- 詰め物・被せもの
- セラミック・ジルコニア
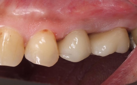
50代男性 欠けた奥歯をジルコニアクラウンで修復した症例
ご相談内容
「歯が欠けてしまった」とご相談いただきました。
カウンセリング・診断結果
拝見したところ、左上奥歯の被せ物が割れていました。
この歯には、3年前に当院で白い被せ物のCAD/CAM冠を装着していました。
CAD/CAM冠は、コンピューターで設計・製作されるレジン(プラスチック)ベースの被せ物です。
保険適用で白い歯にできますがセラミックと比べると強度がやや劣り、強い力がかかると今回のように破損することがあります。
割れた部分をそのまま放置すると、欠けた隙間から細菌が侵入し虫歯が再発する可能性や、歯の土台に負担がかかって状態が悪化するおそれがあります。
以上のことから、新しく被せ物を作り直す治療が必要と診断しました。
行ったご提案・治療内容
診断結果について丁寧にお伝えしたうえで、奥歯の新しい被せ物にはジルコニアクラウンを提案しました。
ジルコニアは人工ダイヤモンドと呼ばれるほど強度が高く、噛む力が強くかかる奥歯にも適した素材です。見た目も白く自然で、金属を使用しないため金属アレルギーの心配もありません。
ただ、固い素材であるため噛み合わせの調整を適切に行わないと噛み合う相手の歯を痛める可能性があることや、自費診療のため費用負担が大きくなるといったデメリットもあります。
患者様は今回のことを踏まえ「より強くて見た目も自然なものにしたい」と、ジルコニアクラウンでの治療に同意いただきました。
まず、破損したCAD/CAM冠を慎重に取り除きます。
歯の土台の状態を確認したところ大きな損傷は見られなかったため、表面を整える処置を行い新しい被せ物が適切に装着できるよう仕上げました。
次に精密な歯型を採取し、技工所にジルコニアクラウンの製作を依頼しました。
後日、完成したジルコニアクラウンが歯にぴったりと合っているか、噛み合わせに問題がないかを確認しながら微調整を行っています。
全体の歯にバランスよく力がかかるよう配慮して装着し、治療を終了しました。
この治療のリスクについて
・装着に際し、天然歯を削る場合があります
・硬い素材の場合、他の天然歯を傷つけることがあります
・噛み合わせや歯ぎしりが強い場合、セラミックが割れる可能性があります
・一部の治療を除き、自費診療(保険適用外治療)です
- 年齢・性別 50代男性
- 診療種別 自由診療
- 治療期間の目安 約2週間
- 治療回数の目安 -
-
治療費総額の目安
約130,000円
(ジルコニアクラウン)
※掲載された情報は治療の効果を保証するものではありません。
ご利用により万一何らかの損害が発生したとしても、当サイトは一切責任を負いかねますのでご了承ください。
画像をクリックすると拡大・詳細コメントを確認いただけます
-
海谷歯科医院TEL:0352611515
-
海谷歯科医院TEL:0352611515
-
海谷歯科医院TEL:0352611515
-
海谷歯科医院TEL:0352611515 -
海谷歯科医院TEL:0352611515
-
海谷歯科医院TEL:0352611515
問題を報告する
掲載内容に問題がありますか?
こちらのフォームではココシカ!利用規約に違反している可能性のある情報や、
その他の問題がある内容について直接報告することができます。
この機能は、詐欺、スパム、虚偽、不正確であると思われる情報を報告するためのものです。
報告すべき情報の例
- ・差別的または不快感を与えるもの: 性別、年齢、人種、宗教、身体的特徴などに基づく差別が見られるものはこちらに該当します。過度な出血など過激な表現など不適切な内容が含まれる場合も対象です。
- ・虚偽の情報: 何らかの根拠により虚偽が認められる情報が対象です。
- ・不正確な情報: 治療名やリスク、金額、医院情報などに不正確な内容が含まれるものです。多くの場合、これらの問題はココシカ!の掲載基準違反ではありませんが、情報の更新が求められる場合があります。
- ・広告行為: 本サービスの趣旨に反する投稿です。サービス広告、企業やアプリの宣伝、その他問題があると確認された投稿が該当します。
- ・その他: これらのカテゴリーに当てはまらない問題については、[その他] を選択し詳しい情報をご提供ください。
ココシカ!の情報、技術的な問題、医院ページのレビュー、掲載情報に関する問い合わせ、検索結果などに関する一般的な質問、これらの問題に関するお問い合わせは、サポートチームまでご連絡下さい。
| 診療科目 | 一般歯科、矯正歯科、インプラント、詰め物・被せ物、歯科口腔外科、精密根管治療、歯周病治療、審美治療 |
|---|---|
| 自由診療 | 虫歯治療、精密根管治療、ワイヤー矯正、セラミック・ジルコニア、ブリッジ |
| 住所 | 〒162-0841 東京都新宿区払方町15番地 小暮ビル2F |
| アクセス | ●JR総武線市ヶ谷駅より 徒歩8分 ●地下鉄有楽町線市ヶ谷駅より 徒歩4分 ●大江戸線牛込神楽坂駅より 徒歩4分 ●JR総武線飯田橋駅より 徒歩14分 |
| 診療時間 | 10:00~13:00 14:30~19:30 |
| 休診日 | 土曜 日曜 祝日 |
| 代表者 | 海谷 幸利 |
※記載の内容は最新の情報と異なる場合がございます。正確な情報は歯科医院にご確認ください。
この歯科医院の他の症例
NEW CONTENT 新着コンテンツ
-
「第22回 一般社団法人 日本外傷歯学会・総会・学術大会」開幕、リハビリにフォーカスして歯の損失リスク軽減を目指す
2022.8.8 一般歯科
-
クラウド型歯科用レセコン「POWER5G」が口腔内シミュレーションサービス「DMFTシミュレーター」と提携
2022.6.28 予防歯科
-
豪発のブランド「ビーボックス」から歯固め発売、乳幼児でも持ちやすい設計に
2022.6.24 小児歯科
-
韓国発ライフスタイルケアブランド「ソルトレイン」日本初上陸、伊勢丹新宿でポップアップも
2022.6.22 その他
-
デントウェーブ運営の歯科衛生士向けコミュニティ「歯科衛生士のcoe」無料オンラインイベント開催
2022.3.2 その他
-
竹素材のオーガニック歯ブラシ、日本発サステナブランド「ミヨオーガニック」展開
2022.2.17 予防歯科
