- 虫歯
- 矯正歯科
- 部分矯正
- 抜歯
30代男性 虫歯の歯を抜き矯正治療で親知らずを移動させて歯並びを整えた症例
ご相談内容
「左上奥歯で噛むと痛い」とご相談いただきました。
カウンセリング・診断結果
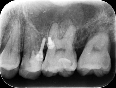
拝見したところ、左上奥歯(第2大臼歯)には被せ物が装着されていましたが、その下で虫歯が再発しており、歯の温存が難しい状態でした。
このまま放置すると、思うように噛めず食事がしにくかったり、周囲の歯に悪影響が及んだりするリスクがあります。
そのため、左上奥歯を抜いたうえで空いたスペースを補う治療を行い、しっかり噛めるようにする必要があると診断しました。
行ったご提案・治療内容
左上奥歯は温存が難しいため、抜く必要があることをお伝えし、同意いただきました。
抜歯後の治療方法には、顎の骨に人工歯根を埋め込むインプラントなどがありますが、患者様の年齢が若いことを考慮して、抜歯部位の後ろに埋まっている親知らずを利用する方法を検討しました。
親知らずを一度抜いてから移植する方法もありますが、これでは歯の神経を失います。
そのため、治療期間は長くなるものの、歯の寿命を延ばすためにも矯正治療で親知らずを抜歯部位まで移動させる方法を提案し、こちらも同意いただきました。
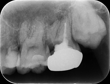
まずは、左上奥歯を抜きます。
続いて歯茎に矯正用インプラントと呼ばれるネジを打ち込み、これと隣の歯を固定源としながら、埋まっている親知らずを矯正の力で引っ張りだしました。
矯正治療により、親知らずが歯並びのラインに収まってきたところで、歯根の先端を手前側に起こす力を与えるためにワイヤーをかけ、歯を移動させながら歯列が平行になるように調整します。
後日歯並びが整ったことを確認し、治療を終了しました。
この治療のリスクについて
・持病をお持ちの方や、服用中のお薬の種類によっては、外科処置ができない場合があります
・外科処置後に腫れ、出血が生じる場合があります
・外科処置後に痛みが長引く場合があります。必要に応じ痛み止めを併用します
・治療中、装置によってまれに頬の内側が傷つき、口内炎になる場合があります
・歯の移動に伴って、違和感や痛みを感じる場合があります
・正しいブラッシングやメンテナンスを行わない場合、虫歯や歯周病のリスクが高まります
- 年齢・性別 30代男性
- 診療種別 自由診療
- 治療期間の目安 約1年
- 治療回数の目安 -
- 治療費総額の目安 250,000円
※掲載された情報は治療の効果を保証するものではありません。
ご利用により万一何らかの損害が発生したとしても、当サイトは一切責任を負いかねますのでご了承ください。
画像をクリックすると拡大・詳細コメントを確認いただけます
-
大塚歯科TEL:0359038467
-
大塚歯科TEL:0359038467
-
大塚歯科TEL:0359038467
-
大塚歯科TEL:0359038467
-
大塚歯科TEL:0359038467
-
大塚歯科TEL:0359038467
-
大塚歯科TEL:0359038467 -
大塚歯科TEL:0359038467
-
大塚歯科TEL:0359038467
問題を報告する
掲載内容に問題がありますか?
こちらのフォームではココシカ!利用規約に違反している可能性のある情報や、
その他の問題がある内容について直接報告することができます。
この機能は、詐欺、スパム、虚偽、不正確であると思われる情報を報告するためのものです。
報告すべき情報の例
- ・差別的または不快感を与えるもの: 性別、年齢、人種、宗教、身体的特徴などに基づく差別が見られるものはこちらに該当します。過度な出血など過激な表現など不適切な内容が含まれる場合も対象です。
- ・虚偽の情報: 何らかの根拠により虚偽が認められる情報が対象です。
- ・不正確な情報: 治療名やリスク、金額、医院情報などに不正確な内容が含まれるものです。多くの場合、これらの問題はココシカ!の掲載基準違反ではありませんが、情報の更新が求められる場合があります。
- ・広告行為: 本サービスの趣旨に反する投稿です。サービス広告、企業やアプリの宣伝、その他問題があると確認された投稿が該当します。
- ・その他: これらのカテゴリーに当てはまらない問題については、[その他] を選択し詳しい情報をご提供ください。
ココシカ!の情報、技術的な問題、医院ページのレビュー、掲載情報に関する問い合わせ、検索結果などに関する一般的な質問、これらの問題に関するお問い合わせは、サポートチームまでご連絡下さい。
| 住所 | 〒177-0044 東京都練馬区上石神井4-7-27 |
|---|---|
| 診療時間 | 9:30~13:00 14:30~19:00 |
| 休診日 | 日曜 祝日 |
| 代表者 | 大塚 正行 |
※記載の内容は最新の情報と異なる場合がございます。正確な情報は歯科医院にご確認ください。
この歯科医院の他の症例
NEW CONTENT 新着コンテンツ
-
「第22回 一般社団法人 日本外傷歯学会・総会・学術大会」開幕、リハビリにフォーカスして歯の損失リスク軽減を目指す
2022.8.8 一般歯科
-
クラウド型歯科用レセコン「POWER5G」が口腔内シミュレーションサービス「DMFTシミュレーター」と提携
2022.6.28 予防歯科
-
豪発のブランド「ビーボックス」から歯固め発売、乳幼児でも持ちやすい設計に
2022.6.24 小児歯科
-
韓国発ライフスタイルケアブランド「ソルトレイン」日本初上陸、伊勢丹新宿でポップアップも
2022.6.22 その他
-
デントウェーブ運営の歯科衛生士向けコミュニティ「歯科衛生士のcoe」無料オンラインイベント開催
2022.3.2 その他
-
竹素材のオーガニック歯ブラシ、日本発サステナブランド「ミヨオーガニック」展開
2022.2.17 予防歯科
