- 矯正歯科
- マウスピース矯正
- 歯科口腔外科
- 親知らず
20代女性 突出した口元と乱れた歯並びをマウスピース矯正で改善した症例
ご相談内容
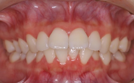
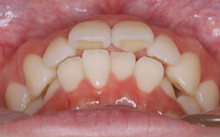
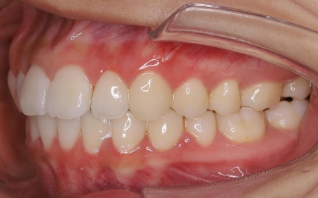
「出っ歯で、口元が前に出ているのが気になる。前歯で食べ物を噛むことができない」とご相談いただきました。
カウンセリング・診断結果
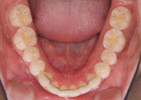
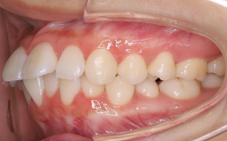
拝見したところ、下顎が本来の位置よりも後ろに下がっており、口元が全体的に突出して見える状態です。
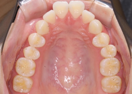
また、前歯が前に傾いてデコボコに生えており、上の奥歯も前方にずれてうまく噛み合っていません。
このまま放置すると、次の問題が生じるおそれがあります。
・噛みにくさや噛み合わせの不具合による顎関節への負担増加
・見た目の不自然さによる心理的なストレス
・歯並びが乱れていると歯ブラシがあたりにくく、虫歯や歯周病のリスクが高まる
以上のことから、歯並びを整える矯正治療が必要だと診断しました。
行ったご提案・治療内容
歯並びを整える治療として、歯を移動させるスペースを作るために、歯茎の中に埋まっている親知らずを3本抜き、その後「マウスピース矯正」で歯を移動させる方法を提案し、同意いただきました。
マウスピース矯正とは、取り外し可能なマウスピースを装着して歯を徐々に動かす治療方法です。
マウスピースは透明なので目立ちにくく、着脱して洗浄ができるため衛生的に治療を進めることができます。
一方で、装着時間を守らないと効果を得られにくい点がデメリットです。
今回は、マウスピース矯正のなかでもさまざまな症例に対応可能で、使用するマウスピースの数に制限がない「インビザライン コンプリヘンシブ」を用います。
また、治療中は上下の歯に小さなゴムをかけて顎の位置や歯の動きを調整する「顎間ゴム」を併用し、上の歯を後方へ移動させます。
まず、親知らず(第3大臼歯)を3本抜きました。
その後、インビザライン コンプリヘンシブと顎間ゴムを併用して矯正治療を行います。
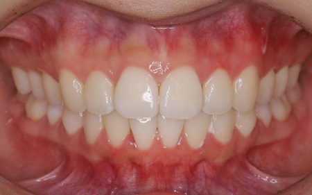
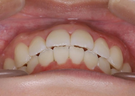
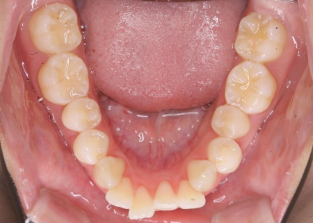
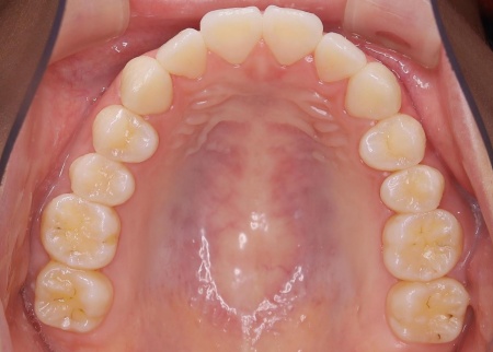
1年3ヶ月の治療期間を経て、歯の移動が終了しました。
現在は歯の後戻りを防止するため、下前歯の裏側にワイヤーで固定する「フィックスリテーナー」を装着し、安定した歯並びと噛み合わせを維持しています。
この治療のリスクについて
・決められたスケジュールを守らない場合、十分な効果が得られない可能性があります
・マウスピースに対応していない症例の場合、治療が難しい可能性があります
・歯の移動に伴って、痛みや違和感を感じる場合があります
・正しいブラッシングやメンテナンスを行わない場合、虫歯や歯周病のリスクが高まります
- 年齢・性別 20代女性
- 診療種別 自由診療
- 治療期間の目安 1年8ヶ月
- 治療回数の目安 -
- 治療費総額の目安 850,000円
※掲載された情報は治療の効果を保証するものではありません。
ご利用により万一何らかの損害が発生したとしても、当サイトは一切責任を負いかねますのでご了承ください。
画像をクリックすると拡大・詳細コメントを確認いただけます
-
南舘歯科医院TEL:0223244880
-
南舘歯科医院TEL:0223244880 -
南舘歯科医院TEL:0223244880
-
南舘歯科医院TEL:0223244880
-
南舘歯科医院TEL:0223244880 -
南舘歯科医院TEL:0223244880
-
南舘歯科医院TEL:0223244880
-
南舘歯科医院TEL:0223244880 -
南舘歯科医院TEL:0223244880
-
南舘歯科医院TEL:0223244880
-
南舘歯科医院TEL:0223244880 -
南舘歯科医院TEL:0223244880
-
南舘歯科医院TEL:0223244880
-
南舘歯科医院TEL:0223244880 -
南舘歯科医院TEL:0223244880
-
南舘歯科医院TEL:0223244880
-
南舘歯科医院TEL:0223244880 -
南舘歯科医院TEL:0223244880
問題を報告する
掲載内容に問題がありますか?
