- 矯正歯科
- ワイヤー矯正
- 抜歯
20代女性 過去のマウスピース矯正で突き出てしまった口元をマルチブラケット装置とアンカースクリューを併用した矯正治療で改善しEラインを整えた症例
ご相談内容
「過去にマウスピース矯正を行ったが前歯と口元がとび出て見た目が悪くなったので、抜歯して矯正しEラインを整えたい。また、上顎前歯が下に伸びているため、笑った時に下の唇に接触するのも改善したい」とご相談いただきました。
カウンセリング・診断結果
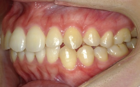
拝見したところ、上下奥歯の噛み合わせは正常でしたが、上下前歯は唇側に傾いており上下顎前突の状態でした。そのため口が閉じづらく、閉じると口元が前方に突き出てしまい、いわゆる口ゴボと呼ばれる横顔になっています。
横顔の理想的なバランスは、鼻の先とあごの先を結んだEラインの少し内側に上下の唇が位置している状態と言われますが、患者様は上下顎前突の影響であご先が下がり、口元は突き出ているため、バランスが崩れていました。
上下顎前突は見た目の問題だけでなく、口が閉じにくいことで口呼吸になりやすいという問題があります。
口呼吸が習慣になると、口の中が乾燥しやすくなり、虫歯や歯周病のリスクも高まります。
以上のことから、見た目と機能の両方を改善するために、上下の前歯を後方に移動させる矯正治療が必要と診断しました。
行ったご提案・治療内容
患者様には、前歯が後方に移動するスペースを確保するために上下左右の歯(第1小臼歯)の計4本を抜歯して、ワイヤー矯正を行う方法を提案しました。
ワイヤー矯正は、マウスピース矯正と比べると装置が目立ちやすいというデメリットがありますが、抜歯したスペースを正確にコントロールして歯をしっかり後ろに移動させることができます。
メリットとデメリットについて丁寧にお伝えし、治療に同意いただきました。
まず、上下左右の第1小臼歯を抜歯し、歯の表面に接着した器具にワイヤーを通して歯を動かすマルチブラケット装置を取り付けます。
次に、より効果的に歯並びを整えるために、アンカースクリューと呼ばれる矯正治療用の小さなネジを上の左右奥歯の歯茎に3本埋め込みました。
通常の矯正治療では、奥歯を土台にして前歯を後ろに下げますが、奥歯と前歯が引っ張り合うことで前歯が後方に下がるだけでなく奥歯も前方に移動するため、前歯の後退量が減少する可能性があります。
マルチブラケット装置とアンカースクリューを併用すれば、奥歯を前方に動かすことなく、抜歯したスペースをできる限り活かして前歯を後方へ引っ張ることができます。
その後は、定期的に装置を調整しながら歯を正しい位置に移動させました。
前歯が後ろに下がったことで下あごが前に動きやすくなり、あご先が前方かつ上に位置が変わる「オートローテーション」も生じて、バランスの取れた横顔に改善しました。
矯正治療後には、歯が後戻りしないようにリテーナーを装着していただいています。
(担当歯科医師名:金田叔朗)
この治療のリスクについて
・外科処置後に腫れ、出血が生じる場合があります
・外科処置後に痛みが長引く場合があります。必要に応じ痛み止めを併用します
・治療中、装置によってまれに頬の内側が傷つき、口内炎になる場合があります
・歯の移動に伴って、違和感や痛みを感じる場合があります
・冷たいものを飲んだときに歯がしみる「知覚過敏」の症状が出る場合があります
・正しいブラッシングやメンテナンスを行わない場合、虫歯や歯周病のリスクが高まります
- 年齢・性別 20代女性
- 診療種別 自由診療
- 治療期間の目安 矯正期間 2年
- 治療回数の目安 -
-
治療費総額の目安
約950,000円
(検査代や月々の調整料、リテーナー代等を含む)
※掲載された情報は治療の効果を保証するものではありません。
ご利用により万一何らかの損害が発生したとしても、当サイトは一切責任を負いかねますのでご了承ください。
画像をクリックすると拡大・詳細コメントを確認いただけます
-
医療法人NATURALEE_さわだデンタルクリニックTEL:0729998888
-
医療法人NATURALEE_さわだデンタルクリニックTEL:0729998888 -
医療法人NATURALEE_さわだデンタルクリニックTEL:0729998888
-
医療法人NATURALEE_さわだデンタルクリニックTEL:0729998888
-
医療法人NATURALEE_さわだデンタルクリニックTEL:0729998888 -
医療法人NATURALEE_さわだデンタルクリニックTEL:0729998888
-
医療法人NATURALEE_さわだデンタルクリニックTEL:0729998888
-
医療法人NATURALEE_さわだデンタルクリニックTEL:0729998888 -
医療法人NATURALEE_さわだデンタルクリニックTEL:0729998888
-
医療法人NATURALEE_さわだデンタルクリニックTEL:0729998888
-
医療法人NATURALEE_さわだデンタルクリニックTEL:0729998888 -
医療法人NATURALEE_さわだデンタルクリニックTEL:0729998888
問題を報告する
掲載内容に問題がありますか?
