- 歯周外科
- 矯正歯科
- 歯周病
- ワイヤー矯正
- 詰め物・被せもの
- セラミック・ジルコニア
- その他の診療
- 再生医療
50代女性 重度の歯周病と乱れた歯並びを歯周再生療法と矯正治療で改善した症例
ご相談内容
「噛むと右の奥歯が痛い」とご相談いただきました。
カウンセリング・診断結果
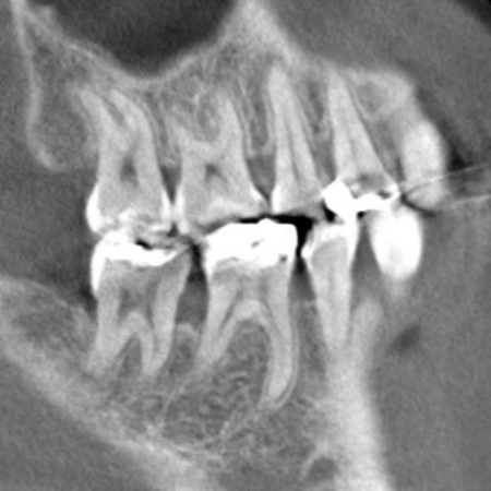
右上下の奥歯に対して、レントゲン撮影と歯間の溝の深さを測る歯周ポケット検査をしたところ、重度の歯周病が認められました。歯を支える骨が大幅に失われ、歯がぐらぐらしている状態です。
また左上下の奥歯についても同様で、重度の歯周病が進行しています。
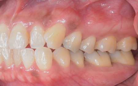
さらに、下顎の内側には下顎隆起(かがくりゅうき)という骨の出っ張りが見られました。
これは、強く噛む力が長期間かかることで骨が発達して発生するものなので、奥歯への過度な負担を示しています。
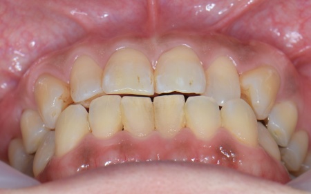
続いて噛み合わせを拝見したところ、前歯がしっかりと噛み合わない開咬(かいこう)という状態です。
この開咬により、本来前歯で分散して受け止めるべき噛む力が、すべて奥歯に集中していることがわかりました。そのため下顎隆起が発生し、また重度歯周病の大きな原因になっていると考えられます。
以上のことから、噛み合わせの問題を根本的に解決しない限り歯周病の治療を行っても再発のリスクが高く、長期的な口腔内の健康維持は困難です。
そのため、歯周病の治療と併せて噛み合わせを改善する必要があると診断しました。
行ったご提案・治療内容
患者様には、歯を支える骨を再生させる歯周組織再生療法を行ったあと、根本的な原因に対する治療として、噛み合わせを改善する矯正治療を提案しました。
矯正治療により前歯でもしっかりと噛めるようになれば、奥歯への負担を大幅に減らせるため、歯周病の再発リスクの軽減が期待できます。
その一方で、矯正治療は期間が長くなること、治療中は矯正装置が目立ってしまうおそれがあることについても、同時にお伝えしています。
患者様は「歯周病の再発を防ぎたい。また、長く口腔内の健康を維持したい」との希望から、矯正治療を含む歯周病の治療に同意いただきました。
まずは、歯周病の原因となる歯石や歯垢を専用の器具で取り除き、正しいブラッシング方法をお伝えして歯茎の炎症をコントロールする歯周基本治療を行います。
続いて上下左右の奥歯に対して、失われた歯を支える骨や歯根膜(歯を支える薄い膜)を再生させるため、骨の再生を促す材料などを充填する歯周組織再生療法を実施しました。
6ヶ月後、歯周組織の回復を確認し、上下すべての歯を対象とした矯正治療を開始します。
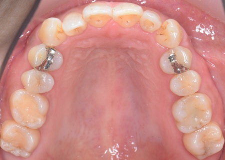
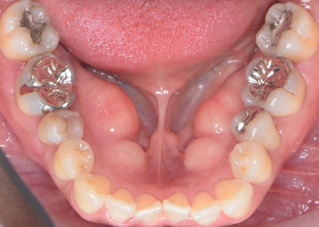
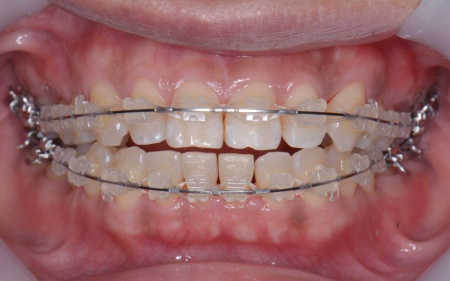
矯正方法としては、上下の歯全体の表面にブラケットと呼ばれるボタン状の装置を接着し、そこにワイヤーを通して歯を動かすマルチブラケット装置を採用しました。
とくに上の左右奥歯には、矯正用ミニインプラント(矯正治療専用の小さなネジ)を埋入し、奥歯を歯茎の方向に押し下げる「圧下」という治療を行っています。これにより開咬が解消され、前歯でしっかり噛めるようになりました。
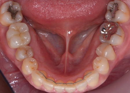
また、治療によって奥歯に過度な力がかかりにくくなったため、舌の動きをスムーズにしつつ歯磨きなどのセルフケアがしやすくなるよう、下顎隆起の除去を行いました。
最後に、右下奥歯に装着されていた銀の詰め物を外し、強度と審美性に優れた白い被せ物であるジルコニアセラミッククラウンを装着します。見た目や噛み合わせ、使用感などに問題がないことを確認し、治療を終了しました。
この治療のリスクについて
・病状、症状、患者様のお口の環境によって、複数回にわたる施術が必要となる場合があります
・外科処置後に腫れ、出血が生じる場合があります
・外科処置後のメンテナンスを怠ると、良好な結果が得られない可能性があります
・治療中、装置によってまれに頬の内側が傷つき、口内炎になる場合があります
