- インプラント
- 抜歯
60代男性 根が割れた歯を抜歯してインプラント治療を施した症例
ご相談内容
定期健診で通院されていた患者様より「右下の歯ぐきが腫れてきた」とご相談いただきました。
カウンセリング・診断結果
拝見したところ、右下の奥歯周辺の歯ぐきが腫れていました。
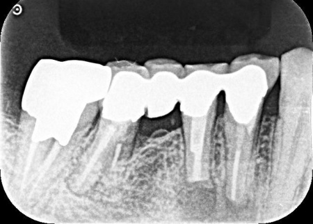
歯やあごの骨の状態を詳しく調べるためレントゲン検査を行った結果、右下の奥歯2本(第2小臼歯、第1大臼歯)は、歯根が縦方向に割れている可能性が高いと考えられました。
しかし、レントゲン画像だけでは歯根の状態を正確に判断することはできません。
そこで歯ぐきの一部を開き内部を直接確認したところ、いずれの歯根が垂直方向に割れていました。
歯根が割れている場合、細菌感染が進行して歯ぐきの炎症が広がったり周囲の歯やあごの骨にまで影響を及ぼしたりする可能性があります。
以上のことから、歯を温存することは難しいため抜歯が必要と診断しました。
行ったご提案・治療内容
診断結果を丁寧に説明したうえで、右下奥歯2本の抜歯を提案したところ同意いただきました。
併せて抜歯後に歯を補う方法として、以下2つの選択肢をお伝えしました。
①前後の歯を削って橋のようにつなげた被せ物で歯を補うブリッジ治療
メリット:
保険診療で行うことができ、外科的な処置を行わずに歯を補える
デメリット:支えとなる前後の歯を削る必要がある
②あごの骨に人工の歯根を埋め込み、その上に人工歯を取り付けるインプラント治療
メリット:周囲の歯を削ることなく歯を補える
デメリット:
自費診療のため費用がかかる。外科手術を伴い、治療期間が比較的長くなる
それぞれの特徴や注意点について説明したところ、患者様は②のインプラント治療を希望されました。
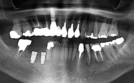
まず右下奥歯2本の抜歯を行い、その後、約3ヶ月間歯ぐきや骨が十分に回復するのを待ちました。
次にCT検査を行い、骨の量や神経の位置を確認したうえでインプラント治療の計画を立てています。
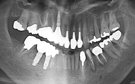
完成した治療計画をもとに、インプラントをあごの骨に埋める手術を実施しました。
一定期間をおいてインプラントがあごの骨に定着したことを確認したあと、歯ぐきの上にインプラントの一部を出すための二次手術を行いました。
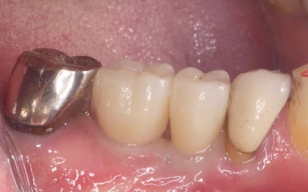
歯ぐきの治癒を待ってから型取りを行い、インプラントの上に装着する人工歯を作製・装着して治療を終了しています。
この治療のリスクについて
・外科手術のため、術後に痛みや腫れ、違和感を伴います
・メンテナンスを怠ったり、喫煙したりすると、お口の中に大きな悪影響を及ぼし、インプラント周囲炎等にかかる可能性があります
・糖尿病、肝硬変、心臓病などの持病をお持ちの場合、インプラント治療ができない可能性があります
・高血圧、貧血・不整脈などの持病をお持ちの場合、インプラント治療後に治癒不全を招く可能性があります
・自費診療(保険適用外治療)です
- 年齢・性別 60代男性
- 診療種別 自由診療
- 治療期間の目安 約6ヶ月
- 治療回数の目安 -
- 治療費総額の目安 約872,700円
※掲載された情報は治療の効果を保証するものではありません。
ご利用により万一何らかの損害が発生したとしても、当サイトは一切責任を負いかねますのでご了承ください。
画像をクリックすると拡大・詳細コメントを確認いただけます
-
海谷歯科医院TEL:0352611515
-
海谷歯科医院TEL:0352611515
-
海谷歯科医院TEL:0352611515
-
海谷歯科医院TEL:0352611515
-
海谷歯科医院TEL:0352611515
-
海谷歯科医院TEL:0352611515
-
海谷歯科医院TEL:0352611515
-
海谷歯科医院TEL:0352611515
-
海谷歯科医院TEL:0352611515
-
海谷歯科医院TEL:0352611515
-
海谷歯科医院TEL:0352611515
-
海谷歯科医院TEL:0352611515
-
海谷歯科医院TEL:0352611515
-
海谷歯科医院TEL:0352611515
-
海谷歯科医院TEL:0352611515 -
海谷歯科医院TEL:0352611515
-
海谷歯科医院TEL:0352611515
-
海谷歯科医院TEL:0352611515 -
海谷歯科医院TEL:0352611515 -
海谷歯科医院TEL:0352611515
-
海谷歯科医院TEL:0352611515 -
海谷歯科医院TEL:0352611515 -
海谷歯科医院TEL:0352611515
-
海谷歯科医院TEL:0352611515
問題を報告する
掲載内容に問題がありますか?
