- 矯正歯科
- マウスピース矯正
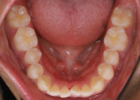
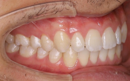
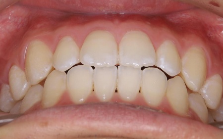
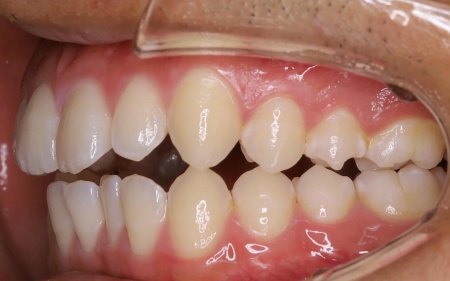
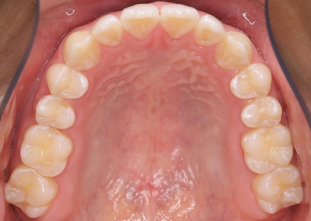
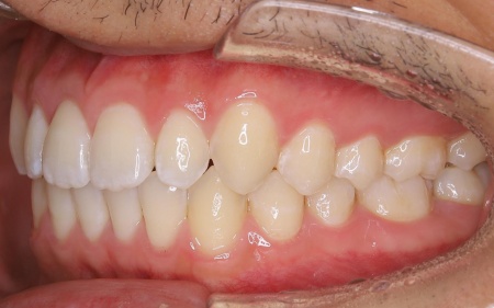
20代男性 前歯で食べ物が噛めない噛み合わせをマウスピース矯正で治療した症例
ご相談内容
「上下前歯に隙間が開いていて、前歯で食べ物を噛むことができない」とご相談いただきました。
カウンセリング・診断結果
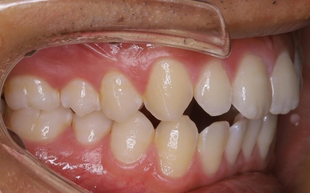
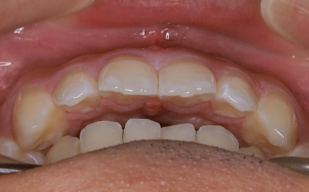
拝見したところ、歯並びの乱れは軽度だったものの、下顎が標準より後方に位置していたため、噛み合わせも全体的に後方へずれてしまっていました。
また、奥歯で噛んだ際に上下前歯が触れ合わず隙間ができてしまう「開咬(かいこう)」も認められます。
開咬は、前歯で食べ物を噛み切るのが難しい噛み合わせなので、食べ物をよく噛まずに飲み込んだ結果、胃腸に負担がかかる場合があります。
このまま放置すると、奥歯に過度な負荷がかかって奥歯が割れたり欠けたりするリスクもあるため、噛み合わせと歯並びを改善する矯正治療が必要だと診断しました。
行ったご提案・治療内容
前歯で噛めるように歯並びを整えるには、歯を正しい位置に移動させるためのスペースが必要です。
そこで、歯の移動スペースを確保する方法として、下顎の親知らずを両側とも抜くことをお伝えし、同意いただきました。上顎には親知らずがありませんでした。
また矯正治療の方法として、今回はマウスピース型の矯正装置を用いた「インビザライン コンプリヘンシブ」を提案し、こちらも同意いただきました。
インビザライン コンプリヘンシブとは、マウスピースを段階的に交換しながら歯を少しずつ動かしていく方法で、幅広い症例に対応可能です。
メリット
・マウスピースは透明なので、装着していても目立ちにくい
・取り外しができるため、食事や歯磨きがしやすい
デメリット
・装着時間を守らないと、歯が計画どおりに動かないおそれがある
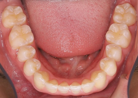
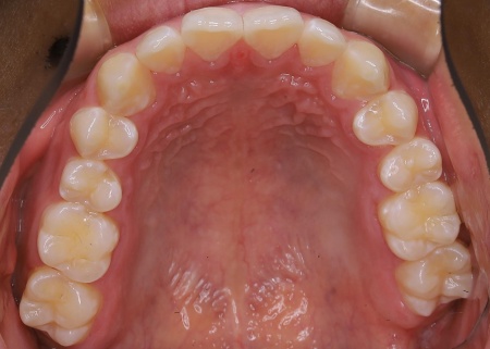
まず、下左右の親知らず(第3大臼歯)を計2本抜きます。
次に患者様専用のマウスピースを作製し、マウスピースの装着方法やお手入れの注意点、1日の装着時間、定期的に新しいマウスピースに交換することなどを丁寧にお伝えしました。
また、上下の歯の位置関係を調整し、前歯の噛み合わせを効率的に整えるために、上下の歯にかける「顎間ゴム」を併用しています。
矯正期間終了後は歯並びが整い、前歯でしっかりと噛めるようになりました。
現在は、歯並びの後戻りを防止するための装置を使用していただいているため、安定した状態を保っています。
この治療のリスクについて
・決められたスケジュールを守らない場合、十分な効果が得られない可能性があります
・マウスピースに対応していない症例の場合、治療が難しい可能性があります
・歯の移動に伴って、痛みや違和感を感じる場合があります
・正しいブラッシングやメンテナンスを行わない場合、虫歯や歯周病のリスクが高まります
- 年齢・性別 20代男性
- 診療種別 自由診療
- 治療期間の目安 15ヶ月
- 治療回数の目安 -
- 治療費総額の目安 850,000円
※掲載された情報は治療の効果を保証するものではありません。
ご利用により万一何らかの損害が発生したとしても、当サイトは一切責任を負いかねますのでご了承ください。
画像をクリックすると拡大・詳細コメントを確認いただけます
-