・歯の移動に伴って、違和感や痛みを感じる場合があります
・装着に際し、天然歯を削る場合があります
- 年齢・性別 50代女性
-
診療種別
自由診療
一部保険診療
- 治療期間の目安 約2年
- 治療回数の目安 -
-
治療費総額の目安
約1,550,000円
(矯正治療、再生療法、ジルコニアクラウン)
一部保険適用
(下顎骨隆起除去)
※掲載された情報は治療の効果を保証するものではありません。
ご利用により万一何らかの損害が発生したとしても、当サイトは一切責任を負いかねますのでご了承ください。
画像をクリックすると拡大・詳細コメントを確認いただけます
-
大塚歯科TEL:0359038467
-
大塚歯科TEL:0359038467
-
大塚歯科TEL:0359038467
-
大塚歯科TEL:0359038467
-
大塚歯科TEL:0359038467
-
大塚歯科TEL:0359038467
-
大塚歯科TEL:0359038467
-
大塚歯科TEL:0359038467
-
大塚歯科TEL:0359038467
-
大塚歯科TEL:0359038467
-
大塚歯科TEL:0359038467
-
大塚歯科TEL:0359038467
-
大塚歯科TEL:0359038467
-
大塚歯科TEL:0359038467 -
大塚歯科TEL:0359038467
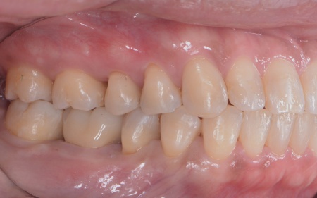
歯周組織再生療法を行いました。
マルチブラケット装置で矯正治療中です。
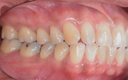
下顎隆起を除去しました。
問題を報告する
掲載内容に問題がありますか?
こちらのフォームではココシカ!利用規約に違反している可能性のある情報や、
その他の問題がある内容について直接報告することができます。
この機能は、詐欺、スパム、虚偽、不正確であると思われる情報を報告するためのものです。
報告すべき情報の例
- ・差別的または不快感を与えるもの: 性別、年齢、人種、宗教、身体的特徴などに基づく差別が見られるものはこちらに該当します。過度な出血など過激な表現など不適切な内容が含まれる場合も対象です。
- ・虚偽の情報: 何らかの根拠により虚偽が認められる情報が対象です。
- ・不正確な情報: 治療名やリスク、金額、医院情報などに不正確な内容が含まれるものです。多くの場合、これらの問題はココシカ!の掲載基準違反ではありませんが、情報の更新が求められる場合があります。
- ・広告行為: 本サービスの趣旨に反する投稿です。サービス広告、企業やアプリの宣伝、その他問題があると確認された投稿が該当します。
- ・その他: これらのカテゴリーに当てはまらない問題については、[その他] を選択し詳しい情報をご提供ください。
ココシカ!の情報、技術的な問題、医院ページのレビュー、掲載情報に関する問い合わせ、検索結果などに関する一般的な質問、これらの問題に関するお問い合わせは、サポートチームまでご連絡下さい。
| 住所 | 〒177-0044 東京都練馬区上石神井4-7-27 |
|---|---|
| 診療時間 | 9:30~13:00 14:30~19:00 |
| 休診日 | 日曜 祝日 |
| 代表者 | 大塚 正行 |
※記載の内容は最新の情報と異なる場合がございます。正確な情報は歯科医院にご確認ください。
この歯科医院の他の症例
NEW CONTENT 新着コンテンツ
-
「第22回 一般社団法人 日本外傷歯学会・総会・学術大会」開幕、リハビリにフォーカスして歯の損失リスク軽減を目指す
2022.8.8 一般歯科
-
クラウド型歯科用レセコン「POWER5G」が口腔内シミュレーションサービス「DMFTシミュレーター」と提携
2022.6.28 予防歯科
-
豪発のブランド「ビーボックス」から歯固め発売、乳幼児でも持ちやすい設計に
2022.6.24 小児歯科
-
韓国発ライフスタイルケアブランド「ソルトレイン」日本初上陸、伊勢丹新宿でポップアップも
2022.6.22 その他
-
デントウェーブ運営の歯科衛生士向けコミュニティ「歯科衛生士のcoe」無料オンラインイベント開催
2022.3.2 その他
-
竹素材のオーガニック歯ブラシ、日本発サステナブランド「ミヨオーガニック」展開
2022.2.17 予防歯科
