- 矯正歯科
- マウスピース矯正
- 抜歯
30代女性 著しくデコボコしていた歯並びをマウスピース矯正で治療した症例
ご相談内容
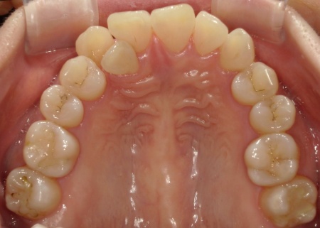
「歯並びがデコボコで、上下の歯の中心がずれているのが気になる」とご相談いただきました。
カウンセリング・診断結果
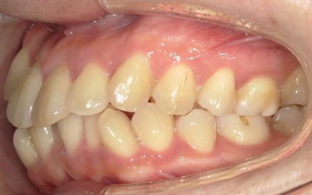
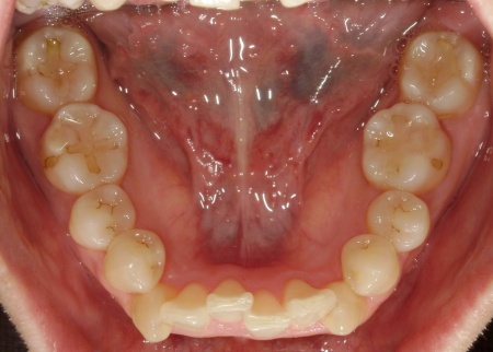
拝見したところ、下顎が大きく後ろに下がっているうえ、唇が少し前に出ていました。
さらに、歯並びが著しくデコボコしており、歯が正しく並ぶためのスペースも不足しています。
歯が重なり合っていることで歯ブラシが届きにくい部位があり、このまま放置すると虫歯や歯周病が進行し、最終的には歯を失うリスクもあるため、歯並びを整える治療が必要だと診断しました。
行ったご提案・治療内容
患者様は「できるだけ目立たない方法で、可能なら短期間で口元を改善したい」と希望されています。
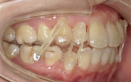
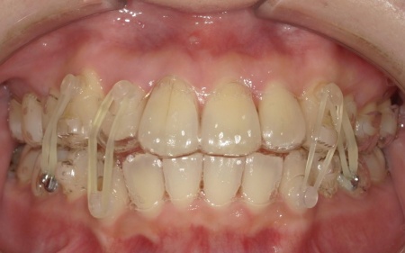
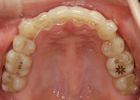
そのため、歯を並べるスペースを確保するために上下左右の奥歯(第1小臼歯)合計4本を抜き、その後マウスピース型矯正装置「インビザライン」で矯正治療を行う方法を提案し、同意いただきました。
インビザラインは、取り外しが可能なので歯磨きなどの清掃がしやすい、透明で目立ちにくいというメリットがありますが、装着時間を守るなどの自己管理が必要な点がデメリットです。
今回は、使用するマウスピースの枚数に制限がなく治療が長引いても継続可能で、幅広い症例にも対応している「インビザライン・コンプリヘンシブ」というプランを採用しました。
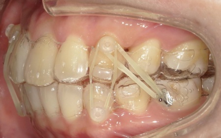
まずは上下左右の奥歯4本を慎重に抜き、インビザラインでの矯正治療を開始します。
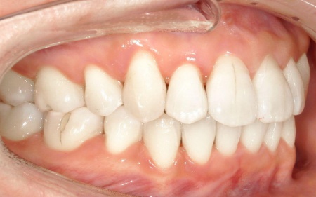
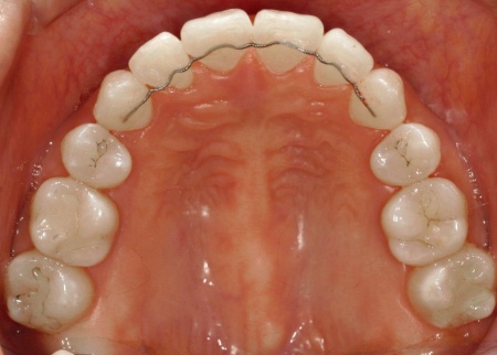
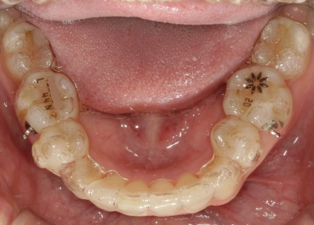
治療中は、噛み合わせや歯の位置関係を整えるために「顎間ゴム」も併用し、約1年半で治療が終了しました。
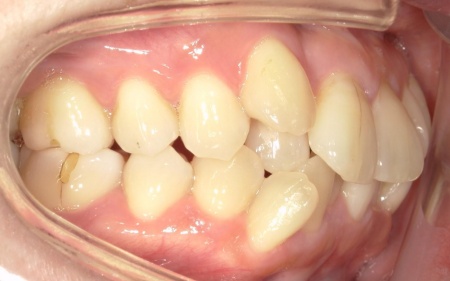
現在は、歯並びが元に戻るのを防止する「リテーナー」を夜間のみ装着いただき、安定した状態を保っています。
この治療のリスクについて
・決められたスケジュールを守らない場合、十分な効果が得られない可能性があります
・マウスピースに対応していない症例の場合、治療が難しい可能性があります
・歯の移動に伴って、痛みや違和感を感じる場合があります
・正しいブラッシングやメンテナンスを行わない場合、虫歯や歯周病のリスクが高まります
・持病をお持ちの方や、服用中のお薬の種類によっては、外科処置ができない場合があります
・外科処置後に腫れ、出血が生じる場合があります
- 年齢・性別 30代女性
- 診療種別 自由診療
- 治療期間の目安 1年6ヶ月
- 治療回数の目安 6回
- 治療費総額の目安 850,000円
※掲載された情報は治療の効果を保証するものではありません。
ご利用により万一何らかの損害が発生したとしても、当サイトは一切責任を負いかねますのでご了承ください。
画像をクリックすると拡大・詳細コメントを確認いただけます
-
南舘歯科医院TEL:0223244880
-
