- 矯正歯科
- ワイヤー矯正
- 部分矯正
- 詰め物・被せもの
- セラミック・ジルコニア
- インプラント
- 抜歯
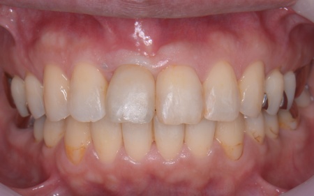
50代女性 歯根が折れた歯を抜いてインプラント治療と前歯の部分矯正を行った症例
ご相談内容
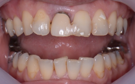
「右上前歯に装着されていた差し歯が取れてしまった」とご相談いただきました。
カウンセリング・診断結果
拝見したところ、右上前歯(中切歯)は歯根が折れて温存が難しく、抜歯が必要な状態でした。
また上下前歯はやや歯並びの乱れがあり、これによって噛み合わせのバランスが崩れて、特定の歯に過度な力がかかっていたことが、歯根が折れる原因になったと考えられます。
さらに、歯並びが乱れていると歯磨きがしにくいため、将来的に虫歯や歯周病のリスクが高まったり、噛み合わせの悪さがほかの歯にも悪影響を与えたりするおそれがあります。
以上のことから、審美性と機能性を回復するために、前歯の治療と歯並びを改善する治療を併せて行う必要があると診断しました。
行ったご提案・治療内容
歯根が折れた前歯を治療する方法として、以下の2つを提案しました。
①欠損部位の両隣の歯を土台とし、人工歯を連結した被せ物を橋渡しのように装着するブリッジ
メリット:外科手術を行わないため治療期間が比較的短く、安定した噛み心地が期待できる
デメリット:土台となる両隣の歯を削る必要がある
②顎の骨に人工歯根を埋め込み、その上に人工歯を装着するインプラント
メリット:自身の歯のような自然な見た目と、しっかりとした噛み心地が期待できる
デメリット:外科処置を伴うため、傷が治るまでの治癒期間を設ける必要がある
歯根が折れた右上前歯の両隣は健康な天然歯だったため、患者様は「健康な歯を削るブリッジよりも、インプラント治療のほうがいい」と、②のインプラント治療を希望されました。
また、インプラント治療と上下前歯の部分的な矯正治療を組み合わせる方法を併せて提案しました。
この方法は治療期間が長くなるものの、噛み合わせの改善、歯磨きがしやすくなるなどの効果が期待できます。
治療計画を丁寧に説明し、治療に同意いただきました。
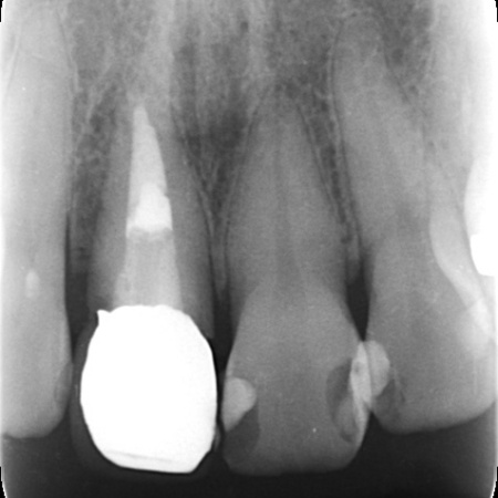
まずは歯根が折れた右上前歯を抜き、その直後にインプラントの埋入手術を行います。これは抜歯即時埋入といい、治療期間の短縮が期待できる方法です。
手術の際は、インプラント周囲の骨を強化するための骨移植と、歯肉の厚みを確保するための歯肉移植を併せて行いました。この処置により、インプラントの長期的な維持と、自然な歯肉のラインの実現を目指します。
手術後は、見た目と機能の回復を図るために仮歯を装着し、日常生活に支障が出ないよう配慮しました。
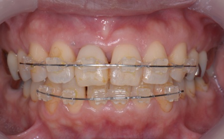
その後、歯の表面に四角いボタン状の装置を接着し、そこにワイヤーを通して歯を動かすマルチブラケット装置による上下前歯の部分矯正を開始します。
歯周組織への負担が軽減できるよう、慎重に力をかけながら段階的に歯を移動させ、徐々に歯並びを整えました。
歯並びが十分に整ったあとは、インプラントに装着する被せ物を作製します。
被せ物の素材には、強度と自然な見た目を兼ね備えているセラミックを採用し、隣接する天然歯との色調や形態を精密に調整して、違和感のない自然な仕上がりを実現しました。
最後に、完成したセラミックの被せ物を装着し、見た目や噛み合わせ、使用感に問題がないことを確認して、治療を終了しています。
この治療のリスクについて
・外科処置後に腫れ、出血が生じる場合があります
・外科処置後に痛みが長引く場合があります。必要に応じ痛み止めを併用します
・糖尿病、肝硬変、心臓病などの持病をお持ちの場合、インプラント治療ができない可能性があります
