- 部分入れ歯
70代男性 入れ歯を紛失したため自然な見た目のノンクラスプチタンデンチャーで治療した症例
ご相談内容
「入れ歯を紛失したため、新しい入れ歯を作ってほしい」とご相談いただきました。
カウンセリング・診断結果
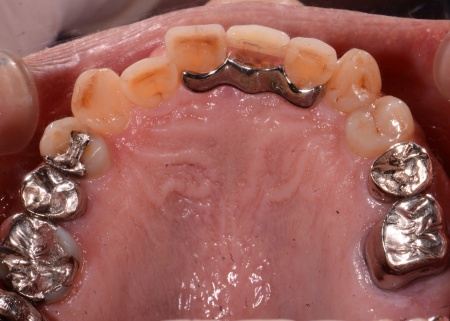
拝見したところ、左上前歯1本が欠損している状態でした。
この部分には保険診療の入れ歯を装着していましたが、紛失してしまったとのことです。
このまま放置すると、隣の歯が欠損部に近づいて歯並びが崩れたり、欠損部が前歯なので見た目に悪影響が出たりするリスクがあります。
以上のことから、早急に新しい入れ歯を作製する必要があると診断しました。
行ったご提案・治療内容
患者様は「もとの入れ歯は目立つうえ、使用時の違和感が強い」とおっしゃっていたため、新しい入れ歯には見た目が自然な「ノンクラスプチタンデンチャー」を提案し、同意いただきました。
ノンクラスプチタンデンチャーは留め具に金属のバネを使用せず、歯茎に近い色の特殊な樹脂を用いるため、目立ちにくいのが特徴です。また、保険診療の入れ歯よりも装着感がいいとされています。
ただ自費診療なので費用がかかり、特殊な素材を使用しているため、修理や調整には少しお時間をいただく場合がある点がデメリットです。
まずは入れ歯の型取りを行い、入れ歯の作製を開始します。
後日、完成したノンクラスプチタンデンチャーを装着し、噛み合わせの調整や使用感に問題がないことを確認して、治療を終了しました。
この治療のリスクについて
・着脱式のため、食後の清掃が必要です
・最初のうちは異物感があり、慣れるまで時間がかかる場合があります
・慣れるまでは、入れ歯の裏側の粘膜に傷ができる場合があります
- 年齢・性別 60代男性
- 診療種別 自由診療
- 治療期間の目安 約3週間
- 治療回数の目安 -
- 治療費総額の目安 220,000円
※掲載された情報は治療の効果を保証するものではありません。
ご利用により万一何らかの損害が発生したとしても、当サイトは一切責任を負いかねますのでご了承ください。
画像をクリックすると拡大・詳細コメントを確認いただけます
-
ふかい歯科クリニックTEL:0456426020
-
ふかい歯科クリニックTEL:0456426020
-
ふかい歯科クリニックTEL:0456426020
-
ふかい歯科クリニックTEL:0456426020 -
ふかい歯科クリニックTEL:0456426020 -
ふかい歯科クリニックTEL:0456426020
問題を報告する
掲載内容に問題がありますか?
こちらのフォームではココシカ!利用規約に違反している可能性のある情報や、
その他の問題がある内容について直接報告することができます。
この機能は、詐欺、スパム、虚偽、不正確であると思われる情報を報告するためのものです。
報告すべき情報の例
- ・差別的または不快感を与えるもの: 性別、年齢、人種、宗教、身体的特徴などに基づく差別が見られるものはこちらに該当します。過度な出血など過激な表現など不適切な内容が含まれる場合も対象です。
- ・虚偽の情報: 何らかの根拠により虚偽が認められる情報が対象です。
- ・不正確な情報: 治療名やリスク、金額、医院情報などに不正確な内容が含まれるものです。多くの場合、これらの問題はココシカ!の掲載基準違反ではありませんが、情報の更新が求められる場合があります。
- ・広告行為: 本サービスの趣旨に反する投稿です。サービス広告、企業やアプリの宣伝、その他問題があると確認された投稿が該当します。
- ・その他: これらのカテゴリーに当てはまらない問題については、[その他] を選択し詳しい情報をご提供ください。
ココシカ!の情報、技術的な問題、医院ページのレビュー、掲載情報に関する問い合わせ、検索結果などに関する一般的な質問、これらの問題に関するお問い合わせは、サポートチームまでご連絡下さい。
| 住所 | 〒222-0037 神奈川県横浜市港北区大倉山3-5-22 高瀬ビル1F |
|---|---|
| アクセス | 東急東横線 大倉山駅 徒歩3分 |
| 休診日 | 火曜日 土日の午後 祝日 |
※記載の内容は最新の情報と異なる場合がございます。正確な情報は歯科医院にご確認ください。
この歯科医院の他の症例
NEW CONTENT 新着コンテンツ
-
「第22回 一般社団法人 日本外傷歯学会・総会・学術大会」開幕、リハビリにフォーカスして歯の損失リスク軽減を目指す
2022.8.8 一般歯科
-
クラウド型歯科用レセコン「POWER5G」が口腔内シミュレーションサービス「DMFTシミュレーター」と提携
2022.6.28 予防歯科
-
豪発のブランド「ビーボックス」から歯固め発売、乳幼児でも持ちやすい設計に
2022.6.24 小児歯科
-
韓国発ライフスタイルケアブランド「ソルトレイン」日本初上陸、伊勢丹新宿でポップアップも
2022.6.22 その他
-
デントウェーブ運営の歯科衛生士向けコミュニティ「歯科衛生士のcoe」無料オンラインイベント開催
2022.3.2 その他
-
竹素材のオーガニック歯ブラシ、日本発サステナブランド「ミヨオーガニック」展開
2022.2.17 予防歯科
