぜると固まる性質があり、固まる前にお口に入れて噛んでいただくことで、適切な噛み合わせの高さに調整することが可能です。
続いて、噛んだときに上下前歯が強く当たりすぎていないかという点も確認します。
前歯に強い負担がかかると入れ歯が外れる原因になるため、必要な部分を少しずつ削りながら、自然で無理のない噛み合わせになるよう整えました。
最後に全体のバランスをチェックして問題がないことを確認し、修理を終えた入れ歯をお渡しして、治療を終了しています。
この治療のリスクについて
・着脱式のため、食後の清掃が必要です
・最初のうちは異物感があり、慣れるまで時間がかかる場合があります
・慣れるまでは、入れ歯の裏側の粘膜に傷ができる場合があります
- 年齢・性別 80代男性
- 診療種別 保険診療
- 治療期間の目安 -
- 治療回数の目安 1回
-
治療費総額の目安
約1,000円
(保険診療1割負担)
※掲載された情報は治療の効果を保証するものではありません。
ご利用により万一何らかの損害が発生したとしても、当サイトは一切責任を負いかねますのでご了承ください。
画像をクリックすると拡大・詳細コメントを確認いただけます
-
いとう歯科医院TEL:0333335389
-
いとう歯科医院TEL:0333335389
-
いとう歯科医院TEL:0333335389
-
いとう歯科医院TEL:0333335389 -
いとう歯科医院TEL:0333335389 -
いとう歯科医院TEL:0333335389
-
いとう歯科医院TEL:0333335389 -
いとう歯科医院TEL:0333335389 -
いとう歯科医院TEL:0333335389
-
いとう歯科医院TEL:0333335389 -
いとう歯科医院TEL:0333335389 -
いとう歯科医院TEL:0333335389
-
いとう歯科医院TEL:0333335389 -
いとう歯科医院TEL:0333335389 -
いとう歯科医院TEL:0333335389
問題を報告する
掲載内容に問題がありますか?
こちらのフォームではココシカ!利用規約に違反している可能性のある情報や、
その他の問題がある内容について直接報告することができます。
この機能は、詐欺、スパム、虚偽、不正確であると思われる情報を報告するためのものです。
報告すべき情報の例
- ・差別的または不快感を与えるもの: 性別、年齢、人種、宗教、身体的特徴などに基づく差別が見られるものはこちらに該当します。過度な出血など過激な表現など不適切な内容が含まれる場合も対象です。
- ・虚偽の情報: 何らかの根拠により虚偽が認められる情報が対象です。
- ・不正確な情報: 治療名やリスク、金額、医院情報などに不正確な内容が含まれるものです。多くの場合、これらの問題はココシカ!の掲載基準違反ではありませんが、情報の更新が求められる場合があります。
- ・広告行為: 本サービスの趣旨に反する投稿です。サービス広告、企業やアプリの宣伝、その他問題があると確認された投稿が該当します。
- ・その他: これらのカテゴリーに当てはまらない問題については、[その他] を選択し詳しい情報をご提供ください。
ココシカ!の情報、技術的な問題、医院ページのレビュー、掲載情報に関する問い合わせ、検索結果などに関する一般的な質問、これらの問題に関するお問い合わせは、サポートチームまでご連絡下さい。
| 診療科目 | 一般歯科 |
|---|---|
| 住所 | 〒167-0054 東京都杉並区松庵3-6-3 |
| アクセス | JR中央線 「西荻窪」駅南口から徒歩7分 ※駐車場1台分完備 |
| 診療時間 | 08:30~11:00 |
| 休診日 | 木曜、日曜、祝祭日 |
| 代表者 | 伊藤 高史 |
※記載の内容は最新の情報と異なる場合がございます。正確な情報は歯科医院にご確認ください。
この歯科医院の他の症例
NEW CONTENT 新着コンテンツ
-
「第22回 一般社団法人 日本外傷歯学会・総会・学術大会」開幕、リハビリにフォーカスして歯の損失リスク軽減を目指す
2022.8.8 一般歯科
-
クラウド型歯科用レセコン「POWER5G」が口腔内シミュレーションサービス「DMFTシミュレーター」と提携
2022.6.28 予防歯科
-
豪発のブランド「ビーボックス」から歯固め発売、乳幼児でも持ちやすい設計に
2022.6.24 小児歯科
-
韓国発ライフスタイルケアブランド「ソルトレイン」日本初上陸、伊勢丹新宿でポップアップも
2022.6.22 その他
-
デントウェーブ運営の歯科衛生士向けコミュニティ「歯科衛生士のcoe」無料オンラインイベント開催
2022.3.2 その他
-
竹素材のオーガニック歯ブラシ、日本発サステナブランド「ミヨオーガニック」展開
2022.2.17 予防歯科
