現在指定中の条件
- 未選択
 
この条件の症例
2868件
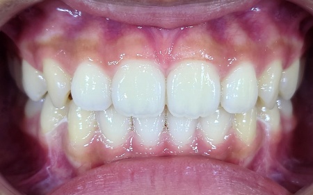
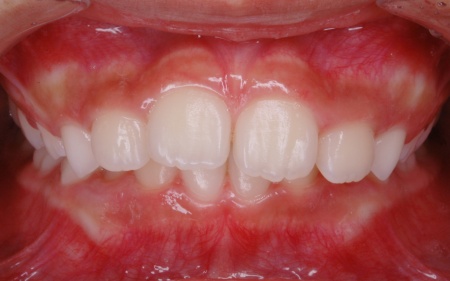
9歳女の子 過蓋咬合と乱れた歯並びを上顎拡大装置とT4Kトレーナーを用いた治療で改善した症例
- 口腔筋トレーニング(MFT)
 - 矯正歯科
 - 小児矯正
 - マウスピース矯正
 
- 治療期間の目安 4年
 - 治療回数の目安 -
 - 治療費総額の目安 約450,000円
 
治療のリスク
・決められたスケジュールを守らない場合、十分な効果が得られない可能性があります ・マウスピースに対応していない症例の場合、治療が難しい可能性があります ・歯の移動に伴って、痛みや違和感を感じる場合があります ・正しいブラッシングやメンテナンスを行わない場合、虫歯や歯周病のリスクが高まります...
								by.エスペレ歯科・ホープデンタルクリニック
								2025/11/03
							
						30代女性 被せ物が外れた歯を抜いたあとにインプラント治療を行った症例
- インプラント
 - 抜歯
 
- 治療期間の目安 約5ヶ月
 - 治療回数の目安 -
 - 治療費総額の目安 510,000円
 
治療のリスク
・外科手術のため、術後に痛みや腫れ、違和感を伴います ・メンテナンスを怠ったり、喫煙したりすると、お口の中に大きな悪影響を及ぼし、インプラント周囲炎等にかかる可能性があります ・糖尿病、肝硬変、心臓病などの持病をお持ちの場合、インプラント治療ができない可能性があります ・高血圧、貧血・不整脈な...
								by.ふかい歯科クリニック
								2025/10/31
							
						30代女性 前歯のホワイトスポットをIcon治療で改善した症例
- ホワイトニング
 - その他の診療
 
- 治療期間の目安 -
 - 治療回数の目安 1回
 - 
									治療費総額の目安
									54,800円 
(Icon治療2本分) 
治療のリスク
・治療中、歯にしみるような痛みが出る場合があります ・得られる効果は歯の質により様々です。予定通りの白さに達しない場合もあります ・自費診療(保険適用外治療)です...
								by.十日市場ファミリー歯科
								2025/10/31
							
						70代男性 総入れ歯がすり減ったので噛み合わせを高くする修理を行った症例
- 総入れ歯
 
- 治療期間の目安 -
 - 治療回数の目安 1回
 - 治療費総額の目安 約1,000円(保険診療1割負担)
 
治療のリスク
・着脱式のため、食後の清掃が必要です ・最初のうちは異物感があり、慣れるまで時間がかかる場合があります ・慣れるまでは、入れ歯の裏側の粘膜に傷ができる場合があります...
								by.いとう歯科医院
								2025/10/31
							
						10歳男の子 下前歯の裏に付着した歯石を保険診療内のクリーニングで除去した症例
- 歯石除去
 - 小児歯科
 - クリーニング
 
- 治療期間の目安 -
 - 治療回数の目安 1回
 - 治療費総額の目安 保険診療内
 
治療のリスク
・病状、症状、患者様のお口の環境によって、複数回にわたる施術が必要となる場合があります ・治療が終わった後も、十分なセルフケアが必要です ・正しいブラッシングやメンテナンスを行わない場合、歯石の付着や虫歯が生じる可能性があります...
								by.エスペレ歯科・ホープデンタルクリニック
								2025/10/28
							
						11歳男の子 成長がやや遅い下顎にマウスピース型の矯正装置を使用して噛み合わせのバランスを整えた症例
- 矯正歯科
 - 小児矯正
 - マウスピース矯正
 
- 治療期間の目安 半年
 - 治療回数の目安 -
 - 治療費総額の目安 約150,000円
 
治療のリスク
・決められたスケジュールを守らない場合、十分な効果が得られない可能性があります ・マウスピースに対応していない症例の場合、治療が難しい可能性があります ・正しいブラッシングやメンテナンスを行わない場合、虫歯や歯周病のリスクが高まります...
								by.エスペレ歯科・ホープデンタルクリニック
								2025/10/28
							
