- 矯正歯科
- 部分矯正
- 詰め物・被せもの
- セラミック・ジルコニア
- インプラント
- 抜歯
50代女性 歯根に膿が溜まっていた左上前歯を抜き歯根挺出術とインプラントで治療をした症例
ご相談内容
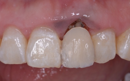
「前歯が長く見える。また、噛んだときに違和感もある」とご相談いただきました。
カウンセリング・診断結果
拝見したところ、左上前歯(中切歯)は被せ物で治療が施されていたものの、歯と歯茎の境目がほかの歯よりも上方にあり、歯が長く見えています。
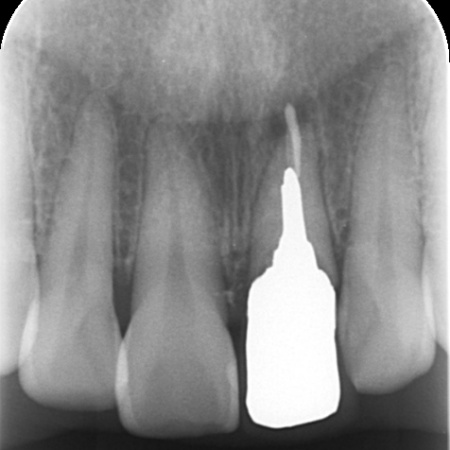
またレントゲン撮影をして詳しく検査したところ、左上前歯が細菌感染を起こしており、歯根の先端に膿が溜まっていることが判明しました。歯の土台となっている金属のメタルコアも、長期保存が不可能な状態です。
このまま放置すると、細菌の感染が周囲の組織まで広がって歯茎が腫れる、強い痛みが生じる、歯根が折れるなどのリスクがあります。
以上のことから、左上前歯を長期的に残すことが困難だと判断し、抜歯をしたうえで欠損部位を補う治療が必要だと診断しました。
行ったご提案・治療内容
治療に先んじて、左上前歯の保存が難しく、抜く必要があることをお伝えしました。
そのうえで、まずは歯茎の位置をほかの歯とそろえるために歯根を引っ張り出す部分矯正であるエクストリュージョン(歯根挺出術)を行い、その後抜歯をする治療方法を提案し、同意いただきました。
続いて抜歯後の治療として、以下2つの方法をお伝えしています。
・両隣の歯を土台にして橋を渡すように被せ物をする「ブリッジ」
メリット:固定式のため、取り外して管理をする必要がない
デメリット:健康な両隣の歯を削る必要がある
・人工歯根を顎の骨に埋めて人工歯を取り付ける「インプラント」
メリット:抜歯部位のみを治療でき、自然な噛み心地が期待できる
デメリット:外科処置が必要なため治療期間が長い。自費診療なので比較的費用がかかる
抜歯部位の隣の歯は健康であるため、ブリッジよりもインプラントのほうがほかの歯への影響が少ないこと、抜歯と同時にインプラントを埋める「抜歯即時埋入インプラント」であれば治療期間が短縮できることを説明し、インプラントによる治療に同意いただきました。
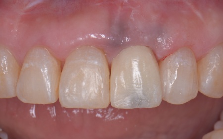
また、インプラントに装着する被せ物は、強度と審美性に優れた白い素材のジルコニアセラミッククラウンを選択しています。
まずは左上前歯にエクストリュージョンを行い、歯と歯茎の境目を整えたうえで抜歯を行います。抜歯と同時にインプラントを埋め込み、治療中の審美性を考慮して仮歯を装着しました。
その後、インプラントと骨がしっかりと結合するまで、経過観察を行います。
後日、インプラントと骨が結合したことが確認できたら、インプラントに装着する最終的な被せ物を作製するため、精密な型取りを行います。
後日、完成したジルコニアセラミッククラウンを装着し、噛み合わせや見た目に問題がないことを確認して、治療を終了しました。
この治療のリスクについて
・外科処置後に腫れ、出血が続く場合があります
・歯の移動に伴って、違和感や痛みを感じる場合があります
・メンテナンスを怠ったり、喫煙したりすると、お口の中に大きな悪影響を及ぼし、インプラント周囲炎などにかかる可能性があります
・糖尿病、肝硬変、心臓病などの持病をお持ちの場合、インプラント治療ができない可能性があります
・自費診療(保険適用外治療)です
・噛み合わせや歯ぎしりが強い場合、セラミックが割れる可能性があります
- 年齢・性別 50代女性
