- 部分入れ歯
50代女性 割れた入れ歯に金属の補強線を埋め込む修理を行った症例
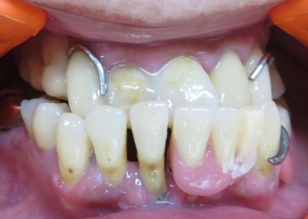
ご相談内容
「入れ歯が割れてしまった」とご相談いただきました。
左下奥歯にかけるクラスプ(入れ歯を固定するための金属製の留め具)は、以前当院で修理を行っています。
カウンセリング・診断結果
患者さんの噛み合わせは、下顎が上顎より前に出ている極端な反対咬合の状態でした。
反対咬合は入れ歯を安定させるのが難しく、噛む力が特定の部分に集中しやすいため、入れ歯の破損や変形が起こりやすいとされています。
また、残っている歯の一部には揺れがみられました。
これは、歯を支える骨(歯槽骨)が弱ってきており、歯が噛む力を十分に受け止められなくなっていることが原因です。
お持ちいただいた入れ歯は完全に割れていて、このまま使い続けるのは難しい状態でした。
ただこの段階で新しい入れ歯を作っても、ぐらついている歯が抜けてしまい、短い期間で修理や作り直しが必要になるリスクがあります。
以上のことから、まずは現在の入れ歯を修理して使えるようにしたのち、揺れている歯が自然に抜けて口腔内が落ち着くのを待ったうえで、新しい入れ歯を作製するのが適切だと診断しました。
行ったご提案・治療内容
診断内容をお伝えしたうえで、割れた入れ歯の修理を提案しました。
患者さんはこれまでにも同様の治療を経験されており、治療方針については十分にご理解とご納得いただいています。
まず、技工用の瞬間接着剤で割れた入れ歯を仮止めします。
これは、次の工程で正確な模型を作るための準備です。
次に、仮止めした入れ歯をお口の中に戻して型取りを行い、石こうを用いて模型を作製しました。
模型上で修理を行うことで、口の中でしっかりと合う入れ歯に仕上げることができます。
続いて、割れた部分に対して垂直に交わる向きに金属製の補強線(ワイヤー)を埋め込みました。
補強線をいれることで入れ歯のプラスチック部分にかかる力を吸収・分散できるため、割れにくい構造になります。
最後に、補強後の入れ歯を丁寧に研磨して仕上げを行い、見た目や装着感、噛み合わせに問題がないことを確認して、治療を終了しました。
この治療のリスクについて
・着脱式のため、食後の清掃が必要です
・最初のうちは異物感があり、慣れるまで時間がかかる場合があります
・慣れるまでは、入れ歯の裏側の粘膜に傷ができる場合があります
- 年齢・性別 50代女性
- 診療種別 保険診療
- 治療期間の目安 -
- 治療回数の目安 1回
-
治療費総額の目安
約3,000円
(保険診療3割負担)
※掲載された情報は治療の効果を保証するものではありません。
ご利用により万一何らかの損害が発生したとしても、当サイトは一切責任を負いかねますのでご了承ください。
画像をクリックすると拡大・詳細コメントを確認いただけます
-
いとう歯科医院TEL:0333335389
-
いとう歯科医院TEL:0333335389
-
いとう歯科医院TEL:0333335389
-
いとう歯科医院TEL:0333335389 -
いとう歯科医院TEL:0333335389
-
いとう歯科医院TEL:0333335389
-
いとう歯科医院TEL:0333335389 -
いとう歯科医院TEL:0333335389
-
いとう歯科医院TEL:0333335389
-
いとう歯科医院TEL:0333335389 -
いとう歯科医院TEL:0333335389
-
いとう歯科医院TEL:0333335389
-
いとう歯科医院TEL:0333335389 -
いとう歯科医院TEL:0333335389
-
いとう歯科医院TEL:0333335389 -
いとう歯科医院TEL:0333335389 -
いとう歯科医院TEL:0333335389
-
いとう歯科医院TEL:0333335389 -
いとう歯科医院TEL:0333335389 -
いとう歯科医院TEL:0333335389
-
いとう歯科医院TEL:0333335389
技工用の瞬間接着剤で仮止めします。
石こうで模型を作製しました。
補強線をいれるための溝を作ります。
補強線を入れました。
問題を報告する
掲載内容に問題がありますか?
こちらのフォームではココシカ!利用規約に違反している可能性のある情報や、
その他の問題がある内容について直接報告することができます。
この機能は、詐欺、スパム、虚偽、不正確であると思われる情報を報告するためのものです。
報告すべき情報の例
- ・差別的または不快感を与えるもの: 性別、年齢、人種、宗教、身体的特徴などに基づく差別が見られるものはこちらに該当します。過度な出血など過激な表現など不適切な内容が含まれる場合も対象です。
- ・虚偽の情報: 何らかの根拠により虚偽が認められる情報が対象です。
- ・不正確な情報: 治療名やリスク、金額、医院情報などに不正確な内容が含まれるものです。多くの場合、これらの問題はココシカ!の掲載基準違反ではありませんが、情報の更新が求められる場合があります。
- ・広告行為: 本サービスの趣旨に反する投稿です。サービス広告、企業やアプリの宣伝、その他問題があると確認された投稿が該当します。
- ・その他: これらのカテゴリーに当てはまらない問題については、[その他] を選択し詳しい情報をご提供ください。
ココシカ!の情報、技術的な問題、医院ページのレビュー、掲載情報に関する問い合わせ、検索結果などに関する一般的な質問、これらの問題に関するお問い合わせは、サポートチームまでご連絡下さい。
| 診療科目 | 一般歯科 |
|---|---|
| 住所 | 〒167-0054 東京都杉並区松庵3-6-3 |
| アクセス | JR中央線 「西荻窪」駅南口から徒歩7分 ※駐車場1台分完備 |
| 診療時間 | 08:30~11:00 |
| 休診日 | 木曜、日曜、祝祭日 |
| 代表者 | 伊藤 高史 |
※記載の内容は最新の情報と異なる場合がございます。正確な情報は歯科医院にご確認ください。
この歯科医院の他の症例
NEW CONTENT 新着コンテンツ
-
「第22回 一般社団法人 日本外傷歯学会・総会・学術大会」開幕、リハビリにフォーカスして歯の損失リスク軽減を目指す
2022.8.8 一般歯科
-
クラウド型歯科用レセコン「POWER5G」が口腔内シミュレーションサービス「DMFTシミュレーター」と提携
2022.6.28 予防歯科
-
豪発のブランド「ビーボックス」から歯固め発売、乳幼児でも持ちやすい設計に
2022.6.24 小児歯科
-
韓国発ライフスタイルケアブランド「ソルトレイン」日本初上陸、伊勢丹新宿でポップアップも
2022.6.22 その他
-
デントウェーブ運営の歯科衛生士向けコミュニティ「歯科衛生士のcoe」無料オンラインイベント開催
2022.3.2 その他
-
竹素材のオーガニック歯ブラシ、日本発サステナブランド「ミヨオーガニック」展開
2022.2.17 予防歯科
