- 口腔筋トレーニング(MFT)
- 矯正歯科
- マウスピース矯正
40代女性 デコボコの歯並びと開咬をマウスピース矯正と舌のトレーニングで改善した症例
ご相談内容
「奥歯で噛むと上下前歯が触れ合わないので、噛み合わせを治したい。また、歯並びがデコボコしているのも気になる」とご相談いただきました。
カウンセリング・診断結果
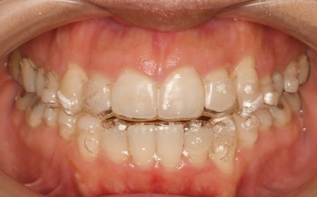
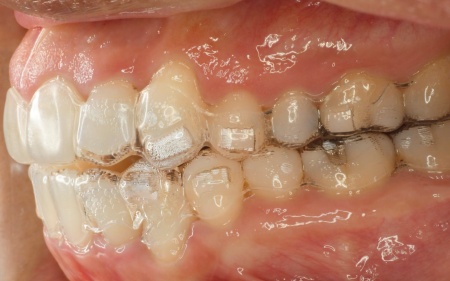
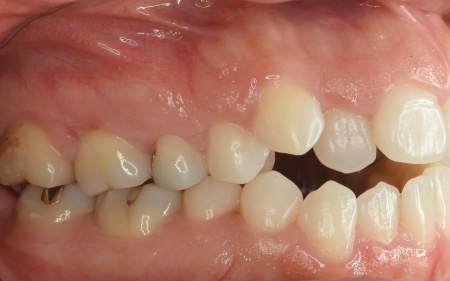
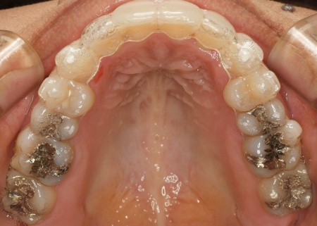
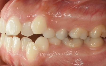
拝見したところ、奥歯で噛んだ際に上下の前歯が触れ合わず、隙間ができている状態でした。
これは開咬(かいこう)と呼ばれ、前歯で食べ物を噛み切るのが難しい噛み合わせです。
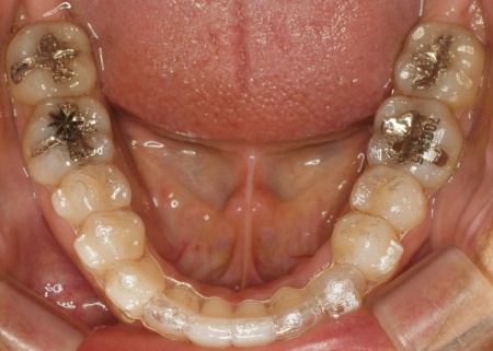
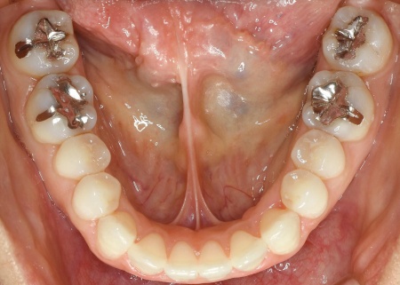
加えて全体的に歯が重なり合ってデコボコに生えており、歯磨きがしにくく、審美性にも悪影響がでています。
また、骨格的には下顎が後下方に位置しており、お顔全体が縦に長いタイプでした。
さらに舌で前歯を押す癖もあり、これは開咬の原因だけでなく、矯正治療後に歯並びが戻る原因にもなります。
現在の状態を放置すると、以下のリスクが考えられます。
・奥歯に過度な負荷がかかり、奥歯が欠けたり割れたりする
・顎関節に負担がかかり、口を開けにくくなったり痛みや違和感が生じることがある
・前歯で食べ物を噛み切れないことで消化の妨げになり、胃腸に負担がかかる場合がある
以上のことから、噛み合わせと歯並びを改善する矯正治療と、舌の癖を修正するためのトレーニングを併用する必要があると診断しました。
行ったご提案・治療内容
開咬の主な原因は、奥歯の噛み合わせの強さと舌の癖にあると考えられます。
そのため、今回はマウスピース型矯正装置「インビザライン・コンプリヘンシブ」による矯正治療と、舌の癖を改善するトレーニング「MFT(口腔筋機能療法)」を併用することを提案し、同意いただきました。
インビザライン・コンプリヘンシブは、幅広い症例に対応可能で、マウスピースを段階的に交換しながら歯を少しずつ動かしていく方法です。
メリット
・マウスピースが透明なので、装着していても目立ちにくい
・取り外しができるため、食事や歯磨きがしやすい
デメリット
・1日20時間以上装着する必要があり、装着時間を守らないと歯が計画どおりに動かないことがある
・舌癖が改善できないと後戻りのリスクが高くなる
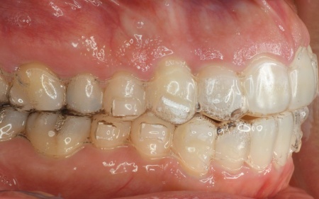
今回は、奥歯を少し押し込みながら前歯が噛み合うように治療を行う方針です。
