- 矯正歯科
- マウスピース矯正
- 抜歯
20代男性 乱れた歯並びをマウスピース型矯正装置で整えた症例
ご相談内容
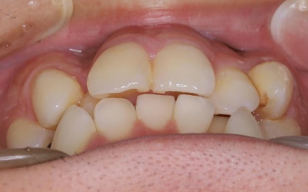
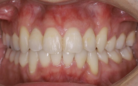
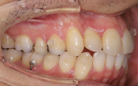
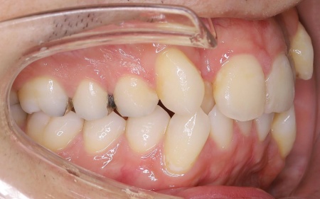
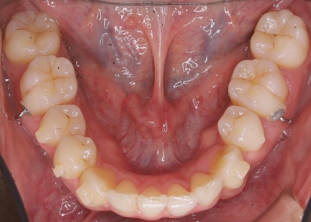
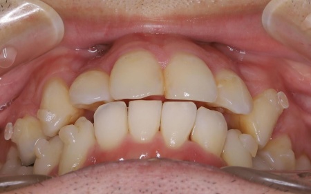
「前歯がガタガタしているのが気になる」とご相談をいただきました。
カウンセリング・診断結果
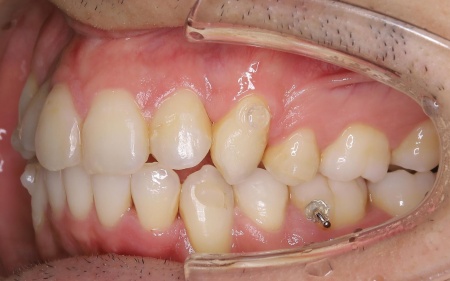
拝見したところ、歯並び全体が大きく乱れており、特に上の前歯は本来の生える位置からずれて互いに重なり合っている状態でした。その影響もあり、口を閉じたときに唇が少し前に出て見えています。
さらに上の前歯の中心が右側に寄っていることに加え、下あごが少し後ろに下がっている骨格のため噛み合わせにも影響が出ています。
レントゲン検査などで詳しく確認した結果、このまま放置すると見た目の問題だけでなく、歯ブラシが届かない部分に汚れが溜まりやすく、虫歯や歯周病のリスクが高まることも判明しました。
以上のことから、歯並びの乱れを整える治療が必要と診断しました。
行ったご提案・治療内容
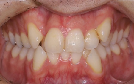
歯並びの乱れを整え、上前歯の中心を顔の真ん中に揃えるためにマウスピース型矯正装置であるインビザラインコンプリヘンシブパッケージによる矯正治療を提案し、同意いただきました。
インビザラインコンプリヘンシブパッケージは透明のプラスチック製のため、装着時の見た目に影響が出にくく、食事や歯磨きの際に取り外せるため口腔内を清潔に保ちやすいのがメリットです。
一方で、決められた時間はしっかりマウスピースを装着すること、交換のタイミングを患者様自身で管理する必要があります。
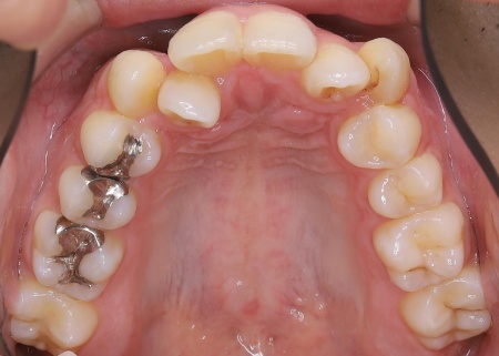
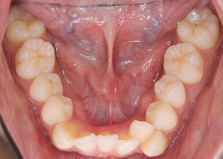
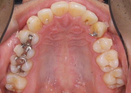
また歯を正しく並べるにはスペースが必要になるため、左上と左下の4番目の歯(第1小臼歯)を抜歯する必要があることも説明し、了承いただいています。
まず、左上と左下の第1小臼歯の計2本を抜歯しました。
その後、矯正用のマウスピースを作るために歯型取りを行い、完成したマウスピースを毎日決められた時間しっかり装着していただきました。
またマウスピースに付けられた小さな突起に医療用のゴムをかけ、歯が正しい方向に動くよう誘導する治療も並行して行っています。
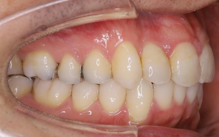
マウスピースは定期的に新しいものに交換しながら、歯並びと噛み合わせが整うよう段階的に治療を進めていきました。
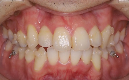
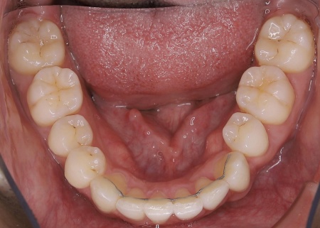
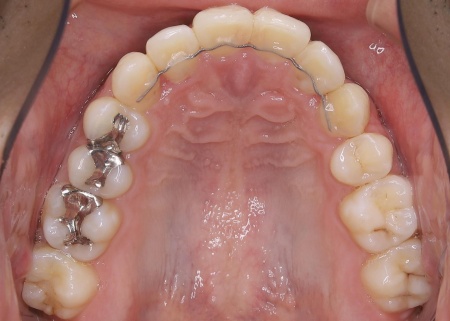
矯正治療が終了した現在は、歯が元の位置に戻るのを防ぐための保定装置を使用していただいています。
この治療のリスクについて
・外科処置後に腫れ、出血が生じる場合があります
・決められたスケジュールを守らない場合、十分な効果が得られない可能性があります
・マウスピースに対応していない症例の場合、治療が難しい可能性があります
・歯の移動に伴って、痛みや違和感を感じる場合があります
・正しいブラッシングやメンテナンスを行わない場合、虫歯や歯周病のリスクが高まります
- 年齢・性別 20代男性
- 診療種別 自由診療
- 治療期間の目安 2年
- 治療回数の目安 -
- 治療費総額の目安 850,000円
※掲載された情報は治療の効果を保証するものではありません。