こちらのフォームではココシカ!利用規約に違反している可能性のある情報や、
その他の問題がある内容について直接報告することができます。
この機能は、詐欺、スパム、虚偽、不正確であると思われる情報を報告するためのものです。
報告すべき情報の例
- ・差別的または不快感を与えるもの: 性別、年齢、人種、宗教、身体的特徴などに基づく差別が見られるものはこちらに該当します。過度な出血など過激な表現など不適切な内容が含まれる場合も対象です。
- ・虚偽の情報: 何らかの根拠により虚偽が認められる情報が対象です。
- ・不正確な情報: 治療名やリスク、金額、医院情報などに不正確な内容が含まれるものです。多くの場合、これらの問題はココシカ!の掲載基準違反ではありませんが、情報の更新が求められる場合があります。
- ・広告行為: 本サービスの趣旨に反する投稿です。サービス広告、企業やアプリの宣伝、その他問題があると確認された投稿が該当します。
- ・その他: これらのカテゴリーに当てはまらない問題については、[その他] を選択し詳しい情報をご提供ください。
ココシカ!の情報、技術的な問題、医院ページのレビュー、掲載情報に関する問い合わせ、検索結果などに関する一般的な質問、これらの問題に関するお問い合わせは、サポートチームまでご連絡下さい。
| 診療科目 | 一般歯科、矯正歯科、インプラント、詰め物・被せ物、歯科口腔外科、精密根管治療、歯周病治療、審美治療 |
|---|---|
| 自由診療 | 虫歯治療、精密根管治療、ワイヤー矯正、セラミック・ジルコニア、ブリッジ |
| 住所 | 〒162-0841 東京都新宿区払方町15番地 小暮ビル2F |
| アクセス | ●JR総武線市ヶ谷駅より 徒歩8分 ●地下鉄有楽町線市ヶ谷駅より 徒歩4分 ●大江戸線牛込神楽坂駅より 徒歩4分 ●JR総武線飯田橋駅より 徒歩14分 |
| 診療時間 | 10:00~13:00 14:30~19:30 |
| 休診日 | 土曜 日曜 祝日 |
| 代表者 | 海谷 幸利 |
※記載の内容は最新の情報と異なる場合がございます。正確な情報は歯科医院にご確認ください。
この歯科医院の他の症例
NEW CONTENT 新着コンテンツ
-
「第22回 一般社団法人 日本外傷歯学会・総会・学術大会」開幕、リハビリにフォーカスして歯の損失リスク軽減を目指す
2022.8.8 一般歯科
-
クラウド型歯科用レセコン「POWER5G」が口腔内シミュレーションサービス「DMFTシミュレーター」と提携
2022.6.28 予防歯科
-
豪発のブランド「ビーボックス」から歯固め発売、乳幼児でも持ちやすい設計に
2022.6.24 小児歯科
-
韓国発ライフスタイルケアブランド「ソルトレイン」日本初上陸、伊勢丹新宿でポップアップも
2022.6.22 その他
-
デントウェーブ運営の歯科衛生士向けコミュニティ「歯科衛生士のcoe」無料オンラインイベント開催
2022.3.2 その他
-
竹素材のオーガニック歯ブラシ、日本発サステナブランド「ミヨオーガニック」展開
2022.2.17 予防歯科