こちらのフォームではココシカ!利用規約に違反している可能性のある情報や、
その他の問題がある内容について直接報告することができます。
この機能は、詐欺、スパム、虚偽、不正確であると思われる情報を報告するためのものです。
報告すべき情報の例
- ・差別的または不快感を与えるもの: 性別、年齢、人種、宗教、身体的特徴などに基づく差別が見られるものはこちらに該当します。過度な出血など過激な表現など不適切な内容が含まれる場合も対象です。
- ・虚偽の情報: 何らかの根拠により虚偽が認められる情報が対象です。
- ・不正確な情報: 治療名やリスク、金額、医院情報などに不正確な内容が含まれるものです。多くの場合、これらの問題はココシカ!の掲載基準違反ではありませんが、情報の更新が求められる場合があります。
- ・広告行為: 本サービスの趣旨に反する投稿です。サービス広告、企業やアプリの宣伝、その他問題があると確認された投稿が該当します。
- ・その他: これらのカテゴリーに当てはまらない問題については、[その他] を選択し詳しい情報をご提供ください。
ココシカ!の情報、技術的な問題、医院ページのレビュー、掲載情報に関する問い合わせ、検索結果などに関する一般的な質問、これらの問題に関するお問い合わせは、サポートチームまでご連絡下さい。
| 診療科目 | 一般歯科、予防歯科、小児歯科、矯正歯科、マタニティ歯科、歯科口腔外科、ホワイトニング、インプラント |
|---|---|
| 自由診療 | 小児矯正、マウスピース矯正、セラミック治療、オフィスホワイトニング、ホームホワイトニング、インプラント、入れ歯 |
| 住所 | 〒989-2445 宮城県岩沼市桑原1丁目6-8 |
| アクセス | 宮城交通バス「竹駒神社前」より 徒歩5分 |
| 診療時間 | 【月・火・水・金】 09:00〜13:00/14:30〜18:00 【木・土】 09:00〜13:00 |
| 休診日 | 日・祝 |
| 代表者 | 南舘 英明 |
※記載の内容は最新の情報と異なる場合がございます。正確な情報は歯科医院にご確認ください。
この歯科医院の他の症例
NEW CONTENT 新着コンテンツ
-
「第22回 一般社団法人 日本外傷歯学会・総会・学術大会」開幕、リハビリにフォーカスして歯の損失リスク軽減を目指す
2022.8.8 一般歯科
-
クラウド型歯科用レセコン「POWER5G」が口腔内シミュレーションサービス「DMFTシミュレーター」と提携
2022.6.28 予防歯科
-
豪発のブランド「ビーボックス」から歯固め発売、乳幼児でも持ちやすい設計に
2022.6.24 小児歯科
-
韓国発ライフスタイルケアブランド「ソルトレイン」日本初上陸、伊勢丹新宿でポップアップも
2022.6.22 その他
-
デントウェーブ運営の歯科衛生士向けコミュニティ「歯科衛生士のcoe」無料オンラインイベント開催
2022.3.2 その他
-
竹素材のオーガニック歯ブラシ、日本発サステナブランド「ミヨオーガニック」展開
2022.2.17 予防歯科
