- インプラント
- 抜歯
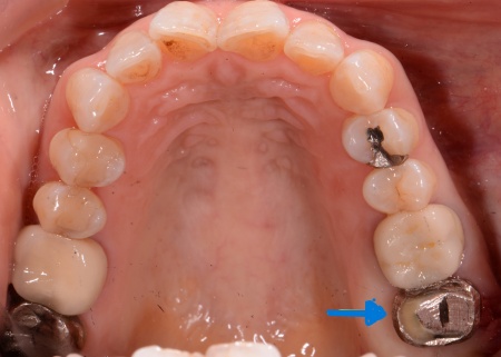
60代女性 根が割れた奥歯を抜歯しインプラントで補った症例
ご相談内容
「左上の奥歯に入っている銀歯が痛む」とご相談いただきました。
カウンセリング・診断結果
拝見したところ、左上の一番奥の歯(第2大臼歯)には金属の被せ物が装着されていました。
さらにレントゲン撮影などの検査を行い詳しく確認した結果、歯の根が割れていることが分かりました。
銀歯が被せられている歯は、過去に神経を取る治療を受けているケースが多くあります。
神経を失った歯は時間の経過とともに強度が弱くなり、そこに食いしばりや歯ぎしりなどによる強い噛む力が長期間かかることで、歯の根が割れてしまうことがあります。
今回のように歯の根が割れてしまっている場合、歯を残す治療は困難です。
そのまま放置すると、歯ぐきの炎症が広がったり周囲の歯やあごの骨に影響が出たりする可能性があるため、左上の奥歯は抜歯が必要と診断しました。
行ったご提案・治療内容
診断内容を丁寧にお伝えしたうえで、抜歯後に歯を補うため、以下2つの治療方法を提案しました。
①取り外し式の入れ歯
メリット:外科的な処置を行わずに治療でき、比較的短期間で作ることが可能
デメリット:取り外しが必要で、装着したときに違和感を覚えることがある
②あごの骨に人工の歯根を埋め込み、その上に人工の歯を取り付けるインプラント治療
メリット:固定式のためご自身の歯に近い感覚で噛むことができる
デメリット:外科手術が必要で自由診療となり、治療期間も比較的長くなる
それぞれのメリット・デメリットをお伝えしたところ、患者様は②のインプラント治療を希望されました。併せて治療の流れや外科処置に伴うリスクについてもしっかりとお伝えし、左上奥歯の抜歯とインプラント治療に同意いただきました。
まず、左上の奥歯を抜くと同時にインプラントを埋め込む抜歯即時埋入を行います。
これは、歯を抜いた直後のあごの骨に人工歯根を埋め込む治療方法です。
事前のレントゲン検査で骨の状態を確認し、インプラントを埋め込む位置や角度を慎重に検討したうえで処置しました。
その後、歯ぐきやあごの骨が回復するまで一定期間待ち、インプラントが骨としっかり結合しているかを確認しました。
問題がないことを確認したうえで歯の型取りを行い、インプラントの上に装着する人工歯を作製しています。
最後に完成した人工歯を取り付け、噛み合わせに問題がないかなどを確認し治療を終了しました。
この治療のリスクについて
・外科手術のため、術後に痛みや腫れ、違和感を伴います
・メンテナンスを怠ったり、喫煙したりすると、お口の中に大きな悪影響を及ぼし、インプラント周囲炎等にかかる可能性があります
・糖尿病、肝硬変、心臓病などの持病をお持ちの場合、インプラント治療ができない可能性があります
・高血圧、貧血・不整脈などの持病をお持ちの場合、インプラント治療後に治癒不全を招く可能性があります
・自費診療(保険適用外治療)です
- 年齢・性別 60代女性
- 診療種別 自由診療
- 治療期間の目安 約6ヶ月
- 治療回数の目安 -
- 治療費総額の目安 530,000円
※掲載された情報は治療の効果を保証するものではありません。
ご利用により万一何らかの損害が発生したとしても、当サイトは一切責任を負いかねますのでご了承ください。
画像をクリックすると拡大・詳細コメントを確認いただけます
問題を報告する
掲載内容に問題がありますか?
こちらのフォームではココシカ!利用規約に違反している可能性のある情報や、
その他の問題がある内容について直接報告することができます。
この機能は、詐欺、スパム、虚偽、不正確であると思われる情報を報告するためのものです。
報告すべき情報の例
- ・差別的または不快感を与えるもの: 性別、年齢、人種、宗教、身体的特徴などに基づく差別が見られるものはこちらに該当します。過度な出血など過激な表現など不適切な内容が含まれる場合も対象です。
- ・虚偽の情報: 何らかの根拠により虚偽が認められる情報が対象です。
- ・不正確な情報: 治療名やリスク、金額、医院情報などに不正確な内容が含まれるものです。多くの場合、これらの問題はココシカ!の掲載基準違反ではありませんが、情報の更新が求められる場合があります。
- ・広告行為: 本サービスの趣旨に反する投稿です。サービス広告、企業やアプリの宣伝、その他問題があると確認された投稿が該当します。
- ・その他: これらのカテゴリーに当てはまらない問題については、[その他] を選択し詳しい情報をご提供ください。
ココシカ!の情報、技術的な問題、医院ページのレビュー、掲載情報に関する問い合わせ、検索結果などに関する一般的な質問、これらの問題に関するお問い合わせは、サポートチームまでご連絡下さい。
| 住所 | 〒222-0037 神奈川県横浜市港北区大倉山3-5-22 高瀬ビル1F |
|---|---|
| アクセス | 東急東横線 大倉山駅 徒歩3分 |
| 休診日 | 火曜日 土日の午後 祝日 |
※記載の内容は最新の情報と異なる場合がございます。正確な情報は歯科医院にご確認ください。
この歯科医院の他の症例
NEW CONTENT 新着コンテンツ
-
「第22回 一般社団法人 日本外傷歯学会・総会・学術大会」開幕、リハビリにフォーカスして歯の損失リスク軽減を目指す
2022.8.8 一般歯科
-
クラウド型歯科用レセコン「POWER5G」が口腔内シミュレーションサービス「DMFTシミュレーター」と提携
2022.6.28 予防歯科
-
豪発のブランド「ビーボックス」から歯固め発売、乳幼児でも持ちやすい設計に
2022.6.24 小児歯科
-
韓国発ライフスタイルケアブランド「ソルトレイン」日本初上陸、伊勢丹新宿でポップアップも
2022.6.22 その他
-
デントウェーブ運営の歯科衛生士向けコミュニティ「歯科衛生士のcoe」無料オンラインイベント開催
2022.3.2 その他
-
竹素材のオーガニック歯ブラシ、日本発サステナブランド「ミヨオーガニック」展開
2022.2.17 予防歯科