- 診療種別 自由診療
- 治療期間の目安 約8ヶ月
- 治療回数の目安 -
-
治療費総額の目安
約670,000円
(歯根挺出術、インプラント)
※掲載された情報は治療の効果を保証するものではありません。
ご利用により万一何らかの損害が発生したとしても、当サイトは一切責任を負いかねますのでご了承ください。
画像をクリックすると拡大・詳細コメントを確認いただけます
-
大塚歯科TEL:0359038467
-
大塚歯科TEL:0359038467
-
大塚歯科TEL:0359038467
-
大塚歯科TEL:0359038467
-
大塚歯科TEL:0359038467
-
大塚歯科TEL:0359038467
-
大塚歯科TEL:0359038467 -
大塚歯科TEL:0359038467
-
大塚歯科TEL:0359038467 -
大塚歯科TEL:0359038467 -
大塚歯科TEL:0359038467
-
大塚歯科TEL:0359038467
問題を報告する
掲載内容に問題がありますか?
こちらのフォームではココシカ!利用規約に違反している可能性のある情報や、
その他の問題がある内容について直接報告することができます。
この機能は、詐欺、スパム、虚偽、不正確であると思われる情報を報告するためのものです。
報告すべき情報の例
- ・差別的または不快感を与えるもの: 性別、年齢、人種、宗教、身体的特徴などに基づく差別が見られるものはこちらに該当します。過度な出血など過激な表現など不適切な内容が含まれる場合も対象です。
- ・虚偽の情報: 何らかの根拠により虚偽が認められる情報が対象です。
- ・不正確な情報: 治療名やリスク、金額、医院情報などに不正確な内容が含まれるものです。多くの場合、これらの問題はココシカ!の掲載基準違反ではありませんが、情報の更新が求められる場合があります。
- ・広告行為: 本サービスの趣旨に反する投稿です。サービス広告、企業やアプリの宣伝、その他問題があると確認された投稿が該当します。
- ・その他: これらのカテゴリーに当てはまらない問題については、[その他] を選択し詳しい情報をご提供ください。
ココシカ!の情報、技術的な問題、医院ページのレビュー、掲載情報に関する問い合わせ、検索結果などに関する一般的な質問、これらの問題に関するお問い合わせは、サポートチームまでご連絡下さい。
| 住所 | 〒177-0044 東京都練馬区上石神井4-7-27 |
|---|---|
| 診療時間 | 9:30~13:00 14:30~19:00 |
| 休診日 | 日曜 祝日 |
| 代表者 | 大塚 正行 |
※記載の内容は最新の情報と異なる場合がございます。正確な情報は歯科医院にご確認ください。
この歯科医院の他の症例
NEW CONTENT 新着コンテンツ
-
「第22回 一般社団法人 日本外傷歯学会・総会・学術大会」開幕、リハビリにフォーカスして歯の損失リスク軽減を目指す
2022.8.8 一般歯科
-
クラウド型歯科用レセコン「POWER5G」が口腔内シミュレーションサービス「DMFTシミュレーター」と提携
2022.6.28 予防歯科
-
豪発のブランド「ビーボックス」から歯固め発売、乳幼児でも持ちやすい設計に
2022.6.24 小児歯科
-
韓国発ライフスタイルケアブランド「ソルトレイン」日本初上陸、伊勢丹新宿でポップアップも
2022.6.22 その他
-
デントウェーブ運営の歯科衛生士向けコミュニティ「歯科衛生士のcoe」無料オンラインイベント開催
2022.3.2 その他
-
竹素材のオーガニック歯ブラシ、日本発サステナブランド「ミヨオーガニック」展開
2022.2.17 予防歯科
