- インプラント
- サイナスリフト
60代女性「歯を入れたい、噛めないのでなんとかしたい」 骨量が少ない部分に骨増加(サイナスリフト)を行いインプラントで審美修復したケース
ご相談内容
「歯を入れたい、噛めないのでなんとかしたい」とご相談いただきました。
カウンセリング・診断結果
診察したところ、骨量が少なく、そのままではインプラント治療が難しい状態でした。
行ったご提案・治療内容
骨増加(サイナスリフト)を行った後に、インプラントを入れる治療方法をご提案しました。
また、前の歯は位置異常により咬合平面(奥歯の噛み合わせ)がずれており、噛み合わせを正しくするために補綴(歯の欠損部に入れ歯をしたり冠をかぶせたりして、歯の働きを補うこと)治療もご提案しました。
この治療のリスクについて
被せものが欠けることがあります。
- 年齢・性別 60代女性
- 診療種別 自由診療
- 治療期間の目安 約8ヶ月
- 治療回数の目安 -
- 治療費総額の目安 ¥630,000
※掲載された情報は治療の効果を保証するものではありません。
ご利用により万一何らかの損害が発生したとしても、当サイトは一切責任を負いかねますのでご了承ください。
画像をクリックすると拡大・詳細コメントを確認いただけます
-
海谷歯科医院TEL:0352611515
-
海谷歯科医院TEL:0352611515
-
海谷歯科医院TEL:0352611515
-
海谷歯科医院TEL:0352611515
-
海谷歯科医院TEL:0352611515
-
海谷歯科医院TEL:0352611515
-
海谷歯科医院TEL:0352611515
-
海谷歯科医院TEL:0352611515
-
海谷歯科医院TEL:0352611515 -
海谷歯科医院TEL:0352611515 -
海谷歯科医院TEL:0352611515
-
海谷歯科医院TEL:0352611515 -
海谷歯科医院TEL:0352611515 -
海谷歯科医院TEL:0352611515
-
海谷歯科医院TEL:0352611515 -
海谷歯科医院TEL:0352611515 -
海谷歯科医院TEL:0352611515
-
海谷歯科医院TEL:0352611515
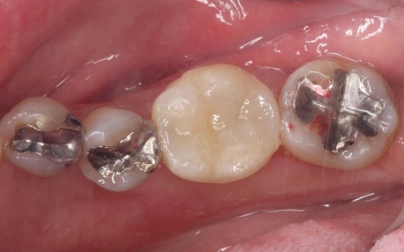
歯の形態も回復しています
全くインプラントを入れる骨量がないのが確認できます
サイナスリフトとインプラント埋入
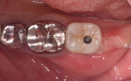
印象時
印象時
問題を報告する
掲載内容に問題がありますか?
こちらのフォームではココシカ!利用規約に違反している可能性のある情報や、
その他の問題がある内容について直接報告することができます。
この機能は、詐欺、スパム、虚偽、不正確であると思われる情報を報告するためのものです。
報告すべき情報の例
- ・差別的または不快感を与えるもの: 性別、年齢、人種、宗教、身体的特徴などに基づく差別が見られるものはこちらに該当します。過度な出血など過激な表現など不適切な内容が含まれる場合も対象です。
- ・虚偽の情報: 何らかの根拠により虚偽が認められる情報が対象です。
- ・不正確な情報: 治療名やリスク、金額、医院情報などに不正確な内容が含まれるものです。多くの場合、これらの問題はココシカ!の掲載基準違反ではありませんが、情報の更新が求められる場合があります。
- ・広告行為: 本サービスの趣旨に反する投稿です。サービス広告、企業やアプリの宣伝、その他問題があると確認された投稿が該当します。
- ・その他: これらのカテゴリーに当てはまらない問題については、[その他] を選択し詳しい情報をご提供ください。
ココシカ!の情報、技術的な問題、医院ページのレビュー、掲載情報に関する問い合わせ、検索結果などに関する一般的な質問、これらの問題に関するお問い合わせは、サポートチームまでご連絡下さい。
| 診療科目 | 一般歯科、矯正歯科、インプラント、詰め物・被せ物、歯科口腔外科、精密根管治療、歯周病治療、審美治療 |
|---|---|
| 自由診療 | 虫歯治療、精密根管治療、ワイヤー矯正、セラミック・ジルコニア、ブリッジ |
| 住所 | 〒162-0841 東京都新宿区払方町15番地 小暮ビル2F |
| アクセス | ●JR総武線市ヶ谷駅より 徒歩8分 ●地下鉄有楽町線市ヶ谷駅より 徒歩4分 ●大江戸線牛込神楽坂駅より 徒歩4分 ●JR総武線飯田橋駅より 徒歩14分 |
| 診療時間 | 10:00~13:00 14:30~19:30 |
| 休診日 | 土曜 日曜 祝日 |
| 代表者 | 海谷 幸利 |
※記載の内容は最新の情報と異なる場合がございます。正確な情報は歯科医院にご確認ください。
この歯科医院の他の症例
NEW CONTENT 新着コンテンツ
-
「第22回 一般社団法人 日本外傷歯学会・総会・学術大会」開幕、リハビリにフォーカスして歯の損失リスク軽減を目指す
2022.8.8 一般歯科
-
クラウド型歯科用レセコン「POWER5G」が口腔内シミュレーションサービス「DMFTシミュレーター」と提携
2022.6.28 予防歯科
-
豪発のブランド「ビーボックス」から歯固め発売、乳幼児でも持ちやすい設計に
2022.6.24 小児歯科
-
韓国発ライフスタイルケアブランド「ソルトレイン」日本初上陸、伊勢丹新宿でポップアップも
2022.6.22 その他
-
デントウェーブ運営の歯科衛生士向けコミュニティ「歯科衛生士のcoe」無料オンラインイベント開催
2022.3.2 その他
-
竹素材のオーガニック歯ブラシ、日本発サステナブランド「ミヨオーガニック」展開
2022.2.17 予防歯科
