現在指定中の条件
- 未選択
この条件の症例
2911件
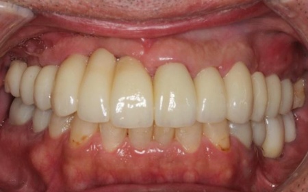
80代男性 経年劣化ですり減った総入れ歯の噛み合わせを調整した症例
- 総入れ歯
- 治療期間の目安 -
- 治療回数の目安 1回
-
治療費総額の目安
約1,000円
(保険診療1割負担)
治療のリスク
・着脱式のため、食後の清掃が必要です ・最初のうちは異物感があり、慣れるまで時間がかかる場合があります ・慣れるまでは、入れ歯の裏側の粘膜に傷ができる場合があります...
by.いとう歯科医院
2025/12/15
60代女性 歯根が割れて痛む歯を抜いてインプラント治療で噛み合わせを回復した症例
- 骨再生
- ホワイトニング
- 詰め物・被せもの
- オフィスホワイトニング
- セラミック・ジルコニア
- インプラント
- 歯科口腔外科
- ソケットリフト
- 抜歯
- 治療期間の目安 1年2ヶ月
- 治療回数の目安 -
-
治療費総額の目安
約899,000円
(インプラント治療・オフィスホワイトニング)
治療のリスク
・外科手術のため、術後に痛みや腫れ、違和感を伴います ・メンテナンスを怠ったり、喫煙したりすると、お口の中に大きな悪影響を及ぼし、インプラント周囲炎などにかかる可能性があります ・糖尿病、肝硬変、心臓病などの持病をお持ちの場合、インプラント治療ができない可能性があります ・高血圧、貧血・不整脈...
by.みらい歯科クリニック
2025/12/15
40代女性 乱れた歯並びと不安定な噛み合わせを矯正治療と被せ物で改善した症例
- 矯正歯科
- ワイヤー矯正
- 詰め物・被せもの
- セラミック・ジルコニア
- 抜歯
- ダイレクトボンディング
- 治療期間の目安 4年
- 治療回数の目安 45~50回
-
治療費総額の目安
約2,370,000円
(矯正治療、ジルコニアクラウン、ダイレクトクラウン)
治療のリスク
・外科処置後に痛みが長引く場合があります。必要に応じ痛み止めを併用します ・治療中、装置によってまれに頬の内側が傷つき、口内炎になる場合があります ・歯の移動に伴って、違和感や痛みを感じる場合があります ・正しいブラッシングやメンテナンスを行わない場合、虫歯や歯周病のリスクが高まります ・装...
by.鈴木歯科医院
2025/12/15
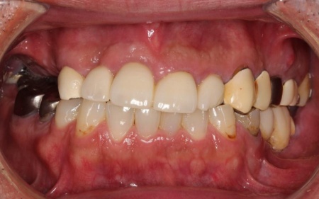
50代男性 バランスが崩れた噛み合わせをインプラント治療と被せ物治療で改善した症例
- 骨再生
- 詰め物・被せもの
- セラミック・ジルコニア
- インプラント
- サイナスリフト
- ダイレクトボンディング
- 治療期間の目安 3年
- 治療回数の目安 約45〜50回
-
治療費総額の目安
約4,479,545円
【内訳】
サイナスリフト、骨移植、インプラント6本、他院インプラント人工歯作り替え、ジルコニアクラウン(インプラント人工歯6本、被せ物3本)、ダイレクトボンディング
治療のリスク
・外科手術のため、術後に痛みや腫れ、違和感を伴います ・メンテナンスを怠ったり、喫煙したりすると、お口の中に大きな悪影響を及ぼし、インプラント周囲炎等にかかる可能性があります ・糖尿病、肝硬変、心臓病などの持病をお持ちの場合、インプラント治療ができない可能性があります ・高血圧、貧血・不整脈な...
by.鈴木歯科医院
2025/12/15
18歳女性 下前歯の裏側に付着した歯石を保険診療内のクリーニングで除去した症例
- 歯石除去
- クリーニング
- 予防歯科
- 治療期間の目安 -
- 治療回数の目安 1回
- 治療費総額の目安 保険診療内
治療のリスク
・病状、症状、患者様のお口の環境によって、複数回にわたる施術が必要となる場合があります ・治療が終わった後も、十分なセルフケアが必要です ・正しいブラッシングやメンテナンスを行わない場合、歯石の付着や虫歯が生じる可能性があります...