南舘歯科医院TEL:0223244880
-
南舘歯科医院TEL:0223244880
-
南舘歯科医院TEL:0223244880
-
南舘歯科医院TEL:0223244880
-
南舘歯科医院TEL:0223244880
-
南舘歯科医院TEL:0223244880
-
南舘歯科医院TEL:0223244880
-
南舘歯科医院TEL:0223244880
-
南舘歯科医院TEL:0223244880
-
南舘歯科医院TEL:0223244880
-
南舘歯科医院TEL:0223244880
-
南舘歯科医院TEL:0223244880
-
南舘歯科医院TEL:0223244880
-
南舘歯科医院TEL:0223244880
問題を報告する
掲載内容に問題がありますか?
こちらのフォームではココシカ!利用規約に違反している可能性のある情報や、
その他の問題がある内容について直接報告することができます。
この機能は、詐欺、スパム、虚偽、不正確であると思われる情報を報告するためのものです。
報告すべき情報の例
- ・差別的または不快感を与えるもの: 性別、年齢、人種、宗教、身体的特徴などに基づく差別が見られるものはこちらに該当します。過度な出血など過激な表現など不適切な内容が含まれる場合も対象です。
- ・虚偽の情報: 何らかの根拠により虚偽が認められる情報が対象です。
- ・不正確な情報: 治療名やリスク、金額、医院情報などに不正確な内容が含まれるものです。多くの場合、これらの問題はココシカ!の掲載基準違反ではありませんが、情報の更新が求められる場合があります。
- ・広告行為: 本サービスの趣旨に反する投稿です。サービス広告、企業やアプリの宣伝、その他問題があると確認された投稿が該当します。
- ・その他: これらのカテゴリーに当てはまらない問題については、[その他] を選択し詳しい情報をご提供ください。
ココシカ!の情報、技術的な問題、医院ページのレビュー、掲載情報に関する問い合わせ、検索結果などに関する一般的な質問、これらの問題に関するお問い合わせは、サポートチームまでご連絡下さい。
| 診療科目 | 一般歯科、予防歯科、小児歯科、矯正歯科、マタニティ歯科、歯科口腔外科、ホワイトニング、インプラント |
|---|---|
| 自由診療 | 小児矯正、マウスピース矯正、セラミック治療、オフィスホワイトニング、ホームホワイトニング、インプラント、入れ歯 |
| 住所 | 〒989-2445 宮城県岩沼市桑原1丁目6-8 |
| アクセス | 宮城交通バス「竹駒神社前」より 徒歩5分 |
| 診療時間 | 【月・火・水・金】 09:00〜13:00/14:30〜18:00 【木・土】 09:00〜13:00 |
| 休診日 | 日・祝 |
| 代表者 | 南舘 英明 |
※記載の内容は最新の情報と異なる場合がございます。正確な情報は歯科医院にご確認ください。
この歯科医院の他の症例
NEW CONTENT 新着コンテンツ
-
「第22回 一般社団法人 日本外傷歯学会・総会・学術大会」開幕、リハビリにフォーカスして歯の損失リスク軽減を目指す
2022.8.8 一般歯科
-
クラウド型歯科用レセコン「POWER5G」が口腔内シミュレーションサービス「DMFTシミュレーター」と提携
2022.6.28 予防歯科
-
豪発のブランド「ビーボックス」から歯固め発売、乳幼児でも持ちやすい設計に
2022.6.24 小児歯科
-
韓国発ライフスタイルケアブランド「ソルトレイン」日本初上陸、伊勢丹新宿でポップアップも
2022.6.22 その他
-
デントウェーブ運営の歯科衛生士向けコミュニティ「歯科衛生士のcoe」無料オンラインイベント開催
2022.3.2 その他
-
竹素材のオーガニック歯ブラシ、日本発サステナブランド「ミヨオーガニック」展開
2022.2.17 予防歯科