南舘歯科医院TEL:0223244880
-
南舘歯科医院TEL:0223244880 -
南舘歯科医院TEL:0223244880
-
南舘歯科医院TEL:0223244880
-
南舘歯科医院TEL:0223244880 -
南舘歯科医院TEL:0223244880
-
南舘歯科医院TEL:0223244880
-
南舘歯科医院TEL:0223244880 -
南舘歯科医院TEL:0223244880
-
南舘歯科医院TEL:0223244880
-
南舘歯科医院TEL:0223244880 -
南舘歯科医院TEL:0223244880
-
南舘歯科医院TEL:0223244880
-
南舘歯科医院TEL:0223244880 -
南舘歯科医院TEL:0223244880
-
南舘歯科医院TEL:0223244880
-
南舘歯科医院TEL:0223244880 -
南舘歯科医院TEL:0223244880
問題を報告する
掲載内容に問題がありますか?
こちらのフォームではココシカ!利用規約に違反している可能性のある情報や、
その他の問題がある内容について直接報告することができます。
この機能は、詐欺、スパム、虚偽、不正確であると思われる情報を報告するためのものです。
報告すべき情報の例
- ・差別的または不快感を与えるもの: 性別、年齢、人種、宗教、身体的特徴などに基づく差別が見られるものはこちらに該当します。過度な出血など過激な表現など不適切な内容が含まれる場合も対象です。
- ・虚偽の情報: 何らかの根拠により虚偽が認められる情報が対象です。
- ・不正確な情報: 治療名やリスク、金額、医院情報などに不正確な内容が含まれるものです。多くの場合、これらの問題はココシカ!の掲載基準違反ではありませんが、情報の更新が求められる場合があります。
- ・広告行為: 本サービスの趣旨に反する投稿です。サービス広告、企業やアプリの宣伝、その他問題があると確認された投稿が該当します。
- ・その他: これらのカテゴリーに当てはまらない問題については、[その他] を選択し詳しい情報をご提供ください。
ココシカ!の情報、技術的な問題、医院ページのレビュー、掲載情報に関する問い合わせ、検索結果などに関する一般的な質問、これらの問題に関するお問い合わせは、サポートチームまでご連絡下さい。
| 診療科目 | 一般歯科、予防歯科、小児歯科、矯正歯科、マタニティ歯科、歯科口腔外科、ホワイトニング、インプラント |
|---|---|
| 自由診療 | 小児矯正、マウスピース矯正、セラミック治療、オフィスホワイトニング、ホームホワイトニング、インプラント、入れ歯 |
| 住所 | 〒989-2445 宮城県岩沼市桑原1丁目6-8 |
| アクセス | 宮城交通バス「竹駒神社前」より 徒歩5分 |
| 診療時間 | 【月・火・水・金】 09:00〜13:00/14:30〜18:00 【木・土】 09:00〜13:00 |
| 休診日 | 日・祝 |
| 代表者 | 南舘 英明 |
※記載の内容は最新の情報と異なる場合がございます。正確な情報は歯科医院にご確認ください。
この歯科医院の他の症例
NEW CONTENT 新着コンテンツ
-
「第22回 一般社団法人 日本外傷歯学会・総会・学術大会」開幕、リハビリにフォーカスして歯の損失リスク軽減を目指す
2022.8.8 一般歯科
-
クラウド型歯科用レセコン「POWER5G」が口腔内シミュレーションサービス「DMFTシミュレーター」と提携
2022.6.28 予防歯科
-
豪発のブランド「ビーボックス」から歯固め発売、乳幼児でも持ちやすい設計に
2022.6.24 小児歯科
-
韓国発ライフスタイルケアブランド「ソルトレイン」日本初上陸、伊勢丹新宿でポップアップも
2022.6.22 その他
-
デントウェーブ運営の歯科衛生士向けコミュニティ「歯科衛生士のcoe」無料オンラインイベント開催
2022.3.2 その他
-
竹素材のオーガニック歯ブラシ、日本発サステナブランド「ミヨオーガニック」展開
2022.2.17 予防歯科