こちらのフォームではココシカ!利用規約に違反している可能性のある情報や、
その他の問題がある内容について直接報告することができます。
この機能は、詐欺、スパム、虚偽、不正確であると思われる情報を報告するためのものです。
報告すべき情報の例
- ・差別的または不快感を与えるもの: 性別、年齢、人種、宗教、身体的特徴などに基づく差別が見られるものはこちらに該当します。過度な出血など過激な表現など不適切な内容が含まれる場合も対象です。
- ・虚偽の情報: 何らかの根拠により虚偽が認められる情報が対象です。
- ・不正確な情報: 治療名やリスク、金額、医院情報などに不正確な内容が含まれるものです。多くの場合、これらの問題はココシカ!の掲載基準違反ではありませんが、情報の更新が求められる場合があります。
- ・広告行為: 本サービスの趣旨に反する投稿です。サービス広告、企業やアプリの宣伝、その他問題があると確認された投稿が該当します。
- ・その他: これらのカテゴリーに当てはまらない問題については、[その他] を選択し詳しい情報をご提供ください。
ココシカ!の情報、技術的な問題、医院ページのレビュー、掲載情報に関する問い合わせ、検索結果などに関する一般的な質問、これらの問題に関するお問い合わせは、サポートチームまでご連絡下さい。
| 診療科目 | 一般歯科、小児歯科、予防歯科、矯正歯科、審美歯科、口腔外科、ホワイトニング、インプラント |
|---|---|
| 自由診療 | オフィスホワイトニング、ホームホワイトニング、ガムホワイトニング、セラミック治療、小児矯正、大人の矯正(マウスピース矯正、ワイヤー矯正)、インプラント |
| 住所 | 〒581-0867 大阪府八尾市山本町1-10-5 |
| アクセス | 河内山本駅より徒歩2分 ※駐車場(5台分)あり |
| 診療時間 | 【月・火・水・木・金】 09:30〜19:00 【土】 09:30〜17:30 |
| 休診日 | 日曜・祝日 |
| 代表者 | 澤田 靖斤位 |
※記載の内容は最新の情報と異なる場合がございます。正確な情報は歯科医院にご確認ください。
この歯科医院の他の症例
NEW CONTENT 新着コンテンツ
-
「第22回 一般社団法人 日本外傷歯学会・総会・学術大会」開幕、リハビリにフォーカスして歯の損失リスク軽減を目指す
2022.8.8 一般歯科
-
クラウド型歯科用レセコン「POWER5G」が口腔内シミュレーションサービス「DMFTシミュレーター」と提携
2022.6.28 予防歯科
-
豪発のブランド「ビーボックス」から歯固め発売、乳幼児でも持ちやすい設計に
2022.6.24 小児歯科
-
韓国発ライフスタイルケアブランド「ソルトレイン」日本初上陸、伊勢丹新宿でポップアップも
2022.6.22 その他
-
デントウェーブ運営の歯科衛生士向けコミュニティ「歯科衛生士のcoe」無料オンラインイベント開催
2022.3.2 その他
-
竹素材のオーガニック歯ブラシ、日本発サステナブランド「ミヨオーガニック」展開
2022.2.17 予防歯科
