現在指定中の条件
- 未選択
この条件の症例
2927件
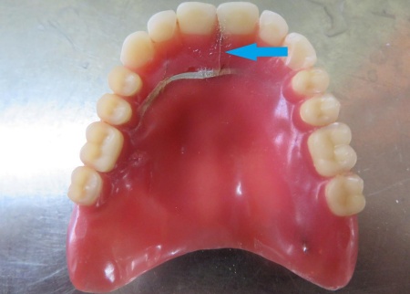
70代女性 ヒビが入った入れ歯に補強線を埋め込む修理をした症例
- 総入れ歯
- 治療期間の目安 -
- 治療回数の目安 1回
-
治療費総額の目安
約2,000円
(保険診療2割負担)
治療のリスク
・着脱式のため、食後の清掃が必要です ・最初のうちは異物感があり、慣れるまで時間がかかる場合があります ・慣れるまでは、入れ歯の裏側の粘膜に傷ができる場合があります...
by.いとう歯科医院
2026/01/18
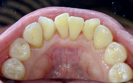
60代男性 破損した上下の入れ歯を作り直して噛み合わせを改善した症例
- インプラント
- 入れ歯・義歯
- 抜歯
- 治療期間の目安 約8ヶ月
- 治療回数の目安 -
- 治療費総額の目安 約1,300,000円
治療のリスク
・持病をお持ちの方や、服用中のお薬の種類によっては、外科処置ができない場合があります ・メンテナンスを怠ったり、喫煙したりすると、お口の中に大きな悪影響を及ぼし、インプラント周囲炎などにかかる可能性があります ・糖尿病、肝硬変、心臓病などの持病をお持ちの場合、インプラント治療ができない可能性があ...
by.すえいし歯科矯正歯科
2026/01/16
30代女性 重度の歯周病に対して歯周内科治療を行った症例
- 歯石除去
- 歯周病
- 治療期間の目安 -
-
治療回数の目安
2回
※保険診療回数・ブリッジ治療は含まれない -
治療費総額の目安
55,000円(歯周内科治療)
※保険治療費・ブリッジ治療費は含まれない
治療のリスク
・病状、症状、患者様のお口の環境によって、複数回にわたる施術が必要となる場合があります ・治療が終わった後も、十分なセルフケアが必要です ・正しいブラッシングやメンテナンスを行わない場合、歯石の付着や虫歯が生じる可能性があります...
by.すえいし歯科矯正歯科
2026/01/16
60代女性 重度歯周病に対して精密根管治療・歯周治療・再生療法を併用した症例
- 歯石除去
- 骨再生
- 歯周外科
- 根管治療
- 歯周病
- 詰め物・被せもの
- セラミック・ジルコニア
-
治療期間の目安
1年
(改善までの経過観察期間込み) - 治療回数の目安 -
-
治療費総額の目安
約800,000円
(再生治療・根管治療・e.max)
治療のリスク
・まれに根管治療後も再治療、外科手術、抜歯などの処置が必要となる場合があります ・持病をお持ちの方や、服用中のお薬の種類によっては、外科処置ができない場合があります ・硬い素材の場合、他の天然歯を傷つけることがあります ・噛み合わせや歯ぎしりが強い場合、セラミックが割れる可能性があります ・...
by.武内歯科医院
2026/01/06
60代女性 すきっ歯が目立つ噛み合わせをワイヤー矯正とアライナー矯正の併用で改善した症例
- 矯正歯科
- ワイヤー矯正
- マウスピース矯正
- 治療期間の目安 1年3ヶ月
- 治療回数の目安 -
- 治療費総額の目安 1,100,000円
治療のリスク
・治療中、装置によってまれに頬の内側が傷つき、口内炎になる場合があります ・歯の移動に伴って、違和感や痛みを感じる場合があります ・冷たいものを飲んだときに歯がしみる「知覚過敏」の症状が出る場合があります ・決められたスケジュールを守らない場合、十分な効果が得られない可能性があります ・マウ...