またMFTで舌の正しい使い方を覚え、治療後に歯並びが後戻りすることを防止し、より長期にわたり歯並びを安定させることを目指します。
まずは精密な型取りや口腔内写真の撮影を行い、治療計画を立てます。
歯の動きを3Dで確認できるシステムを用いてシミュレーションし、治療の流れを患者様と一緒に確認しました。
その後、患者様専用のマウスピースを作製します。
患者様には、マウスピースの装着方法やお手入れの注意点、1日20時間以上装着すること、1〜2週間ごとに新しいマウスピースに交換することなどを丁寧にお伝えしました。
また、治療の際は上下の歯にかける「顎間ゴム」を併用しています。
これは上下の歯の位置関係を調整し、前歯の噛み合わせを整えるためのものです。
顎間ゴムに関しても、取り外しの方法や使うタイミングについてお伝えし、ご自身で管理できるようサポートしました。
治療期間中は定期的に来院いただき、歯の動きや噛み合わせの調整を行いつつMFTも並行して実施し、正しい舌の使い方の訓練を行いました。
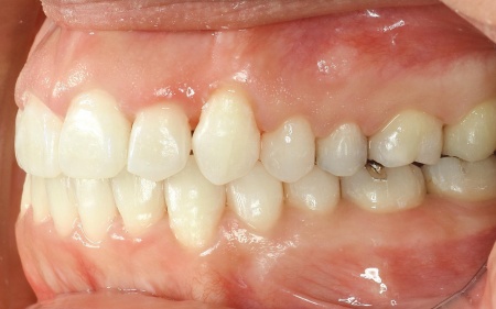
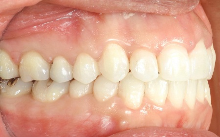
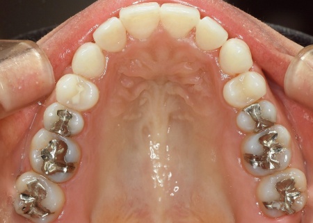
最後に、歯並びが整い前歯で噛めるようになったこと、舌の癖が改善されたことを確認し、治療を終了しています。
この治療のリスクについて
・決められたスケジュールを守らない場合、十分な効果が得られない可能性があります
・マウスピースに対応していない症例の場合、治療が難しい可能性があります
・歯の移動に伴って、痛みや違和感を感じる場合があります
・正しいブラッシングやメンテナンスを行わない場合、虫歯や歯周病のリスクが高まります
- 年齢・性別 40代女性
- 診療種別 自由診療
- 治療期間の目安 1年5ヶ月
- 治療回数の目安 -
- 治療費総額の目安 850,000円
※掲載された情報は治療の効果を保証するものではありません。
ご利用により万一何らかの損害が発生したとしても、当サイトは一切責任を負いかねますのでご了承ください。
画像をクリックすると拡大・詳細コメントを確認いただけます
-
南舘歯科医院TEL:0223244880
-
南舘歯科医院TEL:0223244880
-
南舘歯科医院TEL:0223244880
-
南舘歯科医院TEL:0223244880
-
南舘歯科医院TEL:0223244880
-
南舘歯科医院TEL:0223244880
-
南舘歯科医院TEL:0223244880
-
南舘歯科医院TEL:0223244880
-
南舘歯科医院TEL:0223244880
-
南舘歯科医院TEL:0223244880
-
南舘歯科医院TEL:0223244880
-
南舘歯科医院TEL:0223244880
-
南舘歯科医院TEL:0223244880
-
南舘歯科医院TEL:0223244880
-
南舘歯科医院TEL:0223244880
問題を報告する
掲載内容に問題がありますか?
