- 部分入れ歯
50代女性 補強用の金属線を埋め込む修理で割れた入れ歯を使えるようにした症例
ご相談内容
「また入れ歯が割れてしまった」とご相談いただきました。
カウンセリング・診断結果
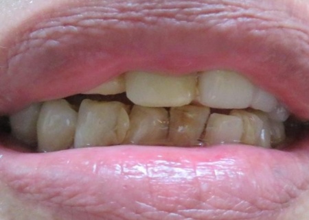
拝見したところ、上顎には入れ歯が装着されていましたが、左上前歯から上顎を覆う部分にかけて完全に割れてしまっていました。半年前にも入れ歯を修理しましたが、そのときとは異なる部分の破損です。
入れ歯は毎日の食事で噛む力を受けるため、長期間の使用で負担がかかり、弱い部分から割れてしまうことがあります。
このまま放置すると、入れ歯が正しく装着できずに審美性に悪影響を与えたり、しっかり噛めないことで発音に支障をきたしたりするおそれがあります。
以上のことから、早急に入れ歯を修理する必要があると診断しました。
行ったご提案・治療内容
入れ歯の修理として、前回と同様に金属線で補強する方法を提案しました。
メリット
・短時間(約1時間)で費用を抑えながら入れ歯を直せる
・新しく作り直す必要がないため、慣れ親しんだ入れ歯をそのまま使い続けられる
デメリット
・修理部分は元の強度に比べてやや劣り、将来的にほかの部分が割れるリスクがある
メリットとデメリットをお伝えし、治療に同意いただきました。
まず、作業中破片がバラバラになることを防ぐために、割れた部分を歯科専用の瞬間接着剤で仮固定します。
続いて、石膏(歯型の模型作製に使用する材料)を注ぎ、入れ歯を模型上に固定しました。これにより、入れ歯本来の形状を維持しながら、安定した状態で修理作業を進めることが可能です。
次に、同じ部位が再破損するリスクを軽減して入れ歯の耐久性を向上させるため、模型上で補強用の金属線を慎重に作製して埋め込む修理を行いました。
また修理部位の強度を確保するため、金属線の配置や埋め込みの深さにも十分配慮しています。
修理が終わった入れ歯を装着していただき、使用感や噛み合わせに問題がないことを確認して治療を終了しました。
この治療のリスクについて
・着脱式のため、食後の清掃が必要です
・最初のうちは異物感があり、慣れるまで時間がかかる場合があります
・慣れるまでは、入れ歯の裏側の粘膜に傷ができる場合があります
- 年齢・性別 50代女性
- 診療種別 保険診療
- 治療期間の目安 -
- 治療回数の目安 1回
-
治療費総額の目安
約3,000円
(保険診療3割負担)
※掲載された情報は治療の効果を保証するものではありません。
ご利用により万一何らかの損害が発生したとしても、当サイトは一切責任を負いかねますのでご了承ください。
画像をクリックすると拡大・詳細コメントを確認いただけます
-
いとう歯科医院TEL:0333335389
-
いとう歯科医院TEL:0333335389
-
いとう歯科医院TEL:0333335389
-
いとう歯科医院TEL:0333335389
-
いとう歯科医院TEL:0333335389
-
いとう歯科医院TEL:0333335389
-
いとう歯科医院TEL:0333335389
-
いとう歯科医院TEL:0333335389
-
いとう歯科医院TEL:0333335389 -
いとう歯科医院TEL:0333335389 -
いとう歯科医院TEL:0333335389
-
いとう歯科医院TEL:0333335389
模型上に入れ歯を固定します。
補強線の位置を確認します。
補強線を埋め込みます。
問題を報告する
掲載内容に問題がありますか?
こちらのフォームではココシカ!利用規約に違反している可能性のある情報や、
その他の問題がある内容について直接報告することができます。
この機能は、詐欺、スパム、虚偽、不正確であると思われる情報を報告するためのものです。
報告すべき情報の例
- ・差別的または不快感を与えるもの: 性別、年齢、人種、宗教、身体的特徴などに基づく差別が見られるものはこちらに該当します。過度な出血など過激な表現など不適切な内容が含まれる場合も対象です。
- ・虚偽の情報: 何らかの根拠により虚偽が認められる情報が対象です。
- ・不正確な情報: 治療名やリスク、金額、医院情報などに不正確な内容が含まれるものです。多くの場合、これらの問題はココシカ!の掲載基準違反ではありませんが、情報の更新が求められる場合があります。
- ・広告行為: 本サービスの趣旨に反する投稿です。サービス広告、企業やアプリの宣伝、その他問題があると確認された投稿が該当します。
- ・その他: これらのカテゴリーに当てはまらない問題については、[その他] を選択し詳しい情報をご提供ください。
ココシカ!の情報、技術的な問題、医院ページのレビュー、掲載情報に関する問い合わせ、検索結果などに関する一般的な質問、これらの問題に関するお問い合わせは、サポートチームまでご連絡下さい。
| 診療科目 | 一般歯科 |
|---|---|
| 住所 | 〒167-0054 東京都杉並区松庵3-6-3 |
| アクセス | JR中央線 「西荻窪」駅南口から徒歩7分 ※駐車場1台分完備 |
| 診療時間 | 08:30~11:00 |
| 休診日 | 木曜、日曜、祝祭日 |
| 代表者 | 伊藤 高史 |
※記載の内容は最新の情報と異なる場合がございます。正確な情報は歯科医院にご確認ください。
この歯科医院の他の症例
NEW CONTENT 新着コンテンツ
-
「第22回 一般社団法人 日本外傷歯学会・総会・学術大会」開幕、リハビリにフォーカスして歯の損失リスク軽減を目指す
2022.8.8 一般歯科
-
クラウド型歯科用レセコン「POWER5G」が口腔内シミュレーションサービス「DMFTシミュレーター」と提携
2022.6.28 予防歯科
-
豪発のブランド「ビーボックス」から歯固め発売、乳幼児でも持ちやすい設計に
2022.6.24 小児歯科
-
韓国発ライフスタイルケアブランド「ソルトレイン」日本初上陸、伊勢丹新宿でポップアップも
2022.6.22 その他
-
デントウェーブ運営の歯科衛生士向けコミュニティ「歯科衛生士のcoe」無料オンラインイベント開催
2022.3.2 その他
-
竹素材のオーガニック歯ブラシ、日本発サステナブランド「ミヨオーガニック」展開
2022.2.17 予防歯科
