- 詰め物・被せもの
- セラミック・ジルコニア
- インプラント
- 抜歯
50代女性 虫歯が生じた歯根を抜いてインプラントでしっかりと噛めるようにした症例
ご相談内容
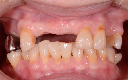
「左上の被せ物が取れたので診てほしい」とご相談いただきました。
カウンセリング・診断結果
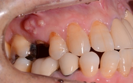
拝見したところ、左上の奥歯(第2小臼歯)の被せ物が外れたことで露出した歯根に虫歯が生じており、歯の半分ほどが歯茎に埋もれていました。
そのため、虫歯を除去すると歯根がさらに短くなり、新たに被せ物を装着するには高さ不足の状態です。
また、虫歯が生じている歯根を放置すると細菌が溜まって歯茎が腫れたり、周囲の歯にも悪影響を及ぼしたりする可能性があります。
以上のことから、抜歯を行ったあとの隙間に両隣の歯が倒れこまないよう、欠損部を補う治療が必要と診断しました。
行ったご提案・治療内容
抜歯後の隙間を補う方法として、以下の3つを提案しました。
①被せ物が連結している「ブリッジ」の装着
接着剤で固定するため、外れにくく装着時の違和感も少なく済みます。
しかし、被せ物を装着するために両隣の歯を多く削る必要があり、さらにブリッジの下に汚れが溜まりやすい点がデメリットです。
②取り外し式の「部分入れ歯」の使用
両隣の歯に影響を与えないこと、取り外しが可能なことにより、入れ歯や口腔内を清潔に保てる点がメリットです。
しかし、食事や発音する際に違和感を覚えやすく、慣れるまでに時間がかかることがあります。
③あごの骨にネジを埋め込む「インプラント」による治療
両隣の歯に影響を与えない、自分の歯と同じような感覚で食事や発音ができる、清掃も行いやすいといった特徴があります。
ただし、骨の量が少ない場合や持病がある場合には、処置が難しい場合があります。
それぞれのメリット・デメリットを丁寧に説明したところ、患者様はインプラントを選択されました。
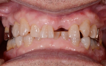
治療前にCT撮影を行い、歯茎が炎症を起こす「歯周病」や大きく骨が減少している部分はなく、インプラントに必要な骨の量が十分にあることを確認しました。
よって、今回は抜歯と同時にインプラントを埋め込む「抜歯即時埋入」を実施しています。
抜歯即時埋入は、外科手術が一度で済み仮歯を早期に装着できるため、見た目や噛み合わせの回復が早い傾向にあります。
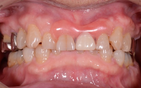
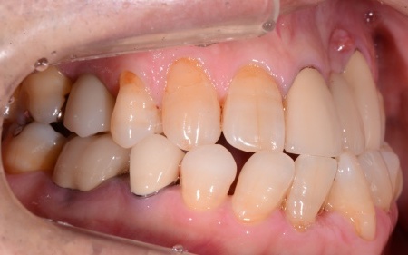
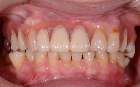
しばらく経過してからインプラントと骨の結合を確認できたため、強度があって耐久性に優れた白い被せ物「ジルコニアクラウン」を作製しました。
のちに、完成した被せ物がぴったりとフィットして噛み合わせにも問題がなかったため、インプラントに装着し治療を終了しました。
この治療のリスクについて
・持病をお持ちの方や、服用中のお薬の種類によっては、外科処置ができない場合があります
・外科処置後に腫れ、出血が生じる場合があります
・外科処置後に痛みが長引く場合があります。必要に応じ痛み止めを併用します
・外科手術のため、術後に痛みや腫れ、違和感を伴います
・メンテナンスを怠ったり、喫煙したりすると、お口の中に大きな悪影響を及ぼし、インプラント周囲炎などにかかる可能性があります
・硬い素材の場合、他の天然歯を傷つけることがあります
- 年齢・性別 50代女性
- 診療種別 自由診療
- 治療期間の目安 約6ヶ月
- 治療回数の目安 -
- 治療費総額の目安 490,000円
※掲載された情報は治療の効果を保証するものではありません。
ご利用により万一何らかの損害が発生したとしても、当サイトは一切責任を負いかねますのでご了承ください。
画像をクリックすると拡大・詳細コメントを確認いただけます
問題を報告する
掲載内容に問題がありますか?
こちらのフォームではココシカ!利用規約に違反している可能性のある情報や、
その他の問題がある内容について直接報告することができます。
この機能は、詐欺、スパム、虚偽、不正確であると思われる情報を報告するためのものです。
報告すべき情報の例
- ・差別的または不快感を与えるもの: 性別、年齢、人種、宗教、身体的特徴などに基づく差別が見られるものはこちらに該当します。過度な出血など過激な表現など不適切な内容が含まれる場合も対象です。
- ・虚偽の情報: 何らかの根拠により虚偽が認められる情報が対象です。
- ・不正確な情報: 治療名やリスク、金額、医院情報などに不正確な内容が含まれるものです。多くの場合、これらの問題はココシカ!の掲載基準違反ではありませんが、情報の更新が求められる場合があります。
- ・広告行為: 本サービスの趣旨に反する投稿です。サービス広告、企業やアプリの宣伝、その他問題があると確認された投稿が該当します。
- ・その他: これらのカテゴリーに当てはまらない問題については、[その他] を選択し詳しい情報をご提供ください。
ココシカ!の情報、技術的な問題、医院ページのレビュー、掲載情報に関する問い合わせ、検索結果などに関する一般的な質問、これらの問題に関するお問い合わせは、サポートチームまでご連絡下さい。
| 住所 | 〒222-0037 神奈川県横浜市港北区大倉山3-5-22 高瀬ビル1F |
|---|---|
| アクセス | 東急東横線 大倉山駅 徒歩3分 |
| 休診日 | 火曜日 土日の午後 祝日 |
※記載の内容は最新の情報と異なる場合がございます。正確な情報は歯科医院にご確認ください。
この歯科医院の他の症例
NEW CONTENT 新着コンテンツ
-
「第22回 一般社団法人 日本外傷歯学会・総会・学術大会」開幕、リハビリにフォーカスして歯の損失リスク軽減を目指す
2022.8.8 一般歯科
-
クラウド型歯科用レセコン「POWER5G」が口腔内シミュレーションサービス「DMFTシミュレーター」と提携
2022.6.28 予防歯科
-
豪発のブランド「ビーボックス」から歯固め発売、乳幼児でも持ちやすい設計に
2022.6.24 小児歯科
-
韓国発ライフスタイルケアブランド「ソルトレイン」日本初上陸、伊勢丹新宿でポップアップも
2022.6.22 その他
-
デントウェーブ運営の歯科衛生士向けコミュニティ「歯科衛生士のcoe」無料オンラインイベント開催
2022.3.2 その他
-
竹素材のオーガニック歯ブラシ、日本発サステナブランド「ミヨオーガニック」展開
2022.2.17 予防歯科