ご利用により万一何らかの損害が発生したとしても、当サイトは一切責任を負いかねますのでご了承ください。
画像をクリックすると拡大・詳細コメントを確認いただけます
-
南舘歯科医院TEL:0223244880
-
南舘歯科医院TEL:0223244880
-
南舘歯科医院TEL:0223244880
-
南舘歯科医院TEL:0223244880
-
南舘歯科医院TEL:0223244880
-
南舘歯科医院TEL:0223244880
-
南舘歯科医院TEL:0223244880
-
南舘歯科医院TEL:0223244880
-
南舘歯科医院TEL:0223244880
-
南舘歯科医院TEL:0223244880
-
南舘歯科医院TEL:0223244880
-
南舘歯科医院TEL:0223244880
-
南舘歯科医院TEL:0223244880
-
南舘歯科医院TEL:0223244880
-
南舘歯科医院TEL:0223244880
-
南舘歯科医院TEL:0223244880
-
南舘歯科医院TEL:0223244880
-
南舘歯科医院TEL:0223244880
問題を報告する
掲載内容に問題がありますか?
こちらのフォームではココシカ!利用規約に違反している可能性のある情報や、
その他の問題がある内容について直接報告することができます。
この機能は、詐欺、スパム、虚偽、不正確であると思われる情報を報告するためのものです。
報告すべき情報の例
- ・差別的または不快感を与えるもの: 性別、年齢、人種、宗教、身体的特徴などに基づく差別が見られるものはこちらに該当します。過度な出血など過激な表現など不適切な内容が含まれる場合も対象です。
- ・虚偽の情報: 何らかの根拠により虚偽が認められる情報が対象です。
- ・不正確な情報: 治療名やリスク、金額、医院情報などに不正確な内容が含まれるものです。多くの場合、これらの問題はココシカ!の掲載基準違反ではありませんが、情報の更新が求められる場合があります。
- ・広告行為: 本サービスの趣旨に反する投稿です。サービス広告、企業やアプリの宣伝、その他問題があると確認された投稿が該当します。
- ・その他: これらのカテゴリーに当てはまらない問題については、[その他] を選択し詳しい情報をご提供ください。
ココシカ!の情報、技術的な問題、医院ページのレビュー、掲載情報に関する問い合わせ、検索結果などに関する一般的な質問、これらの問題に関するお問い合わせは、サポートチームまでご連絡下さい。
| 診療科目 | 一般歯科、予防歯科、小児歯科、矯正歯科、マタニティ歯科、歯科口腔外科、ホワイトニング、インプラント |
|---|---|
| 自由診療 | 小児矯正、マウスピース矯正、セラミック治療、オフィスホワイトニング、ホームホワイトニング、インプラント、入れ歯 |
| 住所 | 〒989-2445 宮城県岩沼市桑原1丁目6-8 |
| アクセス | 宮城交通バス「竹駒神社前」より 徒歩5分 |
| 診療時間 | 【月・火・水・金】 09:00〜13:00/14:30〜18:00 【木・土】 09:00〜13:00 |
| 休診日 | 日・祝 |
| 代表者 | 南舘 英明 |
※記載の内容は最新の情報と異なる場合がございます。正確な情報は歯科医院にご確認ください。
この歯科医院の他の症例
NEW CONTENT 新着コンテンツ
-
「第22回 一般社団法人 日本外傷歯学会・総会・学術大会」開幕、リハビリにフォーカスして歯の損失リスク軽減を目指す
2022.8.8 一般歯科
-
クラウド型歯科用レセコン「POWER5G」が口腔内シミュレーションサービス「DMFTシミュレーター」と提携
2022.6.28 予防歯科
-
豪発のブランド「ビーボックス」から歯固め発売、乳幼児でも持ちやすい設計に
2022.6.24 小児歯科
-
韓国発ライフスタイルケアブランド「ソルトレイン」日本初上陸、伊勢丹新宿でポップアップも
2022.6.22 その他
-
デントウェーブ運営の歯科衛生士向けコミュニティ「歯科衛生士のcoe」無料オンラインイベント開催
2022.3.2 その他
-
竹素材のオーガニック歯ブラシ、日本発サステナブランド「ミヨオーガニック」展開
2022.2.17 予防歯科
