- 小児矯正
6歳女の子 正常な歯並びにするためあごの幅を広げる顎顔面矯正を行った症例
ご相談内容
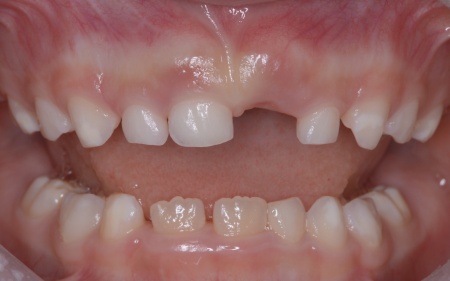
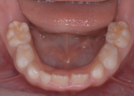
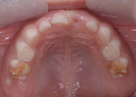
「下前歯の乳歯が抜けたが、永久歯が生える隙間が足りないのではないか」と親御様からご相談いただきました。
カウンセリング・診断結果
拝見したところ、右下前歯の乳歯が本来抜ける時期より早くに抜けていました。
これから永久歯が生えてきますが、すでに左右の歯が寄ってきており、このままではスペースが足りず正常に生えてこない可能性があります。
また上下ともにあごの骨の発達が不十分で歯並びの幅が狭いため、このまま放置するとすべての歯が永久歯に生え変わったときに正しい位置に並ばず、歯並びが全体的に大きくデコボコになることが予想されました。
歯並びの乱れは見た目が気になるだけでなく発音や食事に支障が出たり、睡眠が浅くなる・姿勢が悪くなるなど全身的な問題が引き起こされたりする可能性もあります。
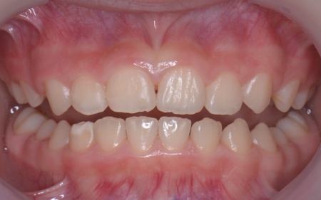
以上のことから、歯並びを整える治療が必要と診断しました。
行ったご提案・治療内容
診断結果を丁寧に説明したうえで、歯並びを整える方法として以下2つを提案しました。
①大人になり永久歯が生えそろってから歯並びを整える矯正治療
メリット:永久歯の位置や角度を微調整できるため、治療の見通しが立ちやすく整った歯並びが期待できる
デメリット:歯を並べるスペースを確保するために抜歯が必要。比較的費用がかかる
②子どものうちに行う顎顔面矯正治療
メリット:あごの骨の発達を促すことで歯並びの幅を広げて永久歯が生えるスペースを確保するため、抜歯を行わない。比較的費用を抑えることが可能
デメリット:永久歯が生えそろうまで結果がわからないため、理想的な歯並びにならない場合がある
それぞれのメリット・デメリットをお伝えしたところ、親御様は②を希望されました。
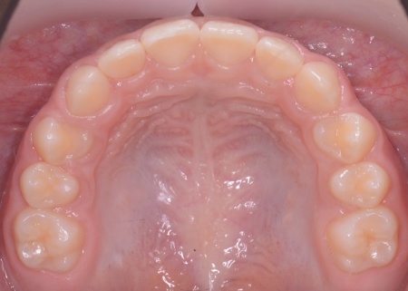
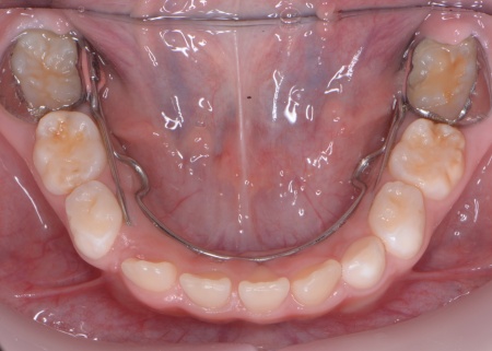
治療の際は、上あごにあごの骨の幅を広げるための固定式の矯正装置である急速拡大装置を装着しました。さらに、歯並びを前方に広げるため上顎前方牽引装置(じょうがくぜんぽうけんいんそうち)も併用しています。
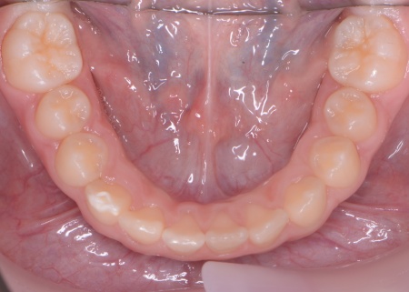
下あごには、歯並びの幅を広げるためのリンガルアーチを装着しました。
治療中は定期的にご来院いただき装置の調整を行い、虫歯予防の指導なども行いながら経過を観察しました。
この治療のリスクについて
・治療中、発音しにくい場合があります
・治療中、舌が動かしにくいことがあります
・治療中、装置によってまれに頬の内側が傷つき、口内炎になる場合があります
・正しいブラッシングやメンテナンスを行わない場合、虫歯や歯周病のリスクが高まります
- 年齢・性別 6歳女の子
- 診療種別 自由診療
-
治療期間の目安
矯正装置装着期間は1年6ヶ月
経過観察期間を含め約3年 - 治療回数の目安 -
- 治療費総額の目安 450,000円
