- インプラント
- 抜歯
40代女性 歯根が割れた奥歯を抜いてインプラントで噛む機能を回復した症例
ご相談内容
定期健診で来院された患者様より「歯茎が腫れて、奥歯が痛む」とご相談いただきました。
カウンセリング・診断結果
拝見したところ、左下の一番奥の歯(第2大臼歯)の歯茎に腫れが認められました。
レントゲン撮影を行って詳しく調べたところ、歯根が縦方向に割れている「歯根破折」が疑われる状態です。
歯根破折は、過去に神経の治療を行った歯に起こりやすいトラブルで、今回のケースでは被せ物の下で破折が進行していたと考えられます。
一度割れてしまった歯根は元に戻すことができず、割れ目から細菌が入り込むことで、歯茎や周囲の骨に炎症を引き起こすおそれがあります。
このまま放置すると、痛みや腫れを繰り返すだけでなく、周囲の骨が溶けて隣接する歯にも悪影響を及ぼすおそれがあるため、抜歯の必要があると診断しました。
行ったご提案・治療内容
まずは左下奥歯に装着されていた被せ物を慎重に除去し、歯根の状態を直接確認します。
その結果、歯根破折が明確に認められたため、歯の温存は困難であると判断しました。
抜歯後の治療として、以下2種類の方法を提案しました。
①延長ブリッジ
手前の歯を支えにして、奥に人工歯を延ばす方法です。
メリット:外科処置が不要で、治療期間が比較的短い。条件によっては保険診療になる
デメリット:支えとなる歯を削る必要がある。奥歯は噛む力が強くかかるため、支えとなる歯に負担がかかりやすい
②インプラント
顎の骨に人工歯根を埋め込み、その上に人工歯を装着する方法です。
メリット:隣の歯を削らずに治療ができる。独立した歯として機能するため、周囲の歯に負担をかけにくい
デメリット:外科処置が必要で、治療期間が長くなる。自費診療なので費用がかかる
それぞれのメリットとデメリットを丁寧にお伝えしたところ、患者様は②のインプラント治療を選択されました。
まずは局所麻酔を行い、破折した歯を丁寧に抜きます。
その後、歯科用CT撮影を行い、顎の骨の量や形、神経や血管の位置を立体的に確認しました。撮影したデータをもとに、インプラントを埋め込む位置や角度、深さについて事前に設計を行い、安全性と噛み合わせのバランスを考慮した治療計画を立てます。
抜歯後は骨の治癒を待つため、約3ヶ月間の経過観察を行いました。
経過観察後、骨の状態が安定したことを確認したら、インプラント体(人工歯根)を顎の骨に埋め込む手術を行います。
インプラント体には、骨と結合しやすく体への親和性が高いチタン製のものを使用しました。
手術では、歯茎を切開した骨を露出させ、専用の器具で慎重に穴を形成したうえでインプラント体を埋入します。続いて歯茎を縫合し、インプラント体が骨と結合するまでの期間を設けました。
後日、インプラント体と骨がしっかりと結合したタイミングで、インプラント体の上に土台を装着し、人工の歯を取り付けます。
また、治療期間中は定期的にレントゲン検査と口腔内の状態確認を行いました。
最後に、装着したインプラントの見た目や使用感、噛む機能の回復などを確認して、治療を終了しています。
この治療のリスクについて
・持病をお持ちの方や、服用中のお薬の種類によっては、外科処置ができない場合があります
・外科処置後に腫れ、出血が生じる場合があります
・外科処置後に痛みが長引く場合があります。必要に応じ痛み止めを併用します
・メンテナンスを怠ったり、喫煙したりすると、お口の中に大きな悪影響を及ぼし、インプラント周囲炎などにかかる可能性があります
・糖尿病、肝硬変、心臓病などの持病をお持ちの場合、インプラント治療ができない可能性があります
・高血圧、貧血・不整脈などの持病をお持ちの場合、インプラント治療後に治癒不全を招く可能性があります
- 年齢・性別 40代女性
- 診療種別 自由診療
- 治療期間の目安 約5ヶ月
- 治療回数の目安 -
- 治療費総額の目安 約420,000円
※掲載された情報は治療の効果を保証するものではありません。
ご利用により万一何らかの損害が発生したとしても、当サイトは一切責任を負いかねますのでご了承ください。
画像をクリックすると拡大・詳細コメントを確認いただけます
-
海谷歯科医院TEL:0352611515
-
海谷歯科医院TEL:0352611515
-
海谷歯科医院TEL:0352611515
-
海谷歯科医院TEL:0352611515
-
海谷歯科医院TEL:0352611515
-
海谷歯科医院TEL:0352611515
-
海谷歯科医院TEL:0352611515
-
海谷歯科医院TEL:0352611515
-
海谷歯科医院TEL:0352611515 -
海谷歯科医院TEL:0352611515
-
海谷歯科医院TEL:0352611515
-
海谷歯科医院TEL:0352611515 -
海谷歯科医院TEL:0352611515 -
海谷歯科医院TEL:0352611515
-
海谷歯科医院TEL:0352611515 -
海谷歯科医院TEL:0352611515 -
海谷歯科医院TEL:0352611515
-
海谷歯科医院TEL:0352611515
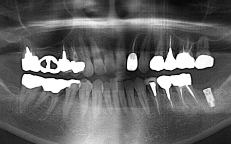
歯根破折が疑われました。
抜歯後の骨の状態を確認しています。
インプラントの埋入設計をしました。
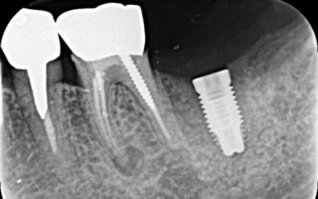
インプラント体と骨の結合を確認しました。
問題を報告する
掲載内容に問題がありますか?