by.エスペレ歯科・ホープデンタルクリニック
2025/12/15
9歳女の子 永久歯が生えてきても自然に抜けず残っていた乳歯を抜いた症例
- 小児歯科
- 抜歯
- 治療期間の目安 -
- 治療回数の目安 1回
- 治療費総額の目安 保険診療内
治療のリスク
・持病をお持ちの方や、服用中のお薬の種類によっては、外科処置ができない場合があります ・外科処置後に腫れ、出血が生じる場合があります ・外科処置後に痛みが長引く場合があります。必要に応じ痛み止めを併用します...
by.エスペレ歯科・ホープデンタルクリニック
2025/12/15
60代男性 他院での根管治療後に当院で作製したジルコニアクラウンを装着した症例
- 詰め物・被せもの
- セラミック・ジルコニア
- 治療期間の目安 -
- 治療回数の目安 2回
- 治療費総額の目安 約150,000円
治療のリスク
・装着に際し、天然歯を削る場合があります ・硬い素材の場合、他の天然歯を傷つけることがあります ・噛み合わせや歯ぎしりが強い場合、セラミックが割れる可能性があります ・一部の治療を除き、自費診療(保険適用外治療)です...
by.エスペレ歯科・ホープデンタルクリニック
2025/12/09
20代女性 歯の根が割れた歯を抜歯したあと矯正治療と骨再生を併用したインプラント治療で補った症例
- 骨再生
- 矯正歯科
- ワイヤー矯正
- インプラント
- ソケットリフト
- 抜歯
- ダイレクトボンディング
- 治療期間の目安 約2年
- 治療回数の目安 -
-
治療費総額の目安
約2,100,000円
【内訳】
矯正治療、ソケットリフト、GBR、インプラント2本
治療のリスク
・矯正治療中、装置によってまれに頬の内側が傷つき、口内炎になる場合があります ・歯の移動に伴って、違和感や痛みを感じる場合があります ・正しいブラッシングやメンテナンスを行わない場合、虫歯や歯周病のリスクが高まります ・インプラントは外科手術のため、術後に痛みや腫れ、違和感を伴います ・メン...
by.大塚歯科
2025/12/09
20代男性 折れた前歯を白い被せ物で修復した症例
- 詰め物・被せもの
- セラミック・ジルコニア
- 治療期間の目安 約2ヶ月
- 治療回数の目安 -
-
治療費総額の目安
約200,000円
(ファイバーコア、ジルコニアセラミッククラウンレイヤリング)
治療のリスク
・装着に際し、天然歯を削る場合があります ・硬い素材の場合、他の天然歯を傷つけることがあります ・噛み合わせや歯ぎしりが強い場合、セラミックが割れる可能性があります ・一部の治療を除き、自費診療(保険適用外治療)です...
by.大塚歯科
2025/12/09
20代男性 乱れた歯並びをマウスピース型矯正装置で整えた症例
- 矯正歯科
- マウスピース矯正
- 抜歯
- 治療期間の目安 2年
- 治療回数の目安 -
- 治療費総額の目安 850,000円
治療のリスク
・外科処置後に腫れ、出血が生じる場合があります ・決められたスケジュールを守らない場合、十分な効果が得られない可能性があります ・マウスピースに対応していない症例の場合、治療が難しい可能性があります ・歯の移動に伴って、痛みや違和感を感じる場合があります ・正しいブラッシングやメンテナンスを...
by.南舘歯科医院
2025/12/09
RECOMMEND こちらもご参考ください
NEW CONTENT 新着コンテンツ
-
「第22回 一般社団法人 日本外傷歯学会・総会・学術大会」開幕、リハビリにフォーカスして歯の損失リスク軽減を目指す
2022.8.8 一般歯科
-
クラウド型歯科用レセコン「POWER5G」が口腔内シミュレーションサービス「DMFTシミュレーター」と提携
2022.6.28 予防歯科
-
豪発のブランド「ビーボックス」から歯固め発売、乳幼児でも持ちやすい設計に
2022.6.24 小児歯科
-
韓国発ライフスタイルケアブランド「ソルトレイン」日本初上陸、伊勢丹新宿でポップアップも
2022.6.22 その他
-
デントウェーブ運営の歯科衛生士向けコミュニティ「歯科衛生士のcoe」無料オンラインイベント開催
2022.3.2 その他
-
竹素材のオーガニック歯ブラシ、日本発サステナブランド「ミヨオーガニック」展開
2022.2.17 予防歯科
