- 部分入れ歯
80代男性 金属バネが折れた部分入れ歯を即日修理して使用できるようにした症例


ご相談内容
当院で入れ歯の修理経験がある患者さんより「入れ歯の金属バネが折れて、外れやすくなってしまった」とご相談いただきました。
カウンセリング・診断結果
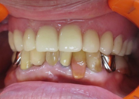
拝見したところ、左下の歯には部分入れ歯が装着されていましたが、入れ歯を支える金属バネ「クラスプ」が破損しており、入れ歯をしっかりと固定することができなくなっていました。
クラスプが折れた状態では入れ歯が安定せず、食事中などに外れやすくなります。
また、破損した入れ歯を使い続けると、入れ歯が歯茎にこすれて傷が付いたり、顎の関節や残っている歯に過度な負担がかかったりするリスクがあります。
以上のことから、折れたクラスプを作り直す必要があると診断しました。
行ったご提案・治療内容
今回は、破損していたクラスプを新しく作り直し、入れ歯を修理する方法を提案しました。
これまでも同様の修理を行っているため、患者さまも修理の流れをよく理解されています。
入れ歯を修理する場合は、入れ歯をお預かりして数日から1週間ほどお時間をいただくのが一般的ですが、当院では歯科医師が院内でクラスプを作製できるため、約1時間で修理をすることが可能です。
ただ長期的な使用状況によっては、再度調整や修理が必要になることもあります。
修理方法のメリットとデメリットをお伝えし、同意いただきました。
まずは入れ歯を装着した状態で型取りを行い、模型を作製します。
完成した模型に入れ歯を装着し、クラスプを固定する場所を削りました。
クラスプ用のワイヤーは手作業で曲げながら、残っている歯の形態や傾きに合わせて精密に調整します。
その後、完成したクラスプを入れ歯に取り付けたうえで装着していただき、実際にお口の中で安定性や装着感を確認しました。
最後に、噛み合わせや着脱のしやすさ、見た目に問題がないかなどを確認し、治療を終了しています。
この治療のリスクについて
・着脱式のため、食後の清掃が必要です
・最初のうちは異物感があり、慣れるまで時間がかかる場合があります
・慣れるまでは、入れ歯の裏側の粘膜に傷ができる場合があります
- 年齢・性別 80代男性
- 診療種別 保険診療
- 治療期間の目安 -
- 治療回数の目安 1回
-
治療費総額の目安
約3,000円
(保険診療2割負担)
※掲載された情報は治療の効果を保証するものではありません。
ご利用により万一何らかの損害が発生したとしても、当サイトは一切責任を負いかねますのでご了承ください。
画像をクリックすると拡大・詳細コメントを確認いただけます
-
いとう歯科医院TEL:0333335389
-
いとう歯科医院TEL:0333335389
-
いとう歯科医院TEL:0333335389
-
いとう歯科医院TEL:0333335389
-
いとう歯科医院TEL:0333335389
-
いとう歯科医院TEL:0333335389
-
いとう歯科医院TEL:0333335389
-
いとう歯科医院TEL:0333335389
-
いとう歯科医院TEL:0333335389
-
いとう歯科医院TEL:0333335389
-
いとう歯科医院TEL:0333335389
-
いとう歯科医院TEL:0333335389


クラスプを固定する場所を削りました





外側のクラスプの位置を確認しました


内側のクラスプの位置を確認しました

問題を報告する
掲載内容に問題がありますか?
こちらのフォームではココシカ!利用規約に違反している可能性のある情報や、
その他の問題がある内容について直接報告することができます。
この機能は、詐欺、スパム、虚偽、不正確であると思われる情報を報告するためのものです。
報告すべき情報の例
- ・差別的または不快感を与えるもの: 性別、年齢、人種、宗教、身体的特徴などに基づく差別が見られるものはこちらに該当します。過度な出血など過激な表現など不適切な内容が含まれる場合も対象です。
- ・虚偽の情報: 何らかの根拠により虚偽が認められる情報が対象です。
- ・不正確な情報: 治療名やリスク、金額、医院情報などに不正確な内容が含まれるものです。多くの場合、これらの問題はココシカ!の掲載基準違反ではありませんが、情報の更新が求められる場合があります。
- ・広告行為: 本サービスの趣旨に反する投稿です。サービス広告、企業やアプリの宣伝、その他問題があると確認された投稿が該当します。
- ・その他: これらのカテゴリーに当てはまらない問題については、[その他] を選択し詳しい情報をご提供ください。
ココシカ!の情報、技術的な問題、医院ページのレビュー、掲載情報に関する問い合わせ、検索結果などに関する一般的な質問、これらの問題に関するお問い合わせは、サポートチームまでご連絡下さい。
診療科目 | 一般歯科 |
---|---|
住所 | 〒167-0054 東京都杉並区松庵3-6-3 |
アクセス | JR中央線 「西荻窪」駅南口から徒歩7分 ※駐車場1台分完備 |
診療時間 | 08:30~11:00 |
休診日 | 木曜、日曜、祝祭日 |
代表者 | 伊藤 高史 |
※記載の内容は最新の情報と異なる場合がございます。正確な情報は歯科医院にご確認ください。
この歯科医院の他の症例
NEW CONTENT 新着コンテンツ
-
「第22回 一般社団法人 日本外傷歯学会・総会・学術大会」開幕、リハビリにフォーカスして歯の損失リスク軽減を目指す
2022.8.8 一般歯科
-
クラウド型歯科用レセコン「POWER5G」が口腔内シミュレーションサービス「DMFTシミュレーター」と提携
2022.6.28 予防歯科
-
豪発のブランド「ビーボックス」から歯固め発売、乳幼児でも持ちやすい設計に
2022.6.24 小児歯科
-
韓国発ライフスタイルケアブランド「ソルトレイン」日本初上陸、伊勢丹新宿でポップアップも
2022.6.22 その他
-
デントウェーブ運営の歯科衛生士向けコミュニティ「歯科衛生士のcoe」無料オンラインイベント開催
2022.3.2 その他
-
竹素材のオーガニック歯ブラシ、日本発サステナブランド「ミヨオーガニック」展開
2022.2.17 予防歯科