現在指定中の条件
- 未選択
この条件の症例
2976件
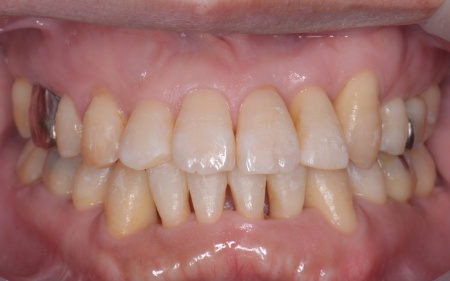
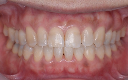
30代男性 歯の着色汚れを保険診療内のクリーニングで除去した症例
- クリーニング
- 治療期間の目安 -
- 治療回数の目安 1回
- 治療費総額の目安 保険診療内
治療のリスク
・病状、症状、患者様のお口の環境によって、複数回にわたる施術が必要となる場合があります ・治療が終わった後も、十分なセルフケアが必要です ・正しいブラッシングやメンテナンスを行わない場合、歯石の付着や虫歯が生じる可能性があります...
by.エスペレ歯科・ホープデンタルクリニック
2026/04/14
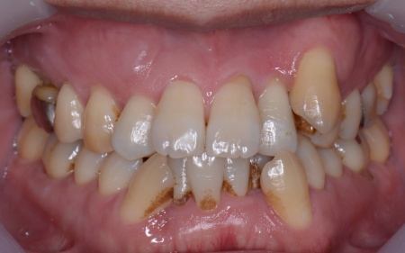
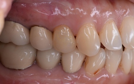
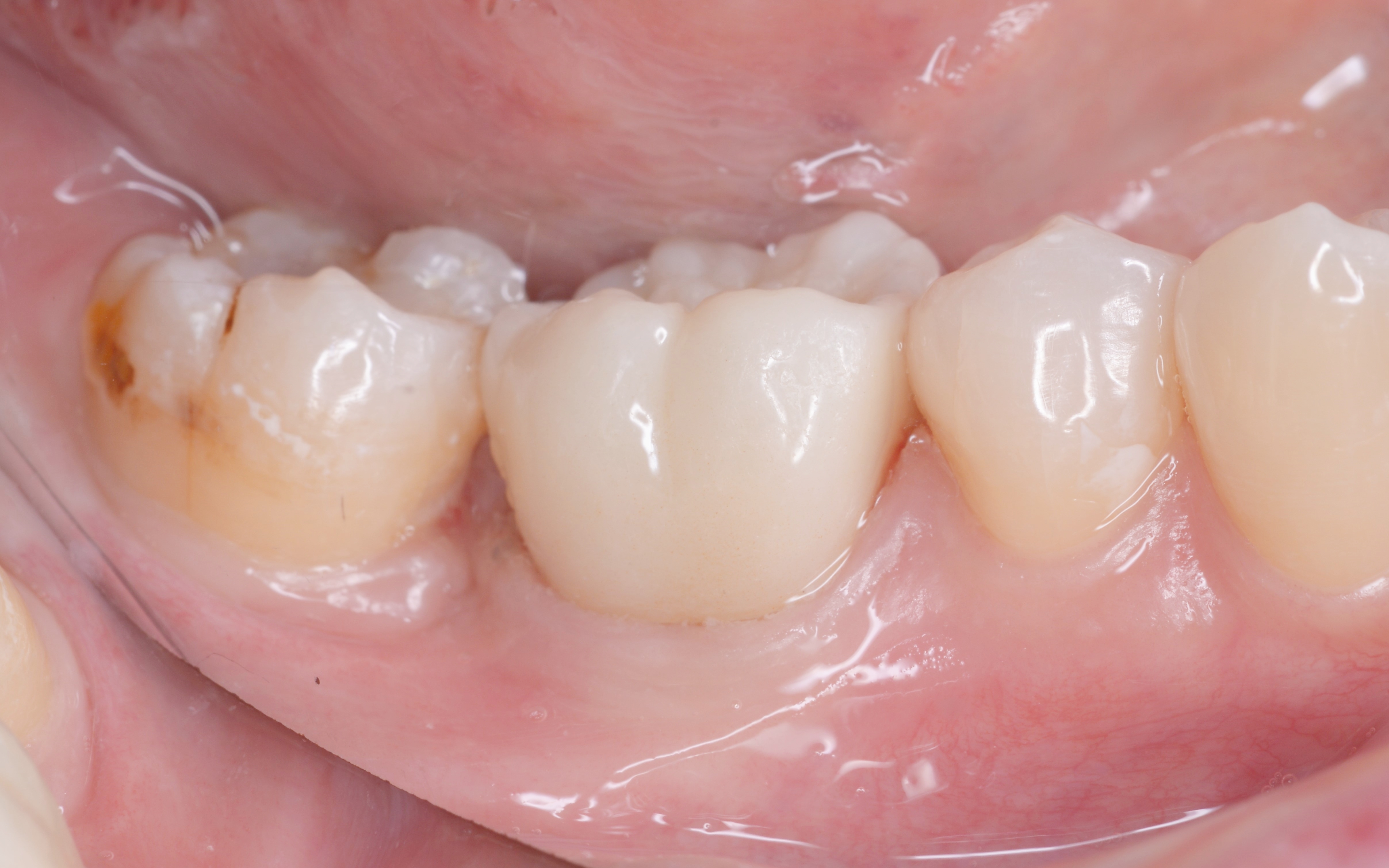
50代男性 虫歯が原因で折れた歯をセラミッククラウンで修復した症例
- 虫歯
- 詰め物・被せもの
- セラミック・ジルコニア
- 治療期間の目安 -
- 治療回数の目安 2回
- 治療費総額の目安 110,000円
治療のリスク
・治療後に正しい歯磨きやメンテナンスを怠ると、虫歯が再発する場合があります ・装着に際し、天然歯を削る場合があります ・噛み合わせや歯ぎしりが強い場合、セラミックが割れる可能性があります ・一部の治療を除き、自費診療(保険適用外治療)です...
