- 骨再生
- 矯正歯科
- ワイヤー矯正
- 詰め物・被せもの
- セラミック・ジルコニア
- インプラント
- 抜歯
50代女性 インプラント・矯正・被せ物治療で見た目と噛み合わせを改善した症例
ご相談内容
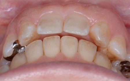
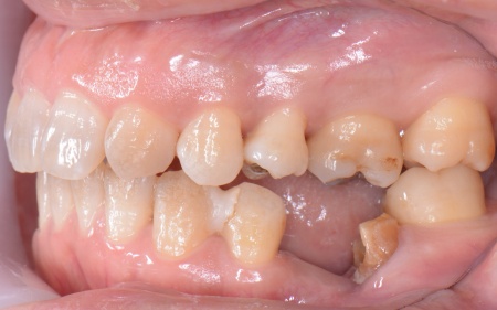
「以前治療した左下奥歯が思うように噛めない。また、矯正治療を受けた前歯でうまく噛めない」とご相談いただきました。
カウンセリング・診断結果
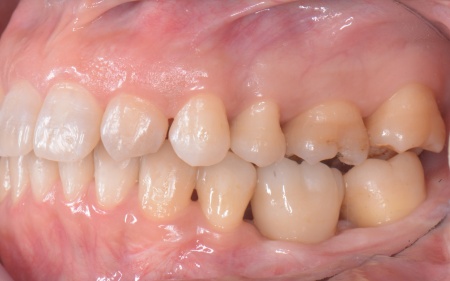
拝見したところ、左下奥歯(第1大臼歯)は以前、歯根分割処置が行われていました。
歯根分割処置とは、歯周病や虫歯などにより複数ある歯根のうちひとつだけがダメージを受けた場合に施す外科的な治療法です。
特に根が複数ある大臼歯に対して行われ、問題のある歯根のみを分割して抜くため残りの健康な歯根を残すことが可能です。
しかし残していた歯根の状態も悪化しており、治療しても温存は困難と判断しました。
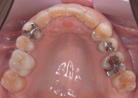
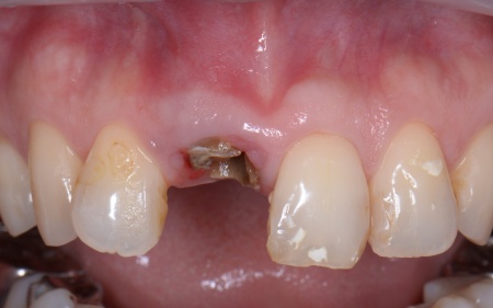
さらに患者様は全体的に歯並びや噛み合わせに問題があり、特に上下の前歯は噛んだ際に隙間ができ食べ物を噛み切りにくい状態です。
過去に矯正治療を受けていても、治療が不十分であったり治療後に歯並びが後戻りしたりすることで歯並びが乱れる場合があります。
これらの問題を放置すると食事に支障をきたすだけでなく、残っている歯に負担がかかり歯の寿命が短くなる恐れがあります。
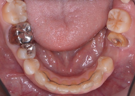
また、右の上下奥歯2本に装着されている白い被せ物や銀歯が劣化により歯に合わなくなり、虫歯の再発リスクが高まっていました。
以上のことから、噛み合わせを改善する総合的な治療が必要と診断しました。
行ったご提案・治療内容
左下奥歯はこのまま放置すると細菌感染を引き起こすため抜歯が必要なこと、抜歯後に歯を補うため人工歯根を利用したインプラント治療を提案し、同意いただきました。
さらに全体の噛み合わせを改善するため矯正治療を並行して行うこと、右上下奥歯の合わなくなった被せ物には矯正終了後に新しく作り直すこととしました。
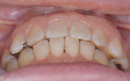
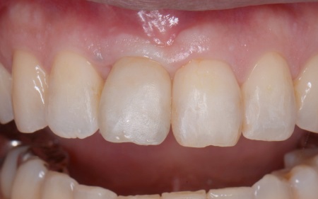
以上の治療法であれば、総合的な治療により全体の歯並びや噛み合わせを根本から改善でき、自然な見た目で健康的な口腔内を実現することが可能です。
しかし、段階的な治療が必要なため治療期間がやや長くなること、インプラントは外科処置が必要なことも併せてお伝えしています。
【治療手順】
①上あごの骨が狭く歯が並ぶスペースが不足しているため、まず上あごの骨の幅を広げる急速拡大装置を装着する。
成人になってからの骨の拡大は難しいものの、あごの骨に矯正用の小さなネジを埋め、そこを固定源として効率的に歯を動かす治療を併用することでスムーズに拡大を進める。
②①と並行して上下歯列にワイヤー矯正のマルチブラケット装置を装着し、歯並びと噛み合わせを整える。
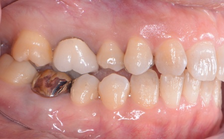
③矯正治療と並行して左下奥歯を抜歯し、インプラント治療を行う。
インプラントを支えるための骨の量が十分でないため、人工材料を用いて骨を再生させる骨造成(GBR)を併用しながらインプラントを埋入する。
インプラントがしっかりと骨に定着したことを確認してから、人工歯を取り付ける。
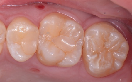
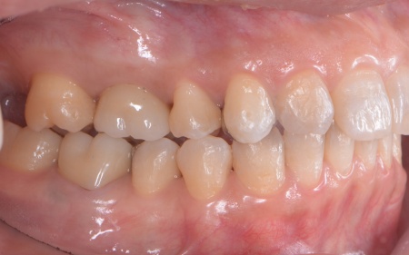
④矯正終了後に右上下奥歯の合わなくなった被せ物を除去し、自然な白さで強度もあるジルコニアセラミッククラウンを装着する。
最後に装着したジルコニアセラミッククラウンが歯に合っているか、噛み合わせに問題がないかを確認し、治療を終了しました。
この治療のリスクについて
・矯正治療中、装置によってまれに頬の内側が傷つき、口内炎になる場合があります
・歯の移動に伴って、違和感や痛みを感じる場合があります
