- 詰め物・被せもの
- セラミック・ジルコニア
- インプラント
- 抜歯
60代女性 痛みと腫れが生じて温存が難しい左上奥歯を抜いてインプラントで治療した症例
ご相談内容
「左上の歯茎が腫れていて、痛みがひどい」とご相談いただきました。
カウンセリング・診断結果
拝見したところ、左上奥歯の歯茎が腫れ、強い痛みがあることが確認されました。
レントゲン撮影による詳しい検査を行ったところ、歯根周辺や歯を支える骨にまで炎症が広がっており、歯を温存することが難しいことがわかりました。
このままでは、痛みや腫れがより強くなったり、炎症がさらに広がって周辺組織に悪影響を及ぼしたりするおそれがあります。
以上のことから、左上奥歯(第1大臼歯)を抜く必要があると診断しました。
行ったご提案・治療内容
診断結果をもとに抜歯が必要なこと、抜歯後に歯を補う方法として、以下3つの治療を提案しました。
①入れ歯(義歯)
取り外し可能な人工の歯です。
メリット:外科的な処置が不要で、比較的短期間で歯を補うことができる
デメリット:取り外して管理をする必要がある。噛む力が天然歯より弱くなる傾向がある。使用中、ズレや違和感が生じることがある
②ブリッジ
失った歯の両隣を土台として、橋をかけるように人工の歯を固定する治療方法です。
メリット:固定式のため、取り外して管理をする手間がない
デメリット:健康な両隣の歯を削る必要がある。土台の歯に負担がかかる場合がある
③インプラント治療
顎の骨に人工歯根(チタン製のねじ)を埋め込み、その上に人工歯を取り付ける治療方法です。
メリット:隣の歯を削る必要がない。固定式のため、安定した噛み心地が期待できる
デメリット:外科的な処置が必要になる、治療期間が数ヶ月に及ぶ。骨の量や全身の健康状態によっては、治療ができないケースがある。自費診療なので費用負担が大きい
それぞれのメリットとデメリットを丁寧にお伝えしたところ、患者様は「しっかり噛めるようにしたい」との希望から、③のインプラント治療を選択されました。
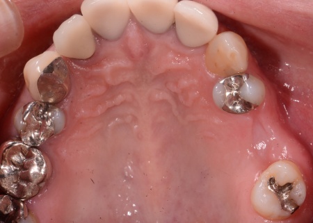
すでに強い痛みや腫れが出ていたため、来院当日に左上奥歯(第1大臼歯)を慎重に抜きました。抜歯後は、炎症の改善と骨の回復を待ちます。
後日、顎の骨の状態が整ったことを確認し、インプラント治療を開始しました。
まず、顎の骨にチタンの人工歯根「インプラント体」を埋め込む手術を行います。
手術は清潔な環境下で慎重に行い、周囲の骨や歯茎への負担を最小限に抑えられるよう配慮しています。
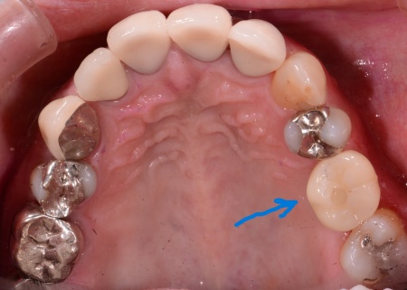
経過観察後、インプラント体と顎の骨が結合したタイミングで、インプラント体の上に装着するセラミックの被せ物を作製しました。
最後に、完成した被せ物を装着して、見た目や噛み合わせに問題がないことを確認し、治療を終了しています。
この治療のリスクについて
・持病をお持ちの方や、服用中のお薬の種類によっては、外科処置ができない場合があります
・外科処置後に腫れ、出血が生じる場合があります
・糖尿病、肝硬変、心臓病などの持病をお持ちの場合、インプラント治療ができない可能性があります
・高血圧、貧血・不整脈などの持病をお持ちの場合、インプラント治療後に治癒不全を招く可能性があります
・硬い素材の場合、他の天然歯を傷つけることがあります
・一部の治療を除き、自費診療(保険適用外治療)です
- 年齢・性別 60代女性
- 診療種別 自由診療
- 治療期間の目安 約9ヶ月
- 治療回数の目安 -
- 治療費総額の目安 500,000円
※掲載された情報は治療の効果を保証するものではありません。
ご利用により万一何らかの損害が発生したとしても、当サイトは一切責任を負いかねますのでご了承ください。
画像をクリックすると拡大・詳細コメントを確認いただけます
問題を報告する
掲載内容に問題がありますか?
こちらのフォームではココシカ!利用規約に違反している可能性のある情報や、
その他の問題がある内容について直接報告することができます。
この機能は、詐欺、スパム、虚偽、不正確であると思われる情報を報告するためのものです。
報告すべき情報の例
- ・差別的または不快感を与えるもの: 性別、年齢、人種、宗教、身体的特徴などに基づく差別が見られるものはこちらに該当します。過度な出血など過激な表現など不適切な内容が含まれる場合も対象です。
- ・虚偽の情報: 何らかの根拠により虚偽が認められる情報が対象です。
- ・不正確な情報: 治療名やリスク、金額、医院情報などに不正確な内容が含まれるものです。多くの場合、これらの問題はココシカ!の掲載基準違反ではありませんが、情報の更新が求められる場合があります。
- ・広告行為: 本サービスの趣旨に反する投稿です。サービス広告、企業やアプリの宣伝、その他問題があると確認された投稿が該当します。
- ・その他: これらのカテゴリーに当てはまらない問題については、[その他] を選択し詳しい情報をご提供ください。
ココシカ!の情報、技術的な問題、医院ページのレビュー、掲載情報に関する問い合わせ、検索結果などに関する一般的な質問、これらの問題に関するお問い合わせは、サポートチームまでご連絡下さい。
| 住所 | 〒222-0037 神奈川県横浜市港北区大倉山3-5-22 高瀬ビル1F |
|---|---|
| アクセス | 東急東横線 大倉山駅 徒歩3分 |
| 休診日 | 火曜日 土日の午後 祝日 |
※記載の内容は最新の情報と異なる場合がございます。正確な情報は歯科医院にご確認ください。
この歯科医院の他の症例
NEW CONTENT 新着コンテンツ
-
「第22回 一般社団法人 日本外傷歯学会・総会・学術大会」開幕、リハビリにフォーカスして歯の損失リスク軽減を目指す
2022.8.8 一般歯科
-
クラウド型歯科用レセコン「POWER5G」が口腔内シミュレーションサービス「DMFTシミュレーター」と提携
2022.6.28 予防歯科
-
豪発のブランド「ビーボックス」から歯固め発売、乳幼児でも持ちやすい設計に
2022.6.24 小児歯科
-
韓国発ライフスタイルケアブランド「ソルトレイン」日本初上陸、伊勢丹新宿でポップアップも
2022.6.22 その他
-
デントウェーブ運営の歯科衛生士向けコミュニティ「歯科衛生士のcoe」無料オンラインイベント開催
2022.3.2 その他
-
竹素材のオーガニック歯ブラシ、日本発サステナブランド「ミヨオーガニック」展開
2022.2.17 予防歯科