						6歳女の子 下前歯の裏側に付着した歯石を保険診療内のクリーニングで除去した症例
- 歯石除去
 - 小児歯科
 - クリーニング
 
- 治療期間の目安 -
 - 治療回数の目安 1回
 - 治療費総額の目安 保険診療内
 
治療のリスク
・病状、症状、患者様のお口の環境によって、複数回にわたる施術が必要となる場合があります ・治療が終わった後も、十分なセルフケアが必要です ・正しいブラッシングやメンテナンスを行わない場合、歯石の付着や虫歯が生じる可能性があります...
								by.エスペレ歯科・ホープデンタルクリニック
								2025/10/28
							
						60代女性 左下の銀歯を審美性と強度に優れたジルコニアブリッジで治療した症例
- 詰め物・被せもの
 - セラミック・ジルコニア
 - ブリッジ
 
- 治療期間の目安 -
 - 治療回数の目安 3回
 - 
									治療費総額の目安
									214,500円
ジルコニアブリッジ(歯3本分) 
治療のリスク
・ブリッジの装着に際し、天然歯を削る必要があります ・土台となる歯に負担がかかるため、将来的に歯が揺れたり、歯の根が割れたりする可能性があります ・噛み合わせや歯ぎしりが強い場合、被せ物が破損する可能性があります ・硬い素材の場合、他の天然歯を傷つけることがあります ・一部の治療を除き、自費...
								by.十日市場ファミリー歯科
								2025/10/26
							
						60代女性 炎症を起こした奥歯に根管治療を行いジルコニアクラウンで修復した症例
- 根管治療
 - 詰め物・被せもの
 - セラミック・ジルコニア
 
- 治療期間の目安 約1ヶ月
 - 治療回数の目安 -
 - 
									治療費総額の目安
									約260,000円
(根管治療、上部構造) 
治療のリスク
・まれに根管治療後も再治療、外科手術、抜歯などの処置が必要となる場合があります ・治療中まれに器具の破折、被せ物や詰め物など修復物の損傷、歯の破折が起こる場合があります ・治療中や治療後に不快症状が出たり、治療後に痛みや腫れなどが生じたりする可能性があります ・装着に際し、天然歯を削る場合があ...
								by.海谷歯科医院
								2025/10/26
							
						60代男性 歯が抜けている部位にインプラント治療を施した症例
- インプラント
 
- 治療期間の目安 約4ヶ月
 - 治療回数の目安 -
 - 治療費総額の目安 約420,000円
 
治療のリスク
・外科手術のため、術後に痛みや腫れ、違和感を伴います ・メンテナンスを怠ったり、喫煙したりすると、お口の中に大きな悪影響を及ぼし、インプラント周囲炎等にかかる可能性があります ・糖尿病、肝硬変、心臓病などの持病をお持ちの場合、インプラント治療ができない可能性があります ・高血圧、貧血・不整脈な...
								by.海谷歯科医院
								2025/10/26
							
						RECOMMEND こちらもご参考ください
NEW CONTENT 新着コンテンツ
- 
							
																
								「第22回 一般社団法人 日本外傷歯学会・総会・学術大会」開幕、リハビリにフォーカスして歯の損失リスク軽減を目指す
2022.8.8 一般歯科
 - 
							
																
								クラウド型歯科用レセコン「POWER5G」が口腔内シミュレーションサービス「DMFTシミュレーター」と提携
2022.6.28 予防歯科
 - 
							
																
								豪発のブランド「ビーボックス」から歯固め発売、乳幼児でも持ちやすい設計に
2022.6.24 小児歯科
 - 
							
																
								韓国発ライフスタイルケアブランド「ソルトレイン」日本初上陸、伊勢丹新宿でポップアップも
2022.6.22 その他
 - 
							
																
								デントウェーブ運営の歯科衛生士向けコミュニティ「歯科衛生士のcoe」無料オンラインイベント開催
2022.3.2 その他
 - 
							
																
								竹素材のオーガニック歯ブラシ、日本発サステナブランド「ミヨオーガニック」展開
2022.2.17 予防歯科
 