by.エスペレ歯科・ホープデンタルクリニック
2026/04/13
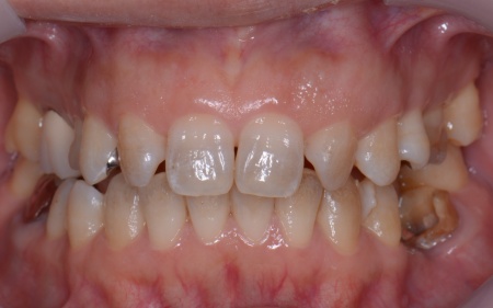
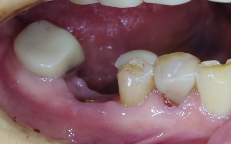
50代女性 温存が難しい奥歯を抜いてインプラントで噛み合わせを回復した症例
- 骨再生
- 詰め物・被せもの
- セラミック・ジルコニア
- インプラント
- 歯科口腔外科
- 抜歯
- 親知らず
- 治療期間の目安 約2年
- 治療回数の目安 -
- 治療費総額の目安 約1,450,000円
治療のリスク
・外科手術のため、術後に痛みや腫れ、違和感を伴います ・メンテナンスを怠ったり、喫煙したりすると、お口の中に大きな悪影響を及ぼし、インプラント周囲炎などにかかる可能性があります ・糖尿病、肝硬変、心臓病などの持病をお持ちの場合、インプラント治療ができない可能性があります ・高血圧、貧血・不整脈...
by.すえいし歯科矯正歯科
2026/04/10
60代女性 痛みと腫れが生じて温存が難しい左上奥歯を抜いてインプラントで治療した症例
- 詰め物・被せもの
- セラミック・ジルコニア
- インプラント
- 抜歯
- 治療期間の目安 約9ヶ月
- 治療回数の目安 -
- 治療費総額の目安 500,000円
治療のリスク
・持病をお持ちの方や、服用中のお薬の種類によっては、外科処置ができない場合があります ・外科処置後に腫れ、出血が生じる場合があります ・糖尿病、肝硬変、心臓病などの持病をお持ちの場合、インプラント治療ができない可能性があります ・高血圧、貧血・不整脈などの持病をお持ちの場合、インプラント治療後...
by.ふかい歯科クリニック
2026/04/10
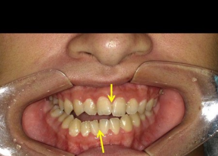
30代女性 上前歯のホワイトスポットをIcon治療で目立たないように治療した症例
- ホワイトニング
- その他の診療
- 治療期間の目安 -
- 治療回数の目安 1回
-
治療費総額の目安
38,500円
(Icon治療2本分)
治療のリスク
・治療中、歯にしみるような痛みが出る場合があります ・得られる効果は歯の質により様々です。予定通りの白さに達しない場合もあります ・自費診療(保険適用外治療)です...
by.十日市場ファミリー歯科
2026/04/07
30代男性 前歯のホワイトスポットにIcon治療を施した症例
- ホワイトニング
- その他の診療
- 治療期間の目安 -
- 治療回数の目安 1回
-
治療費総額の目安
22,000円
(Icon治療1本分)
治療のリスク
・治療中、歯にしみるような痛みが出る場合があります ・得られる効果は歯の質により様々です。予定通りの白さに達しない場合もあります ・自費診療(保険適用外治療)です...
