- 虫歯
- インプラント
- 抜歯
70代女性 虫歯が進行していた奥歯を抜いてインプラント治療で噛み合わせを回復した症例
ご相談内容
「右下奥歯の被せ物が取れてしまったので、診てほしい」とご相談いただきました。
カウンセリング・診断結果
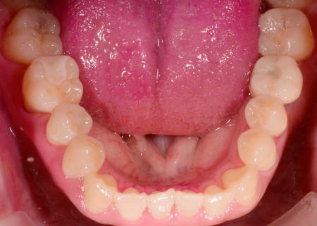
拝見したところ、右下奥歯(第2大臼歯)の被せ物が外れ、奥歯でしっかりと噛めなくなっている状態でした。また、被せ物を支えていた歯の根っこには虫歯が認められます。
虫歯になっている部分は取り除く必要がありますが、虫歯が歯の深くまで進行していた場合は、被せ物を支えられるだけの歯が残らないおそれがあります。
行ったご提案・治療内容
歯を残せるかどうかは、実際に虫歯を削ってから判断することをご説明し、同意いただきました。
歯を残せる場合は、再度被せ物を装着して歯の形と噛み合わせを回復することになりますが、歯を残せないと判断した場合は、以下3つの治療方法の中から選択いただくことも併せてお伝えしています。
①歯を抜いて入れ歯を作る
メリット:保険診療内で治療でき治療期間も短め
デメリット:取り外して手入れをする必要がある。自分の歯と比べると噛み心地が劣る傾向がある
②歯を抜いて人工歯根を利用した「インプラント治療」を行う
メリット:自然な見た目と噛み心地が期待できる
デメリット:自費診療なので比較的費用がかかる。外科的処置が必要になり治療期間が長め
③歯を抜いたあとそのままにする
メリット:治療による負担がない
デメリット:右の奥歯で食べ物が噛みにくい
虫歯を削ってから詳しく検査をしたところ、虫歯が歯茎の中の深い部分まで進んでいたため、残念ながら歯を残すのは難しい状態です。
診断結果を丁寧にお伝えしたところ、患者様は抜歯後にインプラント治療を行う治療方法を希望されました。
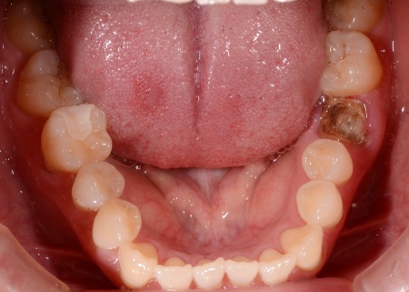
まずCT撮影を行い、歯や顎の骨の状態を詳しく確認します。
その後、抜歯と同時にインプラントを埋入する手術「抜歯即時インプラント埋入手術」を実施しました。別日に行うことが多い抜歯とインプラント埋入手術を1回にまとめることで、患者様の負担を軽減できます。
インプラントが顎の骨にしっかりと定着したことを確認したのち、インプラントの上に自然な見た目の人工歯を装着し、歯の形と噛み合わせを回復して治療を終了しました。
この治療のリスクについて
・外科手術のため、術後に痛みや腫れ、違和感を伴います
・メンテナンスを怠ったり、喫煙したりすると、お口の中に大きな悪影響を及ぼし、インプラント周囲炎等にかかる可能性があります
・糖尿病、肝硬変、心臓病などの持病をお持ちの場合、インプラント治療ができない可能性があります
・高血圧、貧血・不整脈などの持病をお持ちの場合、インプラント治療後に治癒不全を招く可能性があります
・自費診療(保険適用外治療)です
- 年齢・性別 70代女性
- 診療種別 自由診療
- 治療期間の目安 約5ヶ月
- 治療回数の目安 -
- 治療費総額の目安 490,000円
※掲載された情報は治療の効果を保証するものではありません。
ご利用により万一何らかの損害が発生したとしても、当サイトは一切責任を負いかねますのでご了承ください。
画像をクリックすると拡大・詳細コメントを確認いただけます
問題を報告する
掲載内容に問題がありますか?
こちらのフォームではココシカ!利用規約に違反している可能性のある情報や、
その他の問題がある内容について直接報告することができます。
この機能は、詐欺、スパム、虚偽、不正確であると思われる情報を報告するためのものです。
報告すべき情報の例
- ・差別的または不快感を与えるもの: 性別、年齢、人種、宗教、身体的特徴などに基づく差別が見られるものはこちらに該当します。過度な出血など過激な表現など不適切な内容が含まれる場合も対象です。
- ・虚偽の情報: 何らかの根拠により虚偽が認められる情報が対象です。
- ・不正確な情報: 治療名やリスク、金額、医院情報などに不正確な内容が含まれるものです。多くの場合、これらの問題はココシカ!の掲載基準違反ではありませんが、情報の更新が求められる場合があります。
- ・広告行為: 本サービスの趣旨に反する投稿です。サービス広告、企業やアプリの宣伝、その他問題があると確認された投稿が該当します。
- ・その他: これらのカテゴリーに当てはまらない問題については、[その他] を選択し詳しい情報をご提供ください。
ココシカ!の情報、技術的な問題、医院ページのレビュー、掲載情報に関する問い合わせ、検索結果などに関する一般的な質問、これらの問題に関するお問い合わせは、サポートチームまでご連絡下さい。
| 住所 | 〒222-0037 神奈川県横浜市港北区大倉山3-5-22 高瀬ビル1F |
|---|---|
| アクセス | 東急東横線 大倉山駅 徒歩3分 |
| 休診日 | 火曜日 土日の午後 祝日 |
※記載の内容は最新の情報と異なる場合がございます。正確な情報は歯科医院にご確認ください。
この歯科医院の他の症例
NEW CONTENT 新着コンテンツ
-
「第22回 一般社団法人 日本外傷歯学会・総会・学術大会」開幕、リハビリにフォーカスして歯の損失リスク軽減を目指す
2022.8.8 一般歯科
-
クラウド型歯科用レセコン「POWER5G」が口腔内シミュレーションサービス「DMFTシミュレーター」と提携
2022.6.28 予防歯科
-
豪発のブランド「ビーボックス」から歯固め発売、乳幼児でも持ちやすい設計に
2022.6.24 小児歯科
-
韓国発ライフスタイルケアブランド「ソルトレイン」日本初上陸、伊勢丹新宿でポップアップも
2022.6.22 その他
-
デントウェーブ運営の歯科衛生士向けコミュニティ「歯科衛生士のcoe」無料オンラインイベント開催
2022.3.2 その他
-
竹素材のオーガニック歯ブラシ、日本発サステナブランド「ミヨオーガニック」展開
2022.2.17 予防歯科
