- 矯正歯科
- ワイヤー矯正
- 外科矯正
- 詰め物・被せもの
- セラミック・ジルコニア
- 抜歯
10代男性 顎変形症が原因で下顎がずれて非対称になっていた噛み合わせをサージェリーファースト法を併用した矯正治療で改善した症例
ご相談内容
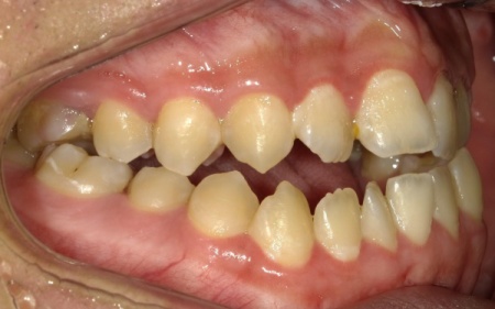
「顔と顎がゆがんでいて、見た目が悪くしゃべりにくいのが気になる。また、前歯が噛み合っていないため、食べ物を噛み切ることができない」とご相談いただきました。
カウンセリング・診断結果
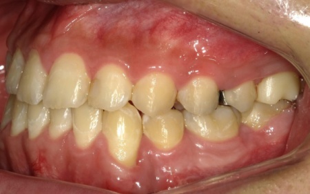
拝見したところ、骨格の問題により下前歯が上前歯より前に出ている前歯部反対咬合と、前歯が開いて噛み合わないオープンバイトが認められました。
さらに、下顎の骨が右方向にずれて上下の歯が噛み合う面が斜めになっていることで、顔面の非対称も見られます。
これらは顎変形症と呼ばれる状態で、現在は食べ物をしっかりと噛む機能が大きく制限されているうえ、発音や見た目に悪影響が出ていました。
このまま放置すると、顎関節に過度な負担がかかって違和感や痛みが生じたり、前歯で噛めないことで奥歯に過剰な力がかかり、歯の摩耗や歯根が折れることで歯を失ったりするリスクがあります。
以上のことから、外科手術と矯正治療を組み合わせた全体的な治療が必要だと診断しました。
行ったご提案・治療内容
詳しく検査をした結果、噛み合わせや顔の非対称性を改善するためには、外科手術をともなう矯正治療が必要であることをお伝えし、今回はサージェリーファースト法という治療方法をおすすめしました。
サージェリーファースト法とは、矯正治療を開始する前に外科手術を行う治療方法です。
従来の保険診療による顎変形症治療では外科手術前に矯正治療を行いますが、その場合は数ヶ月から数年にわたり、顔貌が現状よりも悪化するリスクがあります。
サージェリーファースト法では、治療開始直後から顔のゆがみを改善することが可能です。
また、外科手術を行ったあとに矯正治療を進めることで歯の移動速度が早くなり、治療期間を大幅に短縮できること、入院の必要はなく日帰りで手術ができること、術後に顎を固定する必要がなく日常生活での不便さが軽減できることもお伝えしました。
さまざまなメリットがある一方で、手術後の腫れや痛み、一時的な感覚麻痺のリスクがあることや、自費診療なので治療費が高額になることも併せて説明しています。
加えて外科手術後の矯正治療では、歯の表面に四角いボタン状の装置を接着し、そこにワイヤーを通して歯を動かすマルチブラケット装置と、歯を効率的に動かすための小さなネジであるアンカースクリューを併用する方法を提案しました。
患者様には、治療の進め方や特徴、注意点や費用などをしっかりとご理解いただいたうえで、提案した治療方法に同意いただきました。
まずは、歯を正しい位置に動かすスペースを確保するために、左下奥歯(第1小臼歯)を抜きました。続いて、サージェリーファースト法による下顎骨骨切り手術を慎重に行います。
次に、上下の歯にマルチブラケット装置を装着し、歯を動かす起点とするためにアンカースクリューを埋入します。
今回は患者様と相談のうえ、治療中の審美性を考慮して目立ちにくい色調のブラケットを採用しました。
その後は定期的に来院いただき、ワイヤーの調整を行いながら歯並びと噛み合わせを徐々に整えていきました。
矯正治療が終了したあとは、以前神経を除去する処置をしたものの被せ物を装着していなかった左上奥歯に対し、強度と審美性を兼ね備えた白い素材のジルコニアクラウンを装着する治療を行っています。
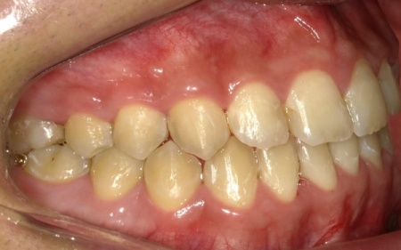
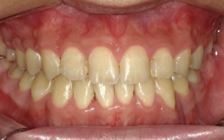
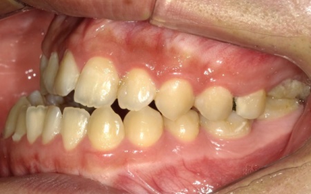
最後に、審美性、噛み合わせ、機能性などに問題がないことを確認し、治療を終了しました。
外科手術・矯正治療・補綴治療担当歯科医師:金田叔朗(カナタ歯科医院 堺)
この治療のリスクについて
・外科処置後に腫れ、出血が生じる場合があります
・外科処置後に痛みが長引く場合があります。必要に応じ痛み止めを併用します
・治療中、装置によってまれに頬の内側が傷つき、口内炎になる場合があります
・歯の移動に伴って、違和感や痛みを感じる場合があります
・冷たいものを飲んだときに歯がしみる「知覚過敏」の症状が出る場合があります
・装着に際し、天然歯を削る場合があります
- 年齢・性別 10代男性
- 診療種別 自由診療
- 治療期間の目安 1年7ヶ月
- 治療回数の目安 -
- 治療費総額の目安 約1,500,000円
※掲載された情報は治療の効果を保証するものではありません。
ご利用により万一何らかの損害が発生したとしても、当サイトは一切責任を負いかねますのでご了承ください。
画像をクリックすると拡大・詳細コメントを確認いただけます