by.十日市場ファミリー歯科
2026/04/07
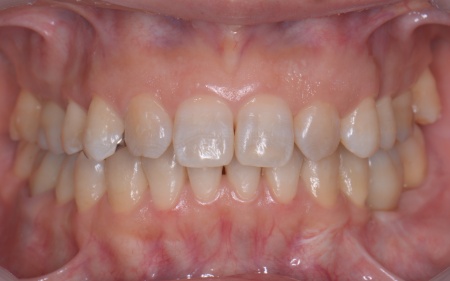
40代男性 折れた前歯を抜歯しインプラント治療で補った症例
- 骨再生
- セラミック・ジルコニア
- インプラント
- 治療期間の目安 約6ヶ月
- 治療回数の目安 -
-
治療費総額の目安
650,000円
<内訳>
CT検査、インプラント手術(ノーベルバイオケア社製ノーベルアクティブ)、即時埋入治療、サージカルガイド作製、骨補填材料、仮歯作製、セラミックの被せ物(ジルコニアレイヤリング法)
治療のリスク
・外科手術のため、術後に痛みや腫れ、違和感を伴います ・メンテナンスを怠ったり、喫煙したりすると、お口の中に大きな悪影響を及ぼし、インプラント周囲炎等にかかる可能性があります ・糖尿病、肝硬変、心臓病などの持病をお持ちの場合、インプラント治療ができない可能性があります ・高血圧、貧血・不整脈な...
by.赤坂クレール歯科クリニック
2026/04/07
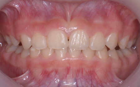
20代女性 前歯の歯並びをマウスピース矯正装置インビザラインGoで改善した症例
- 矯正歯科
- 部分矯正
- マウスピース矯正
- 治療期間の目安 約3ヶ月半
- 治療回数の目安 9回
- 治療費総額の目安 約362,000円
治療のリスク
・決められたスケジュールを守らない場合、十分な効果が得られない可能性があります ・マウスピースに対応していない症例の場合、治療が難しい可能性があります ・歯の移動に伴って、痛みや違和感を感じる場合があります ・正しいブラッシングやメンテナンスを行わない場合、虫歯や歯周病のリスクが高まります...
by.菊地歯科医院
2026/03/30
80代女性 部分入れ歯の金属バネを修理して再び使えるようにした症例
- 部分入れ歯
- 治療期間の目安 -
- 治療回数の目安 1回
-
治療費総額の目安
約1,000円
(保険診療1割負担)
治療のリスク
・着脱式のため、食後の清掃が必要です ・最初のうちは異物感があり、慣れるまで時間がかかる場合があります ・慣れるまでは、入れ歯の裏側の粘膜に傷ができる場合があります...
by.いとう歯科医院
2026/03/30
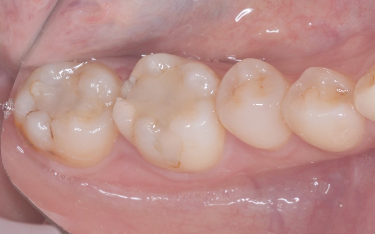
50代女性 歯根の細菌感染が原因で生じた歯性上顎洞炎を精密根管治療で改善した症例
- 根管治療
- 治療期間の目安 約5週間
- 治療回数の目安 -
- 治療費総額の目安 約120,000円
治療のリスク
・まれに根管治療後も再治療、外科手術、抜歯などの処置が必要となる場合があります ・治療中まれに器具の破折、被せ物や詰め物など修復物の損傷、歯の破折が起こる場合があります ・治療中や治療後に不快症状が出たり、治療後に痛みや腫れなどが生じたりする可能性があります ・一部の治療を除き、自費診療(保険...
by.海谷歯科医院
2026/03/30
RECOMMEND こちらもご参考ください
NEW CONTENT 新着コンテンツ
-
「第22回 一般社団法人 日本外傷歯学会・総会・学術大会」開幕、リハビリにフォーカスして歯の損失リスク軽減を目指す
2022.8.8 一般歯科
-
クラウド型歯科用レセコン「POWER5G」が口腔内シミュレーションサービス「DMFTシミュレーター」と提携
2022.6.28 予防歯科
-
豪発のブランド「ビーボックス」から歯固め発売、乳幼児でも持ちやすい設計に
2022.6.24 小児歯科
-
韓国発ライフスタイルケアブランド「ソルトレイン」日本初上陸、伊勢丹新宿でポップアップも
2022.6.22 その他
-
デントウェーブ運営の歯科衛生士向けコミュニティ「歯科衛生士のcoe」無料オンラインイベント開催
2022.3.2 その他
-
竹素材のオーガニック歯ブラシ、日本発サステナブランド「ミヨオーガニック」展開
2022.2.17 予防歯科