・高血圧、貧血・不整脈などの持病をお持ちの場合、インプラント治療後に治癒不全を招く可能性があります
・歯の移動に伴って、違和感や痛みを感じる場合があります
・噛み合わせや歯ぎしりが強い場合、セラミックが割れる可能性があります
- 年齢・性別 50代女性
- 診療種別 自由診療
- 治療期間の目安 約1年
- 治療回数の目安 -
-
治療費総額の目安
約750,000円
(部分矯正、インプラント)
※掲載された情報は治療の効果を保証するものではありません。
ご利用により万一何らかの損害が発生したとしても、当サイトは一切責任を負いかねますのでご了承ください。
画像をクリックすると拡大・詳細コメントを確認いただけます
-
大塚歯科TEL:0359038467
-
大塚歯科TEL:0359038467
-
大塚歯科TEL:0359038467
-
大塚歯科TEL:0359038467
-
大塚歯科TEL:0359038467
-
大塚歯科TEL:0359038467
-
大塚歯科TEL:0359038467
-
大塚歯科TEL:0359038467
-
大塚歯科TEL:0359038467
インプラントを埋入しました。
骨と歯肉の移植を行いました。
部分矯正中です。
問題を報告する
掲載内容に問題がありますか?
こちらのフォームではココシカ!利用規約に違反している可能性のある情報や、
その他の問題がある内容について直接報告することができます。
この機能は、詐欺、スパム、虚偽、不正確であると思われる情報を報告するためのものです。
報告すべき情報の例
- ・差別的または不快感を与えるもの: 性別、年齢、人種、宗教、身体的特徴などに基づく差別が見られるものはこちらに該当します。過度な出血など過激な表現など不適切な内容が含まれる場合も対象です。
- ・虚偽の情報: 何らかの根拠により虚偽が認められる情報が対象です。
- ・不正確な情報: 治療名やリスク、金額、医院情報などに不正確な内容が含まれるものです。多くの場合、これらの問題はココシカ!の掲載基準違反ではありませんが、情報の更新が求められる場合があります。
- ・広告行為: 本サービスの趣旨に反する投稿です。サービス広告、企業やアプリの宣伝、その他問題があると確認された投稿が該当します。
- ・その他: これらのカテゴリーに当てはまらない問題については、[その他] を選択し詳しい情報をご提供ください。
ココシカ!の情報、技術的な問題、医院ページのレビュー、掲載情報に関する問い合わせ、検索結果などに関する一般的な質問、これらの問題に関するお問い合わせは、サポートチームまでご連絡下さい。
| 住所 | 〒177-0044 東京都練馬区上石神井4-7-27 |
|---|---|
| 診療時間 | 9:30~13:00 14:30~19:00 |
| 休診日 | 日曜 祝日 |
| 代表者 | 大塚 正行 |
※記載の内容は最新の情報と異なる場合がございます。正確な情報は歯科医院にご確認ください。
この歯科医院の他の症例
NEW CONTENT 新着コンテンツ
-
「第22回 一般社団法人 日本外傷歯学会・総会・学術大会」開幕、リハビリにフォーカスして歯の損失リスク軽減を目指す
2022.8.8 一般歯科
-
クラウド型歯科用レセコン「POWER5G」が口腔内シミュレーションサービス「DMFTシミュレーター」と提携
2022.6.28 予防歯科
-
豪発のブランド「ビーボックス」から歯固め発売、乳幼児でも持ちやすい設計に
2022.6.24 小児歯科
-
韓国発ライフスタイルケアブランド「ソルトレイン」日本初上陸、伊勢丹新宿でポップアップも
2022.6.22 その他
-
デントウェーブ運営の歯科衛生士向けコミュニティ「歯科衛生士のcoe」無料オンラインイベント開催
2022.3.2 その他
-
竹素材のオーガニック歯ブラシ、日本発サステナブランド「ミヨオーガニック」展開
2022.2.17 予防歯科
