- 部分入れ歯
60代女性 金属のバネを使用しない入れ歯を作製した症例
ご相談内容
「違和感のない入れ歯を作りたい」とご相談いただきました。
カウンセリング・診断結果
拝見したところ、上の前歯を含め数本の歯が欠損していました。
患者様は保険の入れ歯を使用していますが、装着時の違和感が大きいことを気にされています。
歯を補わずこのまま放置すると、見た目の問題だけでなく隣の歯が欠損部分に倒れてきたり、噛み合う相手の歯である下の歯が伸びたりするリスクがあります。
以上のことから、欠損した歯の機能を補う治療が必要と診断しました。
行ったご提案・治療内容
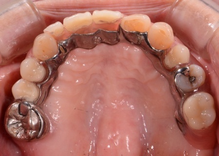
保険診療で作製される入れ歯の多くには、入れ歯の浮き上がりや脱落を防ぐために周囲の歯に引っかける金属製のバネ(クラスプ)が付いています。
とくに今回のように前歯が欠損している場合、クラスプが隣接する前歯にかかるため見た目に影響することがあります。
そこで今回は、金属のバネを使用しないノンクラスプチタンデンチャーを提案し、同意いただきました。
ノンクラスプチタンデンチャーは自由診療のため保険診療より費用はかかりますが、歯に引っかける部分を歯ぐきに近い色の樹脂で作ることで、より自然な見た目を実現できます。
さらに外から見えにくい部分に金属を使用することで、保険の入れ歯よりも薄くて丈夫になり装着時の違和感を軽減できます。
まず、上下の精密な歯型を採取し噛み合わせの位置を丁寧に確認したうえで、技工所にて入れ歯を製作しました。
後日、完成した入れ歯を装着して噛み合わせや歯ぐきの痛み、不快感がないよう細部まで調整を行い、治療を終了しました。
この治療のリスクについて
・着脱式のため、食後の清掃が必要です
・最初のうちは異物感があり、慣れるまで時間がかかる場合があります
・慣れるまでは、入れ歯の裏側の粘膜に傷ができる場合があります
- 年齢・性別 60代女性
- 診療種別 自由診療
- 治療期間の目安 約4ヶ月
- 治療回数の目安 -
- 治療費総額の目安 275,000円
※掲載された情報は治療の効果を保証するものではありません。
ご利用により万一何らかの損害が発生したとしても、当サイトは一切責任を負いかねますのでご了承ください。
画像をクリックすると拡大・詳細コメントを確認いただけます
問題を報告する
掲載内容に問題がありますか?
こちらのフォームではココシカ!利用規約に違反している可能性のある情報や、
その他の問題がある内容について直接報告することができます。
この機能は、詐欺、スパム、虚偽、不正確であると思われる情報を報告するためのものです。
報告すべき情報の例
- ・差別的または不快感を与えるもの: 性別、年齢、人種、宗教、身体的特徴などに基づく差別が見られるものはこちらに該当します。過度な出血など過激な表現など不適切な内容が含まれる場合も対象です。
- ・虚偽の情報: 何らかの根拠により虚偽が認められる情報が対象です。
- ・不正確な情報: 治療名やリスク、金額、医院情報などに不正確な内容が含まれるものです。多くの場合、これらの問題はココシカ!の掲載基準違反ではありませんが、情報の更新が求められる場合があります。
- ・広告行為: 本サービスの趣旨に反する投稿です。サービス広告、企業やアプリの宣伝、その他問題があると確認された投稿が該当します。
- ・その他: これらのカテゴリーに当てはまらない問題については、[その他] を選択し詳しい情報をご提供ください。
ココシカ!の情報、技術的な問題、医院ページのレビュー、掲載情報に関する問い合わせ、検索結果などに関する一般的な質問、これらの問題に関するお問い合わせは、サポートチームまでご連絡下さい。
| 住所 | 〒222-0037 神奈川県横浜市港北区大倉山3-5-22 高瀬ビル1F |
|---|---|
| アクセス | 東急東横線 大倉山駅 徒歩3分 |
| 休診日 | 火曜日 土日の午後 祝日 |
※記載の内容は最新の情報と異なる場合がございます。正確な情報は歯科医院にご確認ください。
この歯科医院の他の症例
NEW CONTENT 新着コンテンツ
-
「第22回 一般社団法人 日本外傷歯学会・総会・学術大会」開幕、リハビリにフォーカスして歯の損失リスク軽減を目指す
2022.8.8 一般歯科
-
クラウド型歯科用レセコン「POWER5G」が口腔内シミュレーションサービス「DMFTシミュレーター」と提携
2022.6.28 予防歯科
-
豪発のブランド「ビーボックス」から歯固め発売、乳幼児でも持ちやすい設計に
2022.6.24 小児歯科
-
韓国発ライフスタイルケアブランド「ソルトレイン」日本初上陸、伊勢丹新宿でポップアップも
2022.6.22 その他
-
デントウェーブ運営の歯科衛生士向けコミュニティ「歯科衛生士のcoe」無料オンラインイベント開催
2022.3.2 その他
-
竹素材のオーガニック歯ブラシ、日本発サステナブランド「ミヨオーガニック」展開
2022.2.17 予防歯科