by.武内歯科医院
2026/01/06
60代女性 割れた奥歯を抜いたあと親知らずを移植して噛み合わせを回復した症例
- 歯牙移植・再植
- 根管治療
- 矯正歯科
- 部分矯正
- 詰め物・被せもの
- セラミック・ジルコニア
- 抜歯
- 親知らず
-
治療期間の目安
8ヶ月
(移植後の固定期間が3ヶ月あり) - 治療回数の目安 -
-
治療費総額の目安
約340,000円
(ファイバーポスト、セラミッククラウン、移植、MTM)
治療のリスク
・根管治療中や治療後に不快症状が出たり、治療後に痛みや腫れなどが生じたりする可能性があります ・治療中、装置によってまれに頬の内側が傷つき、口内炎になる場合があります ・持病をお持ちの方や、服用中のお薬の種類によっては、外科処置ができない場合があります ・外科処置後に腫れ、出血が生じる場合があ...
by.武内歯科医院
2026/01/06
60代女性 前歯の歯茎が腫れて膿が出ている部位に精密根管治療を行った症例
- 根管治療
- ホワイトニング
- 治療期間の目安 4ヶ月
- 治療回数の目安 5回
- 治療費総額の目安 73,700円
治療のリスク
・まれに根管治療後も再治療、外科手術、抜歯などの処置が必要となる場合があります ・治療中まれに器具の破折、被せ物や詰め物など修復物の損傷、歯の破折が起こる場合があります ・治療中や治療後に不快症状が出たり、治療後に痛みや腫れなどが生じたりする可能性があります ・得られる効果は歯の質により様々で...
by.武内歯科医院
2026/01/06
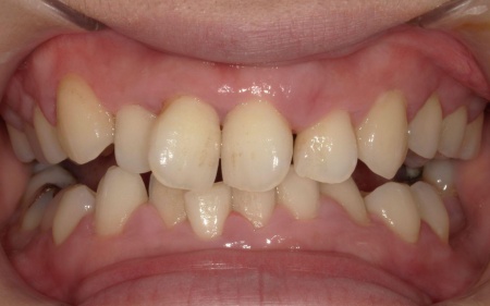
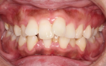
10代女性 乱れた歯並びと噛み合わせをワイヤー矯正で改善した症例
- 矯正歯科
- ワイヤー矯正
- 治療期間の目安 1年6ヶ月
- 治療回数の目安 -
- 治療費総額の目安 770,000円
治療のリスク
・治療中、発音しにくい場合があります ・治療中、舌が動かしにくいことがあります ・治療中、装置によってまれに頬の内側が傷つき、口内炎になる場合があります ・歯の移動に伴って、違和感や痛みを感じる場合があります ・冷たいものを飲んだときに歯がしみる「知覚過敏」の症状が出る場合があります ・正...
by.武内歯科医院
2026/01/06
30代男性 前歯のホワイトスポットをICON治療で目立たないように治療した症例
- ホワイトニング
- その他の診療
- 治療期間の目安 -
- 治療回数の目安 1回
-
治療費総額の目安
55,000円
(ICON治療3本分)
治療のリスク
・治療中、歯にしみるような痛みが出る場合があります ・得られる効果は歯の質により様々です。予定通りの白さに達しない場合もあります ・自費診療(保険適用外治療)です...
by.十日市場ファミリー歯科
2026/01/06
30代男性 前歯の白い斑点にIcon治療を施した症例
- ホワイトニング
- その他の診療
- 治療期間の目安 -
- 治療回数の目安 1回
-
治療費総額の目安
38,500円
(Icon治療2本分)
治療のリスク
・治療中、歯にしみるような痛みが出る場合があります ・得られる効果は歯の質により様々です。予定通りの白さに達しない場合もあります ・自費診療(保険適用外治療)です...
by.十日市場ファミリー歯科
2026/01/06
RECOMMEND こちらもご参考ください
NEW CONTENT 新着コンテンツ
-
「第22回 一般社団法人 日本外傷歯学会・総会・学術大会」開幕、リハビリにフォーカスして歯の損失リスク軽減を目指す
2022.8.8 一般歯科
-
クラウド型歯科用レセコン「POWER5G」が口腔内シミュレーションサービス「DMFTシミュレーター」と提携
2022.6.28 予防歯科
-
豪発のブランド「ビーボックス」から歯固め発売、乳幼児でも持ちやすい設計に
2022.6.24 小児歯科
-
韓国発ライフスタイルケアブランド「ソルトレイン」日本初上陸、伊勢丹新宿でポップアップも
2022.6.22 その他
-
デントウェーブ運営の歯科衛生士向けコミュニティ「歯科衛生士のcoe」無料オンラインイベント開催
2022.3.2 その他
-
竹素材のオーガニック歯ブラシ、日本発サステナブランド「ミヨオーガニック」展開
2022.2.17 予防歯科