-
医療法人NATURALEE_さわだデンタルクリニックTEL:0729998888
-
医療法人NATURALEE_さわだデンタルクリニックTEL:0729998888
-
医療法人NATURALEE_さわだデンタルクリニックTEL:0729998888
-
医療法人NATURALEE_さわだデンタルクリニックTEL:0729998888
-
医療法人NATURALEE_さわだデンタルクリニックTEL:0729998888 -
医療法人NATURALEE_さわだデンタルクリニックTEL:0729998888
-
医療法人NATURALEE_さわだデンタルクリニックTEL:0729998888
-
医療法人NATURALEE_さわだデンタルクリニックTEL:0729998888 -
医療法人NATURALEE_さわだデンタルクリニックTEL:0729998888
-
医療法人NATURALEE_さわだデンタルクリニックTEL:0729998888
-
医療法人NATURALEE_さわだデンタルクリニックTEL:0729998888 -
医療法人NATURALEE_さわだデンタルクリニックTEL:0729998888
-
医療法人NATURALEE_さわだデンタルクリニックTEL:0729998888
-
医療法人NATURALEE_さわだデンタルクリニックTEL:0729998888 -
医療法人NATURALEE_さわだデンタルクリニックTEL:0729998888
-
医療法人NATURALEE_さわだデンタルクリニックTEL:0729998888
-
医療法人NATURALEE_さわだデンタルクリニックTEL:0729998888 -
医療法人NATURALEE_さわだデンタルクリニックTEL:0729998888
問題を報告する
掲載内容に問題がありますか?
こちらのフォームではココシカ!利用規約に違反している可能性のある情報や、
その他の問題がある内容について直接報告することができます。
この機能は、詐欺、スパム、虚偽、不正確であると思われる情報を報告するためのものです。
報告すべき情報の例
- ・差別的または不快感を与えるもの: 性別、年齢、人種、宗教、身体的特徴などに基づく差別が見られるものはこちらに該当します。過度な出血など過激な表現など不適切な内容が含まれる場合も対象です。
- ・虚偽の情報: 何らかの根拠により虚偽が認められる情報が対象です。
- ・不正確な情報: 治療名やリスク、金額、医院情報などに不正確な内容が含まれるものです。多くの場合、これらの問題はココシカ!の掲載基準違反ではありませんが、情報の更新が求められる場合があります。
- ・広告行為: 本サービスの趣旨に反する投稿です。サービス広告、企業やアプリの宣伝、その他問題があると確認された投稿が該当します。
- ・その他: これらのカテゴリーに当てはまらない問題については、[その他] を選択し詳しい情報をご提供ください。
ココシカ!の情報、技術的な問題、医院ページのレビュー、掲載情報に関する問い合わせ、検索結果などに関する一般的な質問、これらの問題に関するお問い合わせは、サポートチームまでご連絡下さい。
| 診療科目 | 一般歯科、小児歯科、予防歯科、矯正歯科、審美歯科、口腔外科、ホワイトニング、インプラント |
|---|---|
| 自由診療 | オフィスホワイトニング、ホームホワイトニング、ガムホワイトニング、セラミック治療、小児矯正、大人の矯正(マウスピース矯正、ワイヤー矯正)、インプラント |
| 住所 | 〒581-0867 大阪府八尾市山本町1-10-5 |
| アクセス | 河内山本駅より徒歩2分 ※駐車場(5台分)あり |
| 診療時間 | 【月・火・水・木・金】 09:30〜19:00 【土】 09:30〜17:30 |
| 休診日 | 日曜・祝日 |
| 代表者 | 澤田 靖斤位 |
※記載の内容は最新の情報と異なる場合がございます。正確な情報は歯科医院にご確認ください。
この歯科医院の他の症例
NEW CONTENT 新着コンテンツ
-
「第22回 一般社団法人 日本外傷歯学会・総会・学術大会」開幕、リハビリにフォーカスして歯の損失リスク軽減を目指す
2022.8.8 一般歯科
-
クラウド型歯科用レセコン「POWER5G」が口腔内シミュレーションサービス「DMFTシミュレーター」と提携
2022.6.28 予防歯科
-
豪発のブランド「ビーボックス」から歯固め発売、乳幼児でも持ちやすい設計に
2022.6.24 小児歯科
-
韓国発ライフスタイルケアブランド「ソルトレイン」日本初上陸、伊勢丹新宿でポップアップも
2022.6.22 その他
-
デントウェーブ運営の歯科衛生士向けコミュニティ「歯科衛生士のcoe」無料オンラインイベント開催
2022.3.2 その他
-
竹素材のオーガニック歯ブラシ、日本発サステナブランド「ミヨオーガニック」展開
2022.2.17 予防歯科