こちらのフォームではココシカ!利用規約に違反している可能性のある情報や、
その他の問題がある内容について直接報告することができます。
この機能は、詐欺、スパム、虚偽、不正確であると思われる情報を報告するためのものです。
報告すべき情報の例
- ・差別的または不快感を与えるもの: 性別、年齢、人種、宗教、身体的特徴などに基づく差別が見られるものはこちらに該当します。過度な出血など過激な表現など不適切な内容が含まれる場合も対象です。
- ・虚偽の情報: 何らかの根拠により虚偽が認められる情報が対象です。
- ・不正確な情報: 治療名やリスク、金額、医院情報などに不正確な内容が含まれるものです。多くの場合、これらの問題はココシカ!の掲載基準違反ではありませんが、情報の更新が求められる場合があります。
- ・広告行為: 本サービスの趣旨に反する投稿です。サービス広告、企業やアプリの宣伝、その他問題があると確認された投稿が該当します。
- ・その他: これらのカテゴリーに当てはまらない問題については、[その他] を選択し詳しい情報をご提供ください。
ココシカ!の情報、技術的な問題、医院ページのレビュー、掲載情報に関する問い合わせ、検索結果などに関する一般的な質問、これらの問題に関するお問い合わせは、サポートチームまでご連絡下さい。
| 診療科目 | 一般歯科、矯正歯科、インプラント、詰め物・被せ物、歯科口腔外科、精密根管治療、歯周病治療、審美治療 |
|---|---|
| 自由診療 | 虫歯治療、精密根管治療、ワイヤー矯正、セラミック・ジルコニア、ブリッジ |
| 住所 | 〒162-0841 東京都新宿区払方町15番地 小暮ビル2F |
| アクセス | ●JR総武線市ヶ谷駅より 徒歩8分 ●地下鉄有楽町線市ヶ谷駅より 徒歩4分 ●大江戸線牛込神楽坂駅より 徒歩4分 ●JR総武線飯田橋駅より 徒歩14分 |
| 診療時間 | 10:00~13:00 14:30~19:30 |
| 休診日 | 土曜 日曜 祝日 |
| 代表者 | 海谷 幸利 |
※記載の内容は最新の情報と異なる場合がございます。正確な情報は歯科医院にご確認ください。
この歯科医院の他の症例
NEW CONTENT 新着コンテンツ
-
「第22回 一般社団法人 日本外傷歯学会・総会・学術大会」開幕、リハビリにフォーカスして歯の損失リスク軽減を目指す
2022.8.8 一般歯科
-
クラウド型歯科用レセコン「POWER5G」が口腔内シミュレーションサービス「DMFTシミュレーター」と提携
2022.6.28 予防歯科
-
豪発のブランド「ビーボックス」から歯固め発売、乳幼児でも持ちやすい設計に
2022.6.24 小児歯科
-
韓国発ライフスタイルケアブランド「ソルトレイン」日本初上陸、伊勢丹新宿でポップアップも
2022.6.22 その他
-
デントウェーブ運営の歯科衛生士向けコミュニティ「歯科衛生士のcoe」無料オンラインイベント開催
2022.3.2 その他
-
竹素材のオーガニック歯ブラシ、日本発サステナブランド「ミヨオーガニック」展開
2022.2.17 予防歯科