※掲載された情報は治療の効果を保証するものではありません。
ご利用により万一何らかの損害が発生したとしても、当サイトは一切責任を負いかねますのでご了承ください。
画像をクリックすると拡大・詳細コメントを確認いただけます
-
大塚歯科TEL:0359038467
-
大塚歯科TEL:0359038467
-
大塚歯科TEL:0359038467
-
大塚歯科TEL:0359038467
-
大塚歯科TEL:0359038467
-
大塚歯科TEL:0359038467
-
大塚歯科TEL:0359038467
-
大塚歯科TEL:0359038467
-
大塚歯科TEL:0359038467
問題を報告する
掲載内容に問題がありますか?
こちらのフォームではココシカ!利用規約に違反している可能性のある情報や、
その他の問題がある内容について直接報告することができます。
この機能は、詐欺、スパム、虚偽、不正確であると思われる情報を報告するためのものです。
報告すべき情報の例
- ・差別的または不快感を与えるもの: 性別、年齢、人種、宗教、身体的特徴などに基づく差別が見られるものはこちらに該当します。過度な出血など過激な表現など不適切な内容が含まれる場合も対象です。
- ・虚偽の情報: 何らかの根拠により虚偽が認められる情報が対象です。
- ・不正確な情報: 治療名やリスク、金額、医院情報などに不正確な内容が含まれるものです。多くの場合、これらの問題はココシカ!の掲載基準違反ではありませんが、情報の更新が求められる場合があります。
- ・広告行為: 本サービスの趣旨に反する投稿です。サービス広告、企業やアプリの宣伝、その他問題があると確認された投稿が該当します。
- ・その他: これらのカテゴリーに当てはまらない問題については、[その他] を選択し詳しい情報をご提供ください。
ココシカ!の情報、技術的な問題、医院ページのレビュー、掲載情報に関する問い合わせ、検索結果などに関する一般的な質問、これらの問題に関するお問い合わせは、サポートチームまでご連絡下さい。
| 住所 | 〒177-0044 東京都練馬区上石神井4-7-27 |
|---|---|
| 診療時間 | 9:30~13:00 14:30~19:00 |
| 休診日 | 日曜 祝日 |
| 代表者 | 大塚 正行 |
※記載の内容は最新の情報と異なる場合がございます。正確な情報は歯科医院にご確認ください。
この歯科医院の他の症例
NEW CONTENT 新着コンテンツ
-
「第22回 一般社団法人 日本外傷歯学会・総会・学術大会」開幕、リハビリにフォーカスして歯の損失リスク軽減を目指す
2022.8.8 一般歯科
-
クラウド型歯科用レセコン「POWER5G」が口腔内シミュレーションサービス「DMFTシミュレーター」と提携
2022.6.28 予防歯科
-
豪発のブランド「ビーボックス」から歯固め発売、乳幼児でも持ちやすい設計に
2022.6.24 小児歯科
-
韓国発ライフスタイルケアブランド「ソルトレイン」日本初上陸、伊勢丹新宿でポップアップも
2022.6.22 その他
-
デントウェーブ運営の歯科衛生士向けコミュニティ「歯科衛生士のcoe」無料オンラインイベント開催
2022.3.2 その他
-
竹素材のオーガニック歯ブラシ、日本発サステナブランド「ミヨオーガニック」展開
2022.2.17 予防歯科