こちらのフォームではココシカ!利用規約に違反している可能性のある情報や、
その他の問題がある内容について直接報告することができます。
この機能は、詐欺、スパム、虚偽、不正確であると思われる情報を報告するためのものです。
報告すべき情報の例
- ・差別的または不快感を与えるもの: 性別、年齢、人種、宗教、身体的特徴などに基づく差別が見られるものはこちらに該当します。過度な出血など過激な表現など不適切な内容が含まれる場合も対象です。
- ・虚偽の情報: 何らかの根拠により虚偽が認められる情報が対象です。
- ・不正確な情報: 治療名やリスク、金額、医院情報などに不正確な内容が含まれるものです。多くの場合、これらの問題はココシカ!の掲載基準違反ではありませんが、情報の更新が求められる場合があります。
- ・広告行為: 本サービスの趣旨に反する投稿です。サービス広告、企業やアプリの宣伝、その他問題があると確認された投稿が該当します。
- ・その他: これらのカテゴリーに当てはまらない問題については、[その他] を選択し詳しい情報をご提供ください。
ココシカ!の情報、技術的な問題、医院ページのレビュー、掲載情報に関する問い合わせ、検索結果などに関する一般的な質問、これらの問題に関するお問い合わせは、サポートチームまでご連絡下さい。
| 診療科目 | 一般歯科、予防歯科、小児歯科、矯正歯科、マタニティ歯科、歯科口腔外科、ホワイトニング、インプラント |
|---|---|
| 自由診療 | 小児矯正、マウスピース矯正、セラミック治療、オフィスホワイトニング、ホームホワイトニング、インプラント、入れ歯 |
| 住所 | 〒989-2445 宮城県岩沼市桑原1丁目6-8 |
| アクセス | 宮城交通バス「竹駒神社前」より 徒歩5分 |
| 診療時間 | 【月・火・水・金】 09:00〜13:00/14:30〜18:00 【木・土】 09:00〜13:00 |
| 休診日 | 日・祝 |
| 代表者 | 南舘 英明 |
※記載の内容は最新の情報と異なる場合がございます。正確な情報は歯科医院にご確認ください。
この歯科医院の他の症例
NEW CONTENT 新着コンテンツ
-
「第22回 一般社団法人 日本外傷歯学会・総会・学術大会」開幕、リハビリにフォーカスして歯の損失リスク軽減を目指す
2022.8.8 一般歯科
-
クラウド型歯科用レセコン「POWER5G」が口腔内シミュレーションサービス「DMFTシミュレーター」と提携
2022.6.28 予防歯科
-
豪発のブランド「ビーボックス」から歯固め発売、乳幼児でも持ちやすい設計に
2022.6.24 小児歯科
-
韓国発ライフスタイルケアブランド「ソルトレイン」日本初上陸、伊勢丹新宿でポップアップも
2022.6.22 その他
-
デントウェーブ運営の歯科衛生士向けコミュニティ「歯科衛生士のcoe」無料オンラインイベント開催
2022.3.2 その他
-
竹素材のオーガニック歯ブラシ、日本発サステナブランド「ミヨオーガニック」展開
2022.2.17 予防歯科