・冷たいものを飲んだときに歯がしみる「知覚過敏」の症状が出る場合があります
・インプラントは外科手術のため、術後に痛みや腫れ、違和感を伴います
・メンテナンスを怠ったり、喫煙したりすると、お口の中に大きな悪影響を及ぼし、インプラント周囲炎等にかかる可能性があります
・噛み合わせや歯ぎしりが強い場合、被せ物が割れる可能性があります
- 年齢・性別 50代女性
- 診療種別 自由診療
- 治療期間の目安 約2年3ヶ月
- 治療回数の目安 -
-
治療費総額の目安
約1,760,000円
【内訳】
ワイヤー矯正、拡大装置、インプラント、骨造成、ジルコニアセラミッククラウン2本
※掲載された情報は治療の効果を保証するものではありません。
ご利用により万一何らかの損害が発生したとしても、当サイトは一切責任を負いかねますのでご了承ください。
画像をクリックすると拡大・詳細コメントを確認いただけます
-
大塚歯科TEL:0359038467
-
大塚歯科TEL:0359038467
-
大塚歯科TEL:0359038467
-
大塚歯科TEL:0359038467
-
大塚歯科TEL:0359038467
-
大塚歯科TEL:0359038467
-
大塚歯科TEL:0359038467
-
大塚歯科TEL:0359038467
-
大塚歯科TEL:0359038467
-
大塚歯科TEL:0359038467
-
大塚歯科TEL:0359038467
-
大塚歯科TEL:0359038467
-
大塚歯科TEL:0359038467
-
大塚歯科TEL:0359038467 -
大塚歯科TEL:0359038467
-
大塚歯科TEL:0359038467
-
大塚歯科TEL:0359038467 -
大塚歯科TEL:0359038467
問題を報告する
掲載内容に問題がありますか?
こちらのフォームではココシカ!利用規約に違反している可能性のある情報や、
その他の問題がある内容について直接報告することができます。
この機能は、詐欺、スパム、虚偽、不正確であると思われる情報を報告するためのものです。
報告すべき情報の例
- ・差別的または不快感を与えるもの: 性別、年齢、人種、宗教、身体的特徴などに基づく差別が見られるものはこちらに該当します。過度な出血など過激な表現など不適切な内容が含まれる場合も対象です。
- ・虚偽の情報: 何らかの根拠により虚偽が認められる情報が対象です。
- ・不正確な情報: 治療名やリスク、金額、医院情報などに不正確な内容が含まれるものです。多くの場合、これらの問題はココシカ!の掲載基準違反ではありませんが、情報の更新が求められる場合があります。
- ・広告行為: 本サービスの趣旨に反する投稿です。サービス広告、企業やアプリの宣伝、その他問題があると確認された投稿が該当します。
- ・その他: これらのカテゴリーに当てはまらない問題については、[その他] を選択し詳しい情報をご提供ください。
ココシカ!の情報、技術的な問題、医院ページのレビュー、掲載情報に関する問い合わせ、検索結果などに関する一般的な質問、これらの問題に関するお問い合わせは、サポートチームまでご連絡下さい。
| 住所 | 〒177-0044 東京都練馬区上石神井4-7-27 |
|---|---|
| 診療時間 | 9:30~13:00 14:30~19:00 |
| 休診日 | 日曜 祝日 |
| 代表者 | 大塚 正行 |
※記載の内容は最新の情報と異なる場合がございます。正確な情報は歯科医院にご確認ください。
この歯科医院の他の症例
NEW CONTENT 新着コンテンツ
-
「第22回 一般社団法人 日本外傷歯学会・総会・学術大会」開幕、リハビリにフォーカスして歯の損失リスク軽減を目指す
2022.8.8 一般歯科
-
クラウド型歯科用レセコン「POWER5G」が口腔内シミュレーションサービス「DMFTシミュレーター」と提携
2022.6.28 予防歯科
-
豪発のブランド「ビーボックス」から歯固め発売、乳幼児でも持ちやすい設計に
2022.6.24 小児歯科
-
韓国発ライフスタイルケアブランド「ソルトレイン」日本初上陸、伊勢丹新宿でポップアップも
2022.6.22 その他
-
デントウェーブ運営の歯科衛生士向けコミュニティ「歯科衛生士のcoe」無料オンラインイベント開催
2022.3.2 その他
-
竹素材のオーガニック歯ブラシ、日本発サステナブランド「ミヨオーガニック」展開
2022.2.17 予防歯科
